Foram encontradas 2.975 questões.
Em se tratando da tomografia computadorizada de seios da face é correto afirmar:
Provas
A partir da imagem apresentada relacione quais são os achados radiológicos relevantes.
I. Sinusite em seio maxilar.
II. Desvio de septo.
III. Espícula óssea.
IV. Enxerto ósseo.
Estão corretas as afirmativas:
Provas
A ressonância magnética (RM) é uma técnica de diagnóstico por imagem cada vez mais usada no diagnóstico de condições clínicas diversas. Porém, faz-se necessário a verificação das condições de segurança para que o paciente possa realizar o exame. Assinale a alternativa correta quanto ao aspecto de segurança em RM.
Provas
A fase contrastada na tomografia computadorizada aumenta a acurácia do método em várias situações clínicas. Porém, existem situações em que é contra-indicada a injeção de contraste iodado endovenoso (EV). Desta forma, assinale a alternativa correta que exemplificam situações de contra-indicação ao uso deste meio de contraste.
Provas
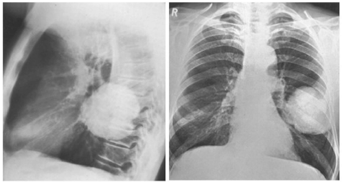
Paciente de sexo masculino, 50 anos, fumante, realizou radiografia de tórax frente e perfil abaixo. A partir das imagens assinale a alternativa correta quanto ao padrão, localização e provável natureza da lesão.

Provas
Com base na expressão “nem toda convicção errônea não-corrigível é um delírio”, assinale duas condições humanas em que isso pode se aplicar:
Provas
Assinale a alternativa que apresenta os dois tipos de memórias considerados no exame psíquico que são mais prejudicados nas perturbações mentais de natureza orgânica:
Provas
Das ocorrências psicopatológicas abaixo descritas, assinale a alternativa que apresenta os dois principais sintomas observados na esquizofrenia do tipo paranoide:
Provas
Das alternativas abaixo elencadas, assinale, do ponto de vista da Responsabilidade Penal, o sentido de imputabilidade:
Provas
As formas clínicas, que habitualmente são diagnosticadas dentro das esquizofrenias, segundo os autores clássicos, são:
Provas
Caderno Container