Foram encontradas 50 questões.
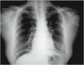
Idoso de 69 anos com quadro de melena há 1 semana e, há 3 horas, referiu surgimento de dor abdominal aguda dufusa mais intensa em epigastro. Estava em uso de diclofenaco diariamente há 1 ano, devido à coxartrose. Nega uso de outras medicações. Foi realizada a seguinte radiografia:

Diante do quadro, assinale a alternativa que apresenta o correto diagnóstico.
Provas
Paciente masculino, 65 anos, apresenta-se ao serviço de urgência/emergência com quadro de início súbito de disartria e perda de força em dimídio direito, com 2 horas de evolução. Ao exame neurológico, evidenciouse as seguintes alterações: hemianopsia homônima direita, força motora em membro superior direito grau 3/5 e em membro inferior direito grau 4+/5, e redução da sensibilidade em dimídio direito, principalmente em membro superior direito. A tomografia de crânio realizada durante a internação está demonstrada a seguir. Diante do quadro exposto, assinale a alternativa correta.

Provas
A respeito do manejo de multimorbidades, assinale a alternativa correta.
Provas
O aumento da prevalência de doenças crônicas degenerativas ou incuráveis é resultado frequentemente associado ao envelhecimento populacional. Diante desse fato, assinale a alternativa correta acerca dos conceitos e princípios dos Cuidados Paliativos.
Provas
A avaliação geriátrica ampla (AGA) objetiva a avaliação multidimensional do paciente idoso, o que permite um melhor plano terapêutico e controle de enfermidades, além de reabilitação. Quanto à AGA, assinale a alternativa correta.
Provas
Ainda com relação caso clínico da questão anterior, n° 47, assinale a alternativa correta.
Provas
Idosa de 66 anos, hipertensa com bom controle medicamentoso, sem complicações, IgG (imunoglobulina G) positiva para hepatite A, HBsAg negativo (não reagente) e Anti-HBs positivo (reagente) para hepatite B. Em sua carteira de vacinação, consta vacinação para influenza nesse ano e dTPa (difteria, tétano e coqueluche) realizada há 3 anos. Diante do caso, assinale a alternativa que apresenta a vacina indicada para essa idosa.
Provas
O Delirium tem origem no latim “delirare” e significa “sair dos trilhos”. Diante de um paciente que se apresenta com Delirium Hiperativo, assinale a alternativa que NÃO contempla as medicações ou medidas validadas para o tratamento.
Provas
LANÇADA NA ONU INICIATIVA PARA PROMOVER A INCLUSÃO DAS PESSOAS COM DEFICIÊNCIA ATRAVÉS DA MÍDIA
A brasileira Patrícia Almeida, fundadora da GADIM (Aliança Global para Inclusão das Pessoas com Deficiência através da Mídia e do Entretenimento), participou da Programação oficial do Fórum Social 2016, na ONU, em Genebra, falando do papel da mídia no painel sobre a Implementação da Agenda 2030 à luz da Convenção sobre os Direitos das Pessoas com Deficiência: O Futuro que Queremos. Ela defendeu a utilização dos meios de comunicação para desconstrução de esteriótipos e da cultura capacitista reinante, que considera pessoas com deficiência como tendo menos valor do que pessoas sem deficiência. A fundadora da GADIM citou como exemplos positivos de marketing social as novelas que incluem personagens com deficiência, construídos em parceria com organizações de pessoas com deficiência, e destacou a novela “Páginas da Vida”, da TV Globo, que, segundo ela, contribuiu para um avanço na transição do sistema de educação especial para a educação inclusiva. Ela concluiu chamando os países a cumprirem o Artigo 8 da Convenção, sobre Conscientização, que prevê a participação da mídia para a garantia dos direitos das pessoas com deficiência.
Cátia Malaquias, cofundadora da GADIM e fundadora da Starting with Julius, organização que promove a inclusão de modelos com deficiência na publicidade na Austrália, falou sobre a importância das pessoas com deficiência serem vistas como consumidoras, funcionárias e prestadoras de serviço.
Na conclusão do painel, Patrícia Almeida convocou o movimento social dos diferentes países a cobrar de seus governos medidas concretas em cumprimento do Artigo 8. Ela afirmou a cultura vigente gera discriminação e barreiras que impedem que outros artigos importantes da Convenção sejam cumpridos, e a inclusão na mídia de maneira positiva tem o poder de acelerar o processo de mudança cultural.
Fonte: http://www.inclusive.org.br/arquivos/29803
Assinale a alternativa em que há um termo grafado inadequadamente.
Provas
Paciente masculino, 63 anos, apresenta-se ao ambulatório de geriatria queixando-se de tremor de 9 meses de evolução em repouso ++/4 e +/4 postural e de intenção no membro superior direito (MSD) e +/4 de repouso e postural em membro superior esquerdo (MSE), bradicinesia ++/4 em MSD e +/4 em MSE; rigidez em roda denteada bilateral, pull teste negativo. Apresenta, ainda, marcha com passos curtos e hipomimia. Diante do diagnóstico, assinale a alternativa INCORRETA.
Provas
Caderno Container