Foram encontradas 1.460 questões.
Mulher de 18 anos, previamente hígida, sem comorbidades, é avaliada ao fim de treino escolar extenuante. Logo após a atividade física, enquanto estava sentada, ela evolui com mal-estar, tontura, sudorese e náuseas. Imediatamente, ela perde a consciência, cai para a frente e apresenta movimentos rápidos e bruscos de seus braços e pernas. A consciência é retomada rapidamente. Inicialmente, parecia confusa, mas foi capaz de responder às perguntas de forma adequada. Apresentou alguma incontinência urinária durante o episódio, mas nenhum trauma na língua. Ela voltou ao seu estado mental basal alguns minutos após o episódio.
A principal hipótese diagnóstica é
Provas
Os estados fisiológicos e as manobras dinâmicas alteram as características dos sopros cardíacos. Nesse aspecto, assinale a afirmação verdadeira.
Provas
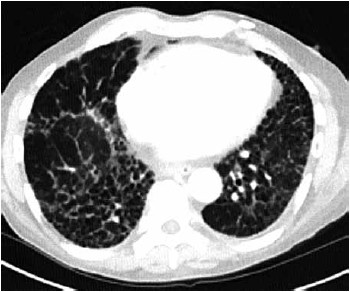
Homem de 67 anos é avaliado por dispneia gradualmente progressiva e tosse seca nos últimos 6 meses. Ele tem um histórico de tabagismo de 30 maços/ano, mas parou há 10 anos. O restante dos antecedentes mórbidos não é relevante. Exame físico: frequência respiratória: 22 ipm; saturação de oxigênio: 93% em ar ambiente; ausculta pulmonar: crepitações inspiratórias finas (tipo velcro) em ambas as bases pulmonares; nota-se baqueteamento digital. A espirometria mostra capacidade vital forçada (CVF) de 55% do previsto; relação VEF1/CVF de 0,91; DLCO de 42% do previsto. A tomografia de alta resolução do tórax é mostrada a seguir.

(Arquivo pessoal; imagem usada com autorização)
A principal hipótese diagnóstica é
Provas
Mulher de 56 anos com histórico de câncer de mama tratado com mastectomia seguida de inibidor de aromatase (anastrozol). Os exames complementares, incluindo hemograma completo, função renal, perfil ósseo, níveis de 25-hidroxivitamina D e teste de função tireoidiana, estão dentro da faixa normal. A densitometria óssea evidencia escore T de – 2,8 no colo do fêmur.
A abordagem mais apropriada no tratamento dessa paciente é
Provas
Criança de 4 meses de idade é avaliada devido a choro constante e má alimentação. Ela é alimentada por mamadeira com fórmula infantil. Sua mãe reclama que ela está achando muito difícil lidar com isso, tendo acessos de choro, e refere ter outro filho de 20 meses que, recentemente, foi encaminhado ao fonoaudiólogo por causa de atraso na linguagem. Na consulta de hoje, a criança apresenta desenvolvimento, crescimento e exame físico normais.
A causa mais provável dos achados descritos é
Provas
O local mais frequente de hemorragia do sistema nervoso central no paciente com angiopatia amiloide cerebral é
Provas
Homem de 40 anos é internado no hospital após síncope no trabalho. Relata que já teve episódios semelhantes nos últimos meses. No momento em que é atendido, ele está bem e não há alterações no exame físico. O ECG realizado é mostrado a seguir:

(Arquivo pessoal; imagem usada com autorização)
O diagnóstico mais provável é
Provas
Mulher de 26 anos, sem comorbidades conhecidas, apresenta quadro de longa data de fraqueza, adinamia e cãibras nos braços e pernas. Nega etilismo, tabagismo ou uso de qualquer medicação. PA: 112 x 76 mmHg; o restante do exame físico não é contributivo. Exames séricos: sódio: 135 mEq/L; potássio: 2,9 mEq/L; cálcio iônico normal; fósforo: 2,7 mg/dL (normal: 2,3 a 4,6); magnésio: 1,3 mg/dL (normal: 1,6 a 2,6); bicarbonato: 30 mEq/L (normal: 22 a 26). A atividade de renina plasmática é alta e a excreção urinária de cloro é normal.
Com esses dados descritos, a principal hipótese diagnóstica é
Provas
Em relação às diferenças sexuais e prognósticos/desfechos em pacientes diabéticos, é correto afirmar:
Provas
Em relação à hipertensão arterial (HA), é correto afirmar:
Provas
Caderno Container