Foram encontradas 1.940 questões.
Assinale a alternativa que tem o antidepressivo cujo mecanismo de ação é conhecido como multimodal.
Provas
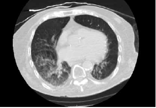
Paciente de 90 anos e admitido no Pronto-socorro com queixa de tosse, sonolência e diminuição da ingestão alimentar. Foi realizada uma tomografia computadorizada de tórax mostrada a seguir.

(Arquivo pessoal; imagem usada com autorização)
Assinale a alternativa correta.
Provas
Paciente de 92 anos, de forma súbita e sem causa aparente, iniciou com dor lombar, sem irradiação, que a incomodava para caminhar, sentar e deitar. Sua radiografia de coluna lombar mostrou o seguinte:

(Arquivo pessoal; imagem usada com autorização)
Diante do exposto, assinale a alternativa correta.
Provas
O Confusional Assessment Method (CAM) constitui-se em um método para avaliação diagnóstica do delirium. Existem variações que permite sua aplicação em diferentes situações, de acordo com a condição do paciente.
Assinale a alternativa que estabelece uma correlação exata entre o subtipo do CAM e o ambiente para o qual ele foi configurado.
Provas
Assinale a alternativa correta em relação à síndrome das pernas inquietas.
Provas
Assinale a alternativa que corretamente correlaciona a etiologia da demência com seus fatores de risco.
Provas
Assinale a alternativa que correlaciona um sinal neurológico e a etiologia da demência.
Provas
Paciente de 80 anos, sexo masculino, procura o consultório com uma queixa de tremor nas mãos. Sua frequência cardíaca está em 110 bpm. Assinale a alternativa que demonstra, na suspeita de uma tireotoxicose, qual deve ser a característica desse tremor.
Provas
Assinale a alternativa correta quanto às avaliações funcionais.
Provas
Um homem de 35 anos com retardo mental está sendo levado ao pronto-socorro após cuidador ter visto o paciente ingerir dois ímãs da porta de um armário de cozinha há cerca de 24 horas. Os ímãs eram redondos e lisos de aproximadamente 1,5 cm de diâmetro. Realizada radiografia abdominal que mostrou dois objetos próximos no quadrante superior esquerdo do abdômen.
Qual é a conduta mais adequada para esse paciente?
Provas
Caderno Container