Magna Concursos

Foram encontradas 300 questões.

3988777 Ano: 2025
Disciplina: Medicina
Banca: VUNESP
Orgão: FAMEMA
Paciente do sexo feminino, de 27 anos, apresenta-se ao pronto atendimento com história de cefaleia súbita (thunderclap) há 4 horas associada a rigidez de nuca e mal-estar geral. Realizou uma tomografia de crânio sem contraste com 4,5 horas do início dos sintomas que não apresentaram alterações.

A indicação da investigação diagnóstica correta seria:
 

Provas

Questão presente nas seguintes provas
3988776 Ano: 2025
Disciplina: Medicina
Banca: VUNESP
Orgão: FAMEMA
Paciente procura a UBS com resultados dos exames a seguir:

HBsAg positivo, anti-HBc total positivo, IgM negativa
HBeAg negativo, anti-HBe positivo
HBV-DNA 18.000 UI/mL

Diante do quadro, a orientação adequada seria informar ao paciente que se trata de
 

Provas

Questão presente nas seguintes provas
3988775 Ano: 2025
Disciplina: Medicina
Banca: VUNESP
Orgão: FAMEMA
Sobre distúrbios eletrolíticos, assinale a correta.
 

Provas

Questão presente nas seguintes provas
3988774 Ano: 2025
Disciplina: Medicina
Banca: VUNESP
Orgão: FAMEMA
Paciente com síndrome do desconforto respiratório agudo (SDRA) moderada está em ventilação mecânica. Qual estratégia ventilatória é indicada?
 

Provas

Questão presente nas seguintes provas
3988773 Ano: 2025
Disciplina: Medicina
Banca: VUNESP
Orgão: FAMEMA
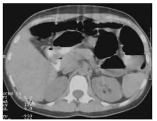
Paciente de 64 anos, portadora de diabetes mellitus tipo 2, hipertensão arterial, hiperuricemia e hipertrigliceridemia, é submetida a colectomia segmentar por neoplasia de cólon há 5 dias. Evolui com febre persistente, dor abdominal progressiva e inapetência na enfermaria. Nas últimas 12 horas, apresentou vômitos biliosos e rebaixamento do nível de consciência sendo transferida para unidade de terapia intensiva.

Ao exame físico: PA: 78 x 50 mmHg; FC: 124 bpm; FR: 28 irpm; SatO₂: 94% O₂ nasal; temperatura: 38,9 °C; pele fria; tempo de enchimento capilar 5 s; Glasgow: 13; abdome: distendido, doloroso difusamente, sinais de defesa involuntária e descompressão brusca dolorosa. Exames laboratoriais iniciais: lactato: 5,2 mmol/L; leucócitos: 24.000/mm³; plaquetas: 88.000/mm³; creatinina: 2,3 mg/dL (VR <1,2); bilirrubina total: 2,1 mg/dL.

Realizou a tomografia de abdome sem contraste a seguir: 

Enunciado 4925927-1
(Arquivo pessoal; imagem usada com autorização)

Qual é a medida fundamental, associada à antibioticoterapia e ao suporte hemodinâmico, para o manejo desse caso?
 

Provas

Questão presente nas seguintes provas
3988772 Ano: 2025
Disciplina: Medicina
Banca: VUNESP
Orgão: FAMEMA
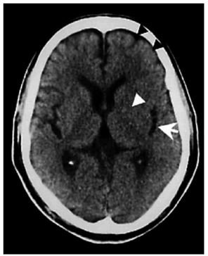
Paciente do sexo feminino, de 71 anos, portadora de hipertensão arterial e dislipidemia, em uso irregular das medicações, apresenta início súbito de hemiplegia direita e afasia há 170 min. Chega ao pronto atendimento apresentando no exame físico: PA: 190 x 100 mmHg; FC: 92 bpm; FR: 20 irpm; SatO₂: 95%; NIHSS: 14 pontos. Encaminhada para tomografia de crânio, que apresentou a imagem a seguir:

Enunciado 4925926-1
(Arquivo pessoal; imagem usada com autorização)

Qual é a conduta imediata?
 

Provas

Questão presente nas seguintes provas
3988771 Ano: 2025
Disciplina: Medicina
Banca: VUNESP
Orgão: FAMEMA
Sobre os diferentes tipos de choque, assinale a alternativa correta.
 

Provas

Questão presente nas seguintes provas
3988770 Ano: 2025
Disciplina: Medicina
Banca: VUNESP
Orgão: FAMEMA
Leia o caso clínico a seguir para responder à questão:
Paciente jovem de 22 anos, portador de diabetes mellitus tipo 1 há 6 anos, chega ao pronto-socorro com história de náuseas, vômitos e dor abdominal difusa há 12 horas. Refere poliúria nos últimos dias. Ao exame físico: PA: 94 x 60 mmHg; FC: 118 bpm; FR: 32 irpm (respiração de Kussmaul); temperatura axilar: 37,5 °C; com mucosas secas, pulsos periféricos filiformes.
Apresenta nos exames complementares iniciais: glicemia: 468 mg/dL; gasometria arterial com pH: 7,12 e HCO₃⁻: 9 mEq/L; sódio: 135 mEq/L; potássio: 3,1 mEq/L e cetonemia: positiva.
Diante desse diagnóstico, qual deve ser a prioridade terapêutica ?
 

Provas

Questão presente nas seguintes provas
3988769 Ano: 2025
Disciplina: Medicina
Banca: VUNESP
Orgão: FAMEMA
Leia o caso clínico a seguir para responder à questão:
Paciente jovem de 22 anos, portador de diabetes mellitus tipo 1 há 6 anos, chega ao pronto-socorro com história de náuseas, vômitos e dor abdominal difusa há 12 horas. Refere poliúria nos últimos dias. Ao exame físico: PA: 94 x 60 mmHg; FC: 118 bpm; FR: 32 irpm (respiração de Kussmaul); temperatura axilar: 37,5 °C; com mucosas secas, pulsos periféricos filiformes.
Apresenta nos exames complementares iniciais: glicemia: 468 mg/dL; gasometria arterial com pH: 7,12 e HCO₃⁻: 9 mEq/L; sódio: 135 mEq/L; potássio: 3,1 mEq/L e cetonemia: positiva.
Qual é o diagnóstico associado a esse quadro?
 

Provas

Questão presente nas seguintes provas
3988768 Ano: 2025
Disciplina: Medicina
Banca: VUNESP
Orgão: FAMEMA
Paciente do sexo masculino, de 58 anos, tabagista, portador de hipertensão arterial sistêmica, apresenta-se ao pronto atendimento com história de dor torácica opressiva irradiando para braço esquerdo e mandíbula iniciada há 130 minutos, associada a sudorese fria e náuseas. Apresenta como sinais vitais iniciais: PA: 98 x 64 mmHg, FC: 92 bpm, SatO₂: 95% AA. Realizou o eletrocardiograma a seguir:

Enunciado 4925922-1
(Arquivo pessoal; imagem usada com autorização)

Qual é a abordagem terapêutica para esse paciente?
 

Provas

Questão presente nas seguintes provas