Foram encontradas 1.580 questões.
A prevenção de infecção no recém-nascido (RN) depende da correta orientação da gestante e de sua parceria. Assinale a alternativa que apresenta a conduta correta.
Provas
Um paciente que vive com HIV inicia quadro de icterícia associada a fadiga, náuseas, vômitos e discreta dor abdominal difusa há 5 dias. Exames laboratoriais revelaram AST e ALT aumentadas em oito vezes e HVC-RNA positivo. Em relação ao tratamento, assinale a alternativa correta.
Provas
Assinale a alternativa que apresenta o agente etiológico da quinta doença exantemática.
Provas
Em relação ao diagnóstico da malária, assinale a alternativa correta.
Provas
Para determinar a sensibilidade de um microrganismo a um antimicrobiano é necessário que sua concentração inibitória mínima (mic) seja
Provas
Analise o caso e responda à questão.
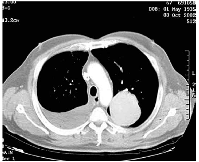
Paciente do sexo masculino, 45 anos, procura ambulatório de clínica médica relatando que há dois meses iniciou quadro de dor em hemitórax direito que piorava com a inspiração profunda. Essa dor diminuiu gradualmente ao mesmo tempo que surgiram episódios de febre baixa (37,9 oC) sempre no final da tarde. Relata emagrecimento de 9 kg nesse período. Tabagista 40 anos/maço. Nega antecedentes mórbidos pessoais ou contato com pessoas doentes. Após exame físico, o médico solicita uma tomografia computadorizada de tórax que está apresentada a seguir.

A dosagem da adenosina desaminase
Provas
Analise o caso e responda à questão.
Paciente do sexo masculino, 45 anos, procura ambulatório de clínica médica relatando que há dois meses iniciou quadro de dor em hemitórax direito que piorava com a inspiração profunda. Essa dor diminuiu gradualmente ao mesmo tempo que surgiram episódios de febre baixa (37,9 oC) sempre no final da tarde. Relata emagrecimento de 9 kg nesse período. Tabagista 40 anos/maço. Nega antecedentes mórbidos pessoais ou contato com pessoas doentes. Após exame físico, o médico solicita uma tomografia computadorizada de tórax que está apresentada a seguir.

A principal hipótese diagnóstica é:
Provas
O controle de cura de um paciente com diagnóstico confirmado de esquistossomose mansônica, na fase hepatointestinal, deve ser realizado através da detecção de ovos Schistossoma mansoni nas fezes pelo método de Kato Katz após
Provas
Em relação à vacina recombinante contra herpes zóster, pode-se afirmar que
Provas
O primeiro vírus humano confirmado como um oncovírus, e que pode dar origem a várias neoplasias linfoproliferativas em hospedeiro imunocomprometido, é o
Provas
Caderno Container