Foram encontradas 1.940 questões.
Um paciente masculino de 28 anos com histórico de epilepsia refratária é encaminhado para avaliação em um centro especializado. Ele tem uma média de três crises tônico-clônicas generalizadas por mês, apesar da terapia combinada com valproato e levetiracetam em doses otimizadas. A ressonância magnética (RM) do cérebro mostra esclerose mesial temporal bilateral e o vídeo-EEG captura episódios ictais originados a partir dos lobos temporais, sem lateralização consistente. As opções cirúrgicas são limitadas pela natureza bilateral das lesões. Qual abordagem terapêutica adicional poderia ser considerada nesse caso?
Provas
Um paciente de 58 anos apresenta-se à clínica odontológica com queixas de dor orofacial crônica. A dor é descrita como uma sensação contínua e lancinante na região pré-auricular direita, exacerbada pela mastigação e pelo movimento mandibular. O paciente relata episódios diários que interferem significativamente em sua qualidade de vida, incluindo distúrbios do sono. Não há alívio notável com analgésicos comuns ou anti-inflamatórios não esteroidais (AINEs). O exame intraoral revela desgaste oclusal assimétrico sem cáries ativas ou restaurações defeituosas. A palpação dos músculos da mastigação elicia dor moderada bilateralmente, mais proeminente no lado direito. Com base nesse caso clínico complexo, qual das seguintes opções representa a melhor abordagem diagnóstica inicial?
Provas
Considerando o diagnóstico e tratamento da Miastenia Gravis, qual das seguintes opções representa uma abordagem adequada dessa patologia?
Provas
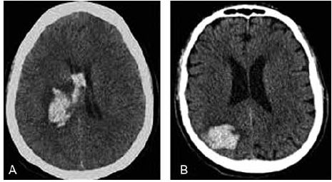
Um paciente de 65 anos é trazido ao pronto-socorro com início súbito de hemiparesia direita e afasia. A tomografia computadorizada (TC) de crânio encontra-se a seguir. O paciente tem histórico de hipertensão arterial sistêmica, mas não está em uso regular da medicação prescrita.

(htpps://sanarmed.com/hemorragia-intraparenquimatosa-casoclinico- e-discussao-radiologica-colunistas/)
Qual abordagem terapêutica inicial é mais apropriada para esse caso?
Provas
Um paciente do sexo masculino, 48 anos, com histórico recente de acidente vascular encefálico hemorrágico extenso está em coma profundo e ventilado mecanicamente na UTI. Não há resposta a estímulos dolorosos e os reflexos troncoencefálicos estão ausentes. A equipe médica suspeita fortemente de morte encefálica. Qual das seguintes etapas é essencial para o protocolo formal de diagnóstico da morte encefálica?
Provas
Um paciente de 22 anos é encaminhado ao serviço de genética médica com um quadro clínico progressivo caracterizado por fraqueza muscular distal, atrofia nos membros inferiores e redução dos reflexos tendinosos. O exame eletroneuromiográfico revela evidências de desmielinização periférica com velocidades de condução nervosa significativamente diminuídas. Não há histórico familiar conhecido para neuropatias hereditárias. Considerando as possíveis causas genéticas para a apresentação dessa neuropatia periférica, qual teste molecular é mais indicado inicialmente?
Provas
Uma paciente adulta é admitida com confusão aguda, distúrbios do comportamento e convulsões focais sem febre. A ressonância magnética (RM) cerebral mostra hiperintensidades no lobo temporal em T2/FLAIR sem realce pós-contraste e a punção lombar revela pleocitose linfocítica com proteínas normais e ausência de patógenos identificáveis por PCR. Qual dos seguintes testes seria o mais indicado para confirmar a suspeita clínica dessa paciente?
Provas
Uma mulher de 30 anos apresenta-se ao serviço médico relatando episódios recorrentes de neurite óptica unilateral seguidos, meses depois, por mielite transversal completa com disfunção vesical associada. Não há histórico familiar relevante nem outros sintomas sistêmicos reportados. Com base nessa descrição clínica, qual exame complementar ajudaria mais decisivamente no diagnóstico diferencial dessa paciente?
Provas
Um paciente de 58 anos apresenta-se com um histórico progressivo de movimentos involuntários das extremidades superiores. O exame neurológico revela coreia distal, particularmente nos dedos das mãos, e uma leve ataxia. Não há sinais de rigidez ou bradicinesia. A história familiar é positiva para movimentos semelhantes em sua mãe e irmã mais velha, mas não há relatos consistentes sobre deterioração cognitiva ou psiquiátrica associada. Qual dos seguintes diagnósticos é o mais provável dada a apresentação clínica?
Provas
Um paciente de 40 anos apresenta-se com um histórico recorrente de cefaleias intensas, unilaterais, localizadas na região periorbital. As crises são acompanhadas por lacrimejamento e congestão nasal do mesmo lado da dor. Os episódios ocorrem várias vezes ao dia, durando cerca de 45 a 60 minutos cada, e têm se repetido diariamente nos últimos meses. O paciente relata que as crises tendem a acontecer no mesmo horário e muitas vezes o despertam à noite. Qual dos seguintes fatores é conhecido por desencadear episódios em pacientes com essa condição?
Provas
Caderno Container