Foram encontradas 840 questões.
A comunicação interventricular é uma das cardiopatias congênitas mais encontrada nas cardiopatias congênitas.
A principal complicação no fechamento cirúrgico da CIV, entre as relacionadas abaixo, é a(o)
Provas
O tumor mais comumente achado nas valvas cardíacas é o
Provas
Em pacientes com diagnóstico de dissecção da aorta torácica, quando utilizamos métodos percutâneos ou endovasculares, assinale a afirmativa correta.
Provas
Um paciente de 12 anos é submetido a cirurgia corretiva da Comunicação Interatrial (CIA), tipo seio venoso de 3,5 cm e justa veia cava superior.
Em relação ao caso, é correto afirmar que
Provas
Na anestesia ambulatorial, sempre que possível, os bloqueios de nervos periféricos devem ser utilizados. Tais bloqueios interferem diretamente nos dois fatores principais para que a alta dos pacientes possa ser dada sem atrasos e sempre com grande satisfação por parte dos pacientes e da equipe da instituição.
Esses dois fatores são
Provas
Atenção: use o caso a seguir para responder às duas próximas questões.
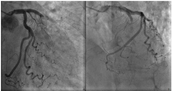
Mulher de 65 anos, hipertensa, diabética e dislipidêmica em acompanhamento regular e previamente assintomática, é atendida na emergência de um hospital terciário devido à dor torácica retroesternal súbita em aperto, de início há 50 minutos após uma discussão familiar. Relata uso prévio de metformina, dapaglifozina, atorvastatina e valsartana, negando outras comorbidades.
Ao exame: acordada, com fáscies de dor aguda, taquipneica em ar ambiente, sem esforço, sudoreica, corada, acianótica. FC: 96 bpm; PA: 146x90 mmHg no braço direito e 150x88 mmHg no braço esquerdo. MVUA com crepitação fina nas bases bilateralmente. Ritmo cardíaco regular em 3 tempos (B4), bulhas normofonéticas, sem sopros ou turgência jugular patológica a 90º. Pulsos radiais simétricos. O ECG de admissão está abaixo.

Em seguida, a paciente foi imediatamente encaminhada para a hemodinâmica, apresentando apenas a alteração demonstrada nas seguintes incidências:

Considerando o quadro clínico, o eletrocardiograma e a coronariografia apresentados, o diagnóstico da paciente é
Provas
Nos últimos anos, múltiplos medicamentos com mecanismos de ação variados surgiram como opções no tratamento da amiloidose cardíaca por transtirretina (TTR), promovendo benefícios na qualidade de vida e no prognóstico dos pacientes.
Nesse contexto, identifique o fármaco abaixo que apresenta como principal mecanismo de ação a degradação catalítica do RNA mensageiro (mRNA) da TTR no fígado.
Provas
Atenção: use o caso a seguir para responder às duas próximas questões.
Mulher de 72 anos, hipertensa, tabagista e dislipidêmica foi submetida à cirurgia de revascularização miocárdica devido à angina refratária. Apresentava função ventricular normal e foram utilizados os seguintes enxertos: artéria torácica interna esquerda para a artéria descendente anterior, safena para a primeira marginal e safena para o ramo ventricular posterior. O tempo de circulação extracorpórea foi 68 minutos e o de clampeamento aórtico foi 55 minutos. Não ocorreram intercorrências ou hemotransfusões durante a cirurgia. A paciente foi transferida para a unidade cardiointensiva ainda sob sedação e em ventilação mecânica, com um dreno pleural esquerdo e de mediastino, acesso venoso profundo na veia jugular interna direita e monitorização invasiva da pressão arterial através da artéria radial esquerda. Foi admitida em ritmo sinusal e com dose baixa de noradrenalina.
A medida terapêutica imediata mais adequada, entre as opções abaixo, além do acionamento do restante da equipe assistencial para auxiliar no atendimento, é
Provas
Atenção: use o caso a seguir para responder às duas próximas questões.
Mulher de 72 anos, hipertensa, tabagista e dislipidêmica foi submetida à cirurgia de revascularização miocárdica devido à angina refratária. Apresentava função ventricular normal e foram utilizados os seguintes enxertos: artéria torácica interna esquerda para a artéria descendente anterior, safena para a primeira marginal e safena para o ramo ventricular posterior. O tempo de circulação extracorpórea foi 68 minutos e o de clampeamento aórtico foi 55 minutos. Não ocorreram intercorrências ou hemotransfusões durante a cirurgia. A paciente foi transferida para a unidade cardiointensiva ainda sob sedação e em ventilação mecânica, com um dreno pleural esquerdo e de mediastino, acesso venoso profundo na veia jugular interna direita e monitorização invasiva da pressão arterial através da artéria radial esquerda. Foi admitida em ritmo sinusal e com dose baixa de noradrenalina.
Cerca de duas horas após a cirurgia, evoluiu subitamente com ausência de curva de pressão arterial na monitorização invasiva e pulso carotídeo impalpável, associada a uma alteração do ritmo cardíaco no monitor.

Assumindo que não havia falha de qualquer dispositivo de monitorização, o ritmo revelado pelo traçado acima é
Provas
A Empresa Brasileira de Serviços Hospitalares (Ebserh) é uma empresa pública vinculada ao Ministério da Educação, criada pela Lei Federal nº 12.550/2011.
A respeito de suas finalidades, analise as afirmativas a seguir e assinale (V) para a verdadeira e (F) para a falsa.
( ) Oferecer suporte ao Sistema Único de Saúde (SUS): a empresa contribui para o atendimento da população por meio dos hospitais universitários.
( ) Administrar hospitais universitários federais: a Ebserh gerencia e aprimora a infraestrutura e os serviços dos hospitais vinculados às universidades federais que estabeleceram contrato com ela.
( ) Apoiar o ensino e a pesquisa: a empresa valoriza e ampara o ensino-aprendizagem e a formação de pessoas no campo da saúde pública em instituições federais de ensino superior e em instituições congêneres.
Assinale a opção que indica a sequência correta, segundo a ordem apresentada.
Provas
Caderno Container