Foram encontradas 60 questões.
Muitos pacientes acreditam que a perda dentária ocorre somente devido a presença de cárie e desconhecem a doença periodontal que pode ter início a partir da gengivite. Sobre esta doença, assinale a alternativa CORRETA.
Provas
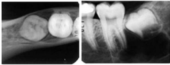
Observe a radiografia a seguir.

Qual das alternativas a seguir descreve o nome da técnica utilizada na imagem de radiografia, para a localização, vestíbulo-lingual de terceiros molares inclusos? É a técnica
Provas
Com a procura por procedimentos clínicos mais rápidos e fáceis, um material restaurador tem adquirido espaço no mercado, a classe dos compósitos Bulk Fill. Assinale a alternativa que apresenta a definição correta desse material restaurador. São resinas
Provas
Leia o texto a seguir sobre odontogênese.
“O desenvolvimento dos dentes ocorre por interação entre e passando por 5 diferentes fases: botão, capuz, campânula, coroa e raiz. Nas fases de botão e capuz, o evento mais evidente é a proliferação celular, que proporciona o aumento do número de células tato do epitélio (que está invaginando) quanto do ectomesênquima (que se condensa abaixo do epitélio). A partir da fase de campânula inicia a morfogênese e a . Na fase de campânula, o epitélio adquire o formato do futuro dente e inicia a diferenciação de ameloblastos e odontoblastos. Na fase de coroa, inicia a amelogênese e a dentinogênese (secreção de matriz de esmalte e dentina). E na fase de raiz, ocorre a diferenciação dos cementoblastos (que formarão o cemento), fibroblastos (que formarão o ligamento periodontal) e dos osteoblastos (que formarão o osso alveolar).”
Assinale a alternativa que preenche CORRETA e respectivamente as lacunas.
Provas
O Isolamento Absoluto é uma técnica extremamente eficaz para se realizar o tratamento odontológico, pois evita contato com os fluidos orais, facilita a visão do campo operatório e evita acidentes de ingestão de materiais odontológicos. Assinale a alternativa CORRETA na indicação dos grampos de isolamento. Grampo
Provas
De acordo com o Decreto 7.508/11, qual a definição de Região de Saúde?
Provas
A seção IV do capítulo III da Lei Complementar 141 de 13 de janeiro de 2012 trata da movimentação dos recursos do Estado para os Municípios. Sobre esse tema, assinale a alternativa CORRETA.
Provas
“Os percentuais de investimento financeiro que os Municípios, Estados e a União devem aplicar anualmente no SUS são, no mínimo, 15% da arrecadação dos impostos em ações e serviços públicos de saúde cabendo aos Estados 12%. Já na União, o montante aplicado deve corresponder ao valor empenhado no exercício financeiro anterior, acrescido do percentual relativo à variação do Produto Interno Bruto (PIB) do ano antecedente ao da lei orçamentária anual.”
Que lei define esse tipo de percentual que trata dos investimentos das esferas do SUS?
Provas
- SUSLei 8.080/1990: Lei Orgânica da SaúdeSistema Único de SaúdeArts. 8º ao 14-B: Organização, Direção e Gestão
O artigo 14 da Lei 8.080/90 trata da criação das Comissões Permanentes de Integração. Sobre esse tema, assinale a alternativa CORRETA.
Provas
As políticas públicas de saúde do Brasil sofreram diversas modificações ao longo dos anos, também em função de contextos políticos, econômicos e sociais. Sobre esse histórico, analise as afirmativas a seguir.
I. Somente com a Proclamação da República, em 1889, as práticas de saúde em nível nacional tiveram início. Oswaldo Cruz e Carlos Chagas que estiveram à frente da Diretoria Geral de Saúde Pública (DGSP), implementaram um modelo sanitarista visando eliminar epidemias urbanas e a criação de um novo Código de Saúde Pública.
II. O Estado brasileiro teve sua primeira intervenção em 1923, com a Lei Elói Chaves através do INAMPS, que assegurava aos trabalhadores e empresas assistência médica, medicamentos, aposentadoria e pensões.
III. O grande marco da VIII Conferência Nacional de Saúde foi a criação do Sistema Único Descentralizado de Saúde (SUDS), que, posteriormente, se tornou Sistema Único de Saúde (SUS) além de ter consolidado as ideias da Reforma Sanitária.
IV. A saúde ganhou espaço a partir de então com a Constituição Federal de 1988 que criou o SUS rompendo, dessa forma, com o modelo de saúde que era dominado pelo sistema previdenciário.
Assinale a alternativa que apresenta as afirmativas CORRETAS.
Provas
Caderno Container