Foram encontradas 933 questões.
Um paciente de 30 anos de idade foi levado ao pronto-socorro após sofrer um traumatismo cranioencefálico (TCE) em um acidente de motocicleta. Ele estava sem capacete e foi encontrado inconsciente no local do acidente. Na admissão, ele apresentava um Glasgow Coma Scale (GCS) de 8 (E2V2M4) e sinais de trauma craniano evidentes, incluindo equimoses periorbitais e escoriações no couro cabeludo. Uma tomografia computadorizada (TC) de crânio foi realizada, revelando uma fratura de base de crânio e hemorragia subaracnóidea difusa. O paciente foi imediatamente encaminhado para a unidade de terapia intensiva (UTI) para monitoramento e tratamento.
Assinale a alternativa que apresenta o próximo passo mais apropriado no manejo desse paciente.
Provas
Uma paciente de 55 anos de idade compareceu à consulta com queixa de dor na região inguinal direita há vários meses, que piora com atividade física e melhora com repouso. Ela nega qualquer história de trauma recente. Ao exame físico, observa-se uma protuberância na região inguinal direita, abaixo do ligamento inguinal, durante a manobra de Valsalva, que desaparece quando a paciente se encontra em posição supina. O exame de toque retal mostrou-se normal. A paciente não possui histórico de cirurgias abdominais prévias.
Em relação ao caso clínico apresentado, o tipo de hérnia inguinal mais comum em mulheres é a hérnia
Provas
Uma paciente de 55 anos de idade compareceu à consulta com queixa de dor na região inguinal direita há vários meses, que piora com atividade física e melhora com repouso. Ela nega qualquer história de trauma recente. Ao exame físico, observa-se uma protuberância na região inguinal direita, abaixo do ligamento inguinal, durante a manobra de Valsalva, que desaparece quando a paciente se encontra em posição supina. O exame de toque retal mostrou-se normal. A paciente não possui histórico de cirurgias abdominais prévias.
Qual é a classificação de Nyhus mais apropriada para essa condição?
Provas

Disponível em: <www.rb.org.br>. Acesso em: 16 fev. 2023.
Um paciente de 62 anos de idade, tabagista (1maço/dia) e etilista (5 doses de destilado/dia) há 40 anos, procurou atendimento ambulatorial com queixa de disfagia progressiva (sólidos para líquidos), linfonodomegalia cervical bilateral e perda de 8 kg em seis meses. Foi submetido a estudo contrastado do esôfago, que demonstrou falha de enchimento irregular.
No que se refere ao caso clínico citado, a localização mais comum dessa patologia é
Provas

Disponível em: <www.rb.org.br>. Acesso em: 16 fev. 2023.
Um paciente de 62 anos de idade, tabagista (1maço/dia) e etilista (5 doses de destilado/dia) há 40 anos, procurou atendimento ambulatorial com queixa de disfagia progressiva (sólidos para líquidos), linfonodomegalia cervical bilateral e perda de 8 kg em seis meses. Foi submetido a estudo contrastado do esôfago, que demonstrou falha de enchimento irregular.
Diante dessas informações, qual é a principal hipótese diagnóstica?
Provas
Um homem de 33 anos de idade procurou o serviço médico com queixa de dor abdominal, na região mesogástrica, sem irradiação, há 90 dias. Relatou piora importante dos sintomas há 45 dias, associada a enterorragia e melena. Negou fatores de melhora ou piora, náuseas ou vômitos. Referiu também perda ponderal de 10 kg no período. Negou comorbidades, alergias, internações prévias, tabagismo e etilismo. Ao exame físico, foram constatados linfonodo palpável e aumentado de volume supraclavicular à esquerda, nódulos periumbilicais e, ao toque retal, massa endurada no fundo de saco de Douglas.
Considerando essas informações, a principal hipótese diagnostica é
Provas
Para que tal patologia ocorra, existe um ponto de fraqueza na musculatura na parede posterior do esôfago, representada por um triângulo.
Essa região é denominada triangulo de
Provas

Disponível em: <www.scielo.br>. Acesso em: 16 fev. 2023.
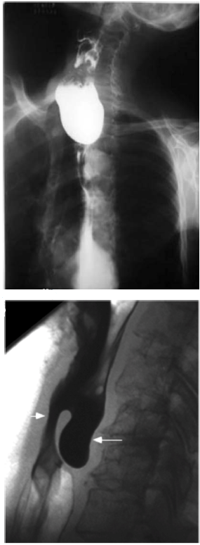
Um paciente de 71 anos de idade apresentou queixa de disfagia cervical, associada a deglutição ruidosa, regurgitação, abaulamento cervical esquerdo, acessos de tosse, halitose e emagrecimento progressivo há três anos. Ele, então, procurou o cirurgião de cabeça e pescoço para investigar essa sintomatologia, o qual optou pela realização de exames de imagem, que evidenciaram as imagens apresentadas.
Qual é a hipótese diagnóstica mais plausível?
Provas
Certa paciente de 18 anos de idade apresentou quadro de febre não termometrada, mialgia, dor abdominal no mesogástrio e hipocôndrio direito há cinco dias. Ao exame físico, mostrou-se em regular estado geral, com abdome flácido, doloroso difusamente à palpação profunda, com predomínio no epigástrio e hipocôndrio direito, sinal de Murphy e ruídos hidroaéreos presentes. Os exames laboratoriais indicaram leucócitos = 18.400/mm3 (segmentados = 86%, linfócitos = 9%, bastões = 3%, eosinófilos = 0%); hematócrito = 45,20%; hemoglobina = 11,5 g/dL; plaquetas = 55.000/mm3; ALT = 29 U/L; AST: 23 U/L; sorologia para dengue IgM = reagente. O USG de abdome evidenciou fígado com dimensões normais, vesícula biliar de paredes espessadas e heterogêneas (8 mm) e ascite leve.
Quanto à hipótese diagnóstica para esse caso clínico, assinale a alternativa correta.
Provas

A aorta (ponta de seta aberta) e a artéria mesentérica superior (ponta de seta fechada)
Disponível em: <www.uptodate.com>. Acesso em: 16 fev. 2023.
Uma paciente de 21 anos de idade, caucasiana, com IMC atual = 16.1 Kg/m2, apresentava, há seis meses, intolerância alimentar acompanhada de náuseas e vômitos pós-prandiais. Essas queixas eram muitas vezes associadas a digestões prolongadas e dor epigástrica, que eram aliviadas com o vômito. O início do quadro clínico surgiu após episódio de gastroenterite aguda, ocorrendo uma perda ponderal de 16% em 120 dias. Com o decorrer dos meses, a situação clínica foi agravada com o aumento da intolerância alimentar e maior perda de peso, embora a paciente procurasse se alimentar. Optou-se, assim, pela realização de exames de imagem abdominal.
Associando-se a imagem apresentada ao quadro previamente descrito, qual é a principal hipótese diagnóstica?
Provas
Caderno Container