Foram encontradas 1.200 questões.

Uma paciente de 30 anos de idade, apresentando fadiga, sonolência e intolerância ao frio, chegou ao pronto-socorro. Foram solicitados exames laboratoriais (que evidenciaram (VR = 0,45 a 4,5 mUI/L) TSH = 1 mUI/L, T4 = 3 mg/dL (VR = 4,5 a 12,6 mg/dL) e T3 = 61 mg/dL (VR = 80 a 180 mg/dL), perfil hormonal (única alteração foi prolactina = 49 mg/mL (VR = 2,83 a 30 mg/mL) e ressonância magnética do encéfalo.
A respeito desse caso clínico e da imagem de ressonância magnética apresentada, julgue os itens a seguir.
Provas

Uma paciente de 30 anos de idade, apresentando fadiga, sonolência e intolerância ao frio, chegou ao pronto-socorro. Foram solicitados exames laboratoriais (que evidenciaram (VR = 0,45 a 4,5 mUI/L) TSH = 1 mUI/L, T4 = 3 mg/dL (VR = 4,5 a 12,6 mg/dL) e T3 = 61 mg/dL (VR = 80 a 180 mg/dL), perfil hormonal (única alteração foi prolactina = 49 mg/mL (VR = 2,83 a 30 mg/mL) e ressonância magnética do encéfalo.
A respeito desse caso clínico e da imagem de ressonância magnética apresentada, julgue os itens a seguir.
Provas

Uma paciente de 30 anos de idade, apresentando fadiga, sonolência e intolerância ao frio, chegou ao pronto-socorro. Foram solicitados exames laboratoriais (que evidenciaram (VR = 0,45 a 4,5 mUI/L) TSH = 1 mUI/L, T4 = 3 mg/dL (VR = 4,5 a 12,6 mg/dL) e T3 = 61 mg/dL (VR = 80 a 180 mg/dL), perfil hormonal (única alteração foi prolactina = 49 mg/mL (VR = 2,83 a 30 mg/mL) e ressonância magnética do encéfalo.
A respeito desse caso clínico e da imagem de ressonância magnética apresentada, julgue os itens a seguir.
Provas

Uma paciente de 30 anos de idade, apresentando fadiga, sonolência e intolerância ao frio, chegou ao pronto-socorro. Foram solicitados exames laboratoriais (que evidenciaram (VR = 0,45 a 4,5 mUI/L) TSH = 1 mUI/L, T4 = 3 mg/dL (VR = 4,5 a 12,6 mg/dL) e T3 = 61 mg/dL (VR = 80 a 180 mg/dL), perfil hormonal (única alteração foi prolactina = 49 mg/mL (VR = 2,83 a 30 mg/mL) e ressonância magnética do encéfalo.
A respeito desse caso clínico e da imagem de ressonância magnética apresentada, julgue os itens a seguir.
Provas

Uma paciente de 30 anos de idade, apresentando fadiga, sonolência e intolerância ao frio, chegou ao pronto-socorro. Foram solicitados exames laboratoriais (que evidenciaram (VR = 0,45 a 4,5 mUI/L) TSH = 1 mUI/L, T4 = 3 mg/dL (VR = 4,5 a 12,6 mg/dL) e T3 = 61 mg/dL (VR = 80 a 180 mg/dL), perfil hormonal (única alteração foi prolactina = 49 mg/mL (VR = 2,83 a 30 mg/mL) e ressonância magnética do encéfalo.
A respeito desse caso clínico e da imagem de ressonância magnética apresentada, julgue os itens a seguir.
Provas

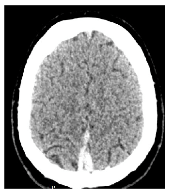
Uma paciente de 30 anos de idade, puérpera, obesa, procura atendimento hospitalar em razão de cefaleia occipital de severa intensidade iniciada há dois dias. Previamente hígida, nega atopias e episódios prévios. Ao exame: Glasgow 15, pupilas isofotorreagentes, sem déficits focais, sem sinais de irritação meningorradicular, frequência cardíaca: 120 bpm, frequência respiratória: 18 ipm e SaO2: 99% em ar ambiente. A paciente realizou tomografia computadorizada sem contraste.
Com base nesse caso clínico e na imagem da tomografia apresentada, julgue os itens a seguir.
Provas

Uma paciente de 30 anos de idade, puérpera, obesa, procura atendimento hospitalar em razão de cefaleia occipital de severa intensidade iniciada há dois dias. Previamente hígida, nega atopias e episódios prévios. Ao exame: Glasgow 15, pupilas isofotorreagentes, sem déficits focais, sem sinais de irritação meningorradicular, frequência cardíaca: 120 bpm, frequência respiratória: 18 ipm e SaO2: 99% em ar ambiente. A paciente realizou tomografia computadorizada sem contraste.
Com base nesse caso clínico e na imagem da tomografia apresentada, julgue os itens a seguir.
Provas

Uma paciente de 30 anos de idade, puérpera, obesa, procura atendimento hospitalar em razão de cefaleia occipital de severa intensidade iniciada há dois dias. Previamente hígida, nega atopias e episódios prévios. Ao exame: Glasgow 15, pupilas isofotorreagentes, sem déficits focais, sem sinais de irritação meningorradicular, frequência cardíaca: 120 bpm, frequência respiratória: 18 ipm e SaO2: 99% em ar ambiente. A paciente realizou tomografia computadorizada sem contraste.
Com base nesse caso clínico e na imagem da tomografia apresentada, julgue os itens a seguir.
Provas

Uma paciente de 30 anos de idade, puérpera, obesa, procura atendimento hospitalar em razão de cefaleia occipital de severa intensidade iniciada há dois dias. Previamente hígida, nega atopias e episódios prévios. Ao exame: Glasgow 15, pupilas isofotorreagentes, sem déficits focais, sem sinais de irritação meningorradicular, frequência cardíaca: 120 bpm, frequência respiratória: 18 ipm e SaO2: 99% em ar ambiente. A paciente realizou tomografia computadorizada sem contraste.
Com base nesse caso clínico e na imagem da tomografia apresentada, julgue os itens a seguir.
Provas
Um neurocirurgião de plantão é chamado à emergência para avaliar um paciente de 23 anos de idade, em razão de perda de força. O paciente relata que, há uma semana, percebeu alteração de força em pé esquerdo que evoluiu para pernas e braços; aguardava consulta ambulatorial, mas procurou emergência em razão de alteração visual hoje ao acordar. Usuário de heroína, relata que, há um mês, apresentou vômitos e diarreia, tratadas como gastroenterite aguda/virose. Ao exame: frequência respiratória: 18 ipm, frequência cardíaca: 80 bpm, SaO2: 97% em ar ambiente, oftalmoplegia à esquerda, tetraparesia flácida: força grau 2 em membro inferior esquerdo, grau 3 em membro inferior direito e membro superior esquerdo e grau 4 em membro superior direito.
Com base nesse caso clínico, julgue os itens a seguir.
Provas
Caderno Container