Foram encontradas 300 questões.
Leia o caso clínico a seguir para responder à questão:
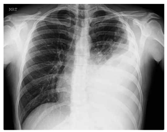
Paciente do sexo masculino, 58 anos, tabagista de 40
maços/ano, portador de DPOC moderado.
Procura pronto-socorro com febre há 3 dias, tosse produtiva com expectoração purulenta e dispneia progressiva.
Nas últimas 6 horas, evoluiu com rebaixamento do sensório e intensa dificuldade respiratória. O exame físico
na sala de emergência apresenta: PA: 92 × 60 mmHg;
FC: 128 bpm; FR: 38 irpm; SatO₂: 82% em cateter nasal
5 L/min; T: 38,6 °C.
Escala de Glasgow: 12.
Estertores crepitantes difusos em hemitórax esquerdo e
abolido em base.
Uso de musculatura acessória e tiragem intercostal.
Apresenta exames complementares: leucócitos: 18.400/mm³;
creatinina: 1,9 mg/dL.
Gasometria em O₂: 5 L/min; pH: 7,28; PaO₂: 52 mmHg;
PaCO₂: 58 mmHg; HCO₃⁻: 20 mEq/L; relação PaO₂/
FiO₂:110.
Radiografia de tórax a seguir:

(Arquivo pessoal; imagem usada com autorização)
Provas
Questão presente nas seguintes provas
Paciente do sexo feminino, 48 anos, previamente saudável, apresenta nódulo tireoidiano de 1,8 cm identificado em ultrassonografia cervical solicitada por disfagia
leve. As características ultrassonográficas de um nódulo
sólido, hipoecoico, com microcalcificações e margens
irregulares. Não há adenomegalias cervicais. Apresenta
TSH e T4 livre normais.
No seguimento dessa paciente, assinale a alternativa que apresenta corretamente a orientação das diretrizes atuais.
No seguimento dessa paciente, assinale a alternativa que apresenta corretamente a orientação das diretrizes atuais.
Provas
Questão presente nas seguintes provas
Leia o caso clínico a seguir para responder à questão:
Paciente, sexo masculino, 62 anos, etilista, cirrose hepática (child-pugh B) em acompanhamento há 3 anos,
chega ao pronto atendimento por hematêmese volumosa
e melena de início há 4h, associadas a tontura, sudorese,
lipotimia, há 30 minutos.
Ao exame físico: PA: 86 × 54 mmHg, FC: 122 bpm, pele
fria, Glasgow 14. Abdome ascítico, circulação colateral,
baqueteamento digital.
Exames complementares: Hb: 7,4 g/dL, plaquetas:
86.000, INR: 1,8, creatinina: 1,6 mg/dL, bilirrubina total:
4,0 mg/dL, Na⁺: 131 mEq/L.
Realizou a tomografia de abdome a seguir:

(Arquivo pessoal; imagem usada com autorização)
Provas
Questão presente nas seguintes provas
Leia o caso clínico a seguir para responder à questão:
Paciente, sexo masculino, 62 anos, etilista, cirrose hepática (child-pugh B) em acompanhamento há 3 anos,
chega ao pronto atendimento por hematêmese volumosa
e melena de início há 4h, associadas a tontura, sudorese,
lipotimia, há 30 minutos.
Ao exame físico: PA: 86 × 54 mmHg, FC: 122 bpm, pele
fria, Glasgow 14. Abdome ascítico, circulação colateral,
baqueteamento digital.
Exames complementares: Hb: 7,4 g/dL, plaquetas:
86.000, INR: 1,8, creatinina: 1,6 mg/dL, bilirrubina total:
4,0 mg/dL, Na⁺: 131 mEq/L.
Realizou a tomografia de abdome a seguir:

(Arquivo pessoal; imagem usada com autorização)
Provas
Questão presente nas seguintes provas
Leia o caso clínico a seguir para responder à questão:
Paciente do sexo feminino, 64 anos, portadora de diabetes mellitus insulino dependente, foi submetida à colectomia segmentar por neoplasia de cólon há 5 dias. Evoluiu
com febre persistente, inapetência e dor abdominal progressiva nas últimas 48 horas na enfermaria. Nas últimas
9 horas, apresentou vômitos biliosos, rebaixamento do
nível de consciência e piora clínica, sendo transferida
para UTI.
Exame físico na admissão: T: 38,9 °C, PA: 82 × 54 mmHg,
FC: 124 bpm. Responsiva a solicitações, com escala de
Glasgow: 12. Abdome: distendido, dor difusa com defesa
involuntária, descompressão brusca dolorosa.
Pele fria, tempo de enchimento capilar: 5 s.
Exames laboratoriais: leucócitos: 22.800/mm³; plaquetas:
92.000/mm³.
Creatinina: 2,1 mg/dL; lactato: 5,4 mmol/L; bilirrubina
total: 2,2 mg/dL.
Tomografia computadorizada de abdome com contraste:
líquido livre difuso, múltiplas coleções perianastomóticas
com presença de gás e extravasamento de contraste.
Provas
Questão presente nas seguintes provas
Leia o caso clínico a seguir para responder à questão:
Paciente do sexo feminino, 64 anos, portadora de diabetes mellitus insulino dependente, foi submetida à colectomia segmentar por neoplasia de cólon há 5 dias. Evoluiu
com febre persistente, inapetência e dor abdominal progressiva nas últimas 48 horas na enfermaria. Nas últimas
9 horas, apresentou vômitos biliosos, rebaixamento do
nível de consciência e piora clínica, sendo transferida
para UTI.
Exame físico na admissão: T: 38,9 °C, PA: 82 × 54 mmHg,
FC: 124 bpm. Responsiva a solicitações, com escala de
Glasgow: 12. Abdome: distendido, dor difusa com defesa
involuntária, descompressão brusca dolorosa.
Pele fria, tempo de enchimento capilar: 5 s.
Exames laboratoriais: leucócitos: 22.800/mm³; plaquetas:
92.000/mm³.
Creatinina: 2,1 mg/dL; lactato: 5,4 mmol/L; bilirrubina
total: 2,2 mg/dL.
Tomografia computadorizada de abdome com contraste:
líquido livre difuso, múltiplas coleções perianastomóticas
com presença de gás e extravasamento de contraste.
Provas
Questão presente nas seguintes provas
Paciente, sem comorbidades, apresenta sorologia:
HBsAg positivo, anti-HBc total positivo, anti-HBc IgM
negativo, anti-HBs negativo, HBeAg positivo.
Qual a interpretação do quadro infeccioso?
Qual a interpretação do quadro infeccioso?
Provas
Questão presente nas seguintes provas
Uma paciente internada na unidade de terapia intensiva com quadro séptico de foco urinário, sem história
de diarreia, vômitos ou uso de diuréticos, que apresenta
os seguintes exames laboratoriais pH: 7,25; PaCO₂:
28 mmHg; HCO₃⁻: 12 mEq/L; Na⁺: 140; Cl⁻: 102; albumina: 4 g/dL. N. lactato sérico: 6,1 mmol/L.
Qual a interpretação correta do distúrbio ácido-básico?
Qual a interpretação correta do distúrbio ácido-básico?
Provas
Questão presente nas seguintes provas
Leia o caso clínico a seguir para responder às questão:
Paciente do sexo masculino, 64 anos, portador de hipertensão arterial, obesidade grau 2, diabetes mellitus tipo 2, com história de dor torácica retroesternal opressiva iniciada há 90 minutos, irradiando para braço esquerdo e mandíbula, associada a náuseas, vômitos e sudorese intensa. Foi levado ao pronto-socorro pelo SAMU. Na chegada, encontra-se ansioso, dispneico e sudorese fria. Ao exame físico: PA: 86 × 58 mmHg FC: 112 bpm. Consciente e orientado, sem déficits motores. Ritmo cardíaco regular 2 tempos sem sopros. Murmúrio vesicular presente com estertores crepitantes bibasais. Extremidades frias, tempo de enchimento capilar de 5 s.
Realizou o eletrocardiograma a seguir:
(Arquivo pessoal; arquivo usado com autorização)
Qual a conduta correta em relação à reperfusão nesse paciente?
Paciente do sexo masculino, 64 anos, portador de hipertensão arterial, obesidade grau 2, diabetes mellitus tipo 2, com história de dor torácica retroesternal opressiva iniciada há 90 minutos, irradiando para braço esquerdo e mandíbula, associada a náuseas, vômitos e sudorese intensa. Foi levado ao pronto-socorro pelo SAMU. Na chegada, encontra-se ansioso, dispneico e sudorese fria. Ao exame físico: PA: 86 × 58 mmHg FC: 112 bpm. Consciente e orientado, sem déficits motores. Ritmo cardíaco regular 2 tempos sem sopros. Murmúrio vesicular presente com estertores crepitantes bibasais. Extremidades frias, tempo de enchimento capilar de 5 s.
Realizou o eletrocardiograma a seguir:
(Arquivo pessoal; arquivo usado com autorização)
Qual a conduta correta em relação à reperfusão nesse paciente?
Provas
Questão presente nas seguintes provas
Leia o caso clínico a seguir para responder à questão:
Paciente do sexo masculino, 64 anos, portador de hipertensão arterial, obesidade grau 2, diabetes mellitus tipo 2, com história de dor torácica retroesternal opressiva iniciada há 90 minutos, irradiando para braço esquerdo e mandíbula, associada a náuseas, vômitos e sudorese intensa. Foi levado ao pronto-socorro pelo SAMU. Na chegada, encontra-se ansioso, dispneico e sudorese fria. Ao exame físico: PA: 86 × 58 mmHg FC: 112 bpm. Consciente e orientado, sem déficits motores. Ritmo cardíaco regular 2 tempos sem sopros. Murmúrio vesicular presente com estertores crepitantes bibasais. Extremidades frias, tempo de enchimento capilar de 5 s.
Realizou o eletrocardiograma a seguir:
(Arquivo pessoal; arquivo usado com autorização)
Qual a conduta correta em relação à antiagregação plaquetária nesse paciente?
Paciente do sexo masculino, 64 anos, portador de hipertensão arterial, obesidade grau 2, diabetes mellitus tipo 2, com história de dor torácica retroesternal opressiva iniciada há 90 minutos, irradiando para braço esquerdo e mandíbula, associada a náuseas, vômitos e sudorese intensa. Foi levado ao pronto-socorro pelo SAMU. Na chegada, encontra-se ansioso, dispneico e sudorese fria. Ao exame físico: PA: 86 × 58 mmHg FC: 112 bpm. Consciente e orientado, sem déficits motores. Ritmo cardíaco regular 2 tempos sem sopros. Murmúrio vesicular presente com estertores crepitantes bibasais. Extremidades frias, tempo de enchimento capilar de 5 s.
Realizou o eletrocardiograma a seguir:
(Arquivo pessoal; arquivo usado com autorização)
Qual a conduta correta em relação à antiagregação plaquetária nesse paciente?
Provas
Questão presente nas seguintes provas
Cadernos
Caderno Container