Magna Concursos

Foram encontradas 300 questões.

3988797 Ano: 2025
Disciplina: Medicina
Banca: VUNESP
Orgão: FAMEMA
Mulher de 32 anos, previamente hígida, procura o pronto- -atendimento por dor discreta em hipocôndrio direito há dois meses. Nega icterícia, febre ou perda de peso. Relata uso contínuo de anticoncepcionais orais há 12 anos. Ao exame físico, não há sinais de hepatomegalia nem estigmas de hepatopatia crônica. Ultrassonografia de abdome mostra uma lesão sólida, bem delimitada, de 5,0 cm no lobo direito hepático. A ressonância magnética evidencia lesão hipervascular, sem cicatriz central, e com áreas de hemorragia intralesional. Sorologias para hepatites B e C são negativas, e o alfafetoproteína (AFP) está dentro dos valores de referência.

Com base nesse caso clínico e nos conhecimentos sobre as neoplasias hepáticas, assinale a alternativa correta.
 

Provas

Questão presente nas seguintes provas
3988796 Ano: 2025
Disciplina: Medicina
Banca: VUNESP
Orgão: FAMEMA
Homem de 48 anos procura o pronto-atendimento com história de dor anal intensa, sangramento vivo durante as evacuações e exteriorização de massas anais há cerca de 2 anos, com piora progressiva nos últimos meses. Refere que as massas não mais reduzem espontaneamente, sendo necessário empurrá-las manualmente após evacuar. Ao exame físico, observam-se três mamilos hemorroidários volumosos, congestos e parcialmente trombosados, localizados nos pontos clássicos (3, 7 e 11 horas), além de componente externo importante e prolapso mucoso irreversível. Após estabilização clínica e exclusão de outras causas de sangramento, indica-se tratamento cirúrgico definitivo.

A equipe opta pela técnica de Milligan–Morgan, que consiste em
 

Provas

Questão presente nas seguintes provas
3988795 Ano: 2025
Disciplina: Medicina
Banca: VUNESP
Orgão: FAMEMA
Mulher, 42 anos, queixa-se de fadiga progressiva com diplopia ao final do dia há 6 meses. Exame neurológico sugere fraqueza fatigável; sorologia para anticorpo anti- -receptor de acetilcolina é positiva. Radiografia de tórax mostra alargamento do mediastino anterior. A tomografia computadorizada de tórax com contraste mostra uma massa encapsulada no mediastino anterior, sem invasão evidente de estruturas adjacentes (imagem demonstrada a seguir). Não há adenomegalias mediastinais perceptíveis.

Enunciado 4925949-1
(Townsend Jr., C. M.; Beauchamp, R.D.; B. Evers, M. and Mattox, K.L. Sabiston - Tratado de Cirurgia. 20a Edição, Ed. Elsevier, 2019, pg. 2506)

Qual a conduta mais adequada para esse caso?
 

Provas

Questão presente nas seguintes provas
3988794 Ano: 2025
Disciplina: Medicina
Banca: VUNESP
Orgão: FAMEMA
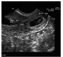
Mulher de 26 anos dá entrada na emergência referindo dor abdominal súbita de forte intensidade há 40 minutos, acompanhada de sudorese, palidez cutaneomucosa, tontura e mal estar geral. Refere atraso menstrual há cerca de 8 semanas. Sinais vitais: PA: 90/55 mmHg; FC: 132 bpm; FR: 26 mrpm. Exame físico: dor à palpação abdominal difusamente, DB +, toque vaginal com abaulamento dos fundos de saco. Sinal de Proust positivo. Solicitado ultrassom (imagem demonstrada a seguir).
Enunciado 4925948-1
(Tissiani, J.; Martins, W . P. et al. Experts in Ultrasound Reviews and Perspectives 1(2):100-106 DOI:10.4281/eurp.2009.02.07)

A conduta a ser realizada com a paciente deverá ser:
 

Provas

Questão presente nas seguintes provas
3988793 Ano: 2025
Disciplina: Medicina
Banca: VUNESP
Orgão: FAMEMA
Será realizada uma segmentectomia hepática em um paciente com hepatocarcinoma localizado. O cirurgião principal é canhoto, e sua equipe deve preparar a mesa de instrumentação cirúrgica de forma ergonômica e segura para o procedimento. O instrumentador, destro e acostumado com cirurgiões destros, organiza o material como de rotina.

Das medidas indicadas a seguir, aquela que representa a adequação correta da montagem da mesa para o cirurgião canhoto, nesse tipo de cirurgia, é:
 

Provas

Questão presente nas seguintes provas
3988792 Ano: 2025
Disciplina: Medicina
Banca: VUNESP
Orgão: FAMEMA
Durante uma hernioplastia incisional com conteúdo intestinal no saco herniário, a cirurgiã principal, chefe da equipe, solicita um instrumento para apreensão delicada de tecido intestinal, sem causar trauma nem perfuração. A instrumentadora, aluna do internato, oferece uma pinça de Kocher, mas a cirurgiã recusa.

Qual das seguintes pinças é a mais apropriada para atender a solicitação da cirurgiã?
 

Provas

Questão presente nas seguintes provas
3988791 Ano: 2025
Disciplina: Medicina
Banca: VUNESP
Orgão: FAMEMA
O projeto Acerto é um programa multimodal de cuidados perioperatórios, pioneiro no território nacional. Cuidados tradicionais são modificados nesse projeto, com base na evidência de estudos randomizados e meta-análises.

Os 5 principais elementos desse projeto são:
 

Provas

Questão presente nas seguintes provas
3988790 Ano: 2025
Disciplina: Medicina
Banca: VUNESP
Orgão: FAMEMA
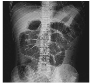
Homem de 39 anos procurou o serviço médico em duas ocasiões na mesma semana por parada de eliminação de gases e fezes, distensão abdominal importante, náuseas e vômitos biliosos há 4 dias. No segundo atendimento, refere piora da dor nas últimas 12 horas. Ao exame físico, observa-se cicatriz mediana ampla (cirurgia prévia por trauma abdominal). No primeiro atendimento, os ruídos hidroaéreos estavam aumentados, mas agora se encontram diminuídos. A radiografia de abdome em posição supina mostra dilatação importante de alças de intestino delgado e ausência de gás nas porções distais do cólon e reto (imagem demonstrada a seguir).

Enunciado 4925944-1
( https://www.shutterstock.com/pt/g/Tomatheart)

Esse quadro aponta para o seguinte diagnóstico:
 

Provas

Questão presente nas seguintes provas
3988789 Ano: 2025
Disciplina: Medicina
Banca: VUNESP
Orgão: FAMEMA
Homem, 42 anos, procura pronto-atendimento por dor abdominal súbita há 30 minutos, inicialmente epigástrica e depois difusa, muito intensa, associada a náuseas. Refere uso frequente de AINEs. Ao exame: FC 124 bpm, PA 112/73 mmHg, Temp. 37,6°C, abdome em tábua, sem ruídos hidroaéreos, sinal de Jobert presente e descompressão brusca positiva.

A principal hipótese diagnóstica desse paciente é
 

Provas

Questão presente nas seguintes provas
3988788 Ano: 2025
Disciplina: Medicina
Banca: VUNESP
Orgão: FAMEMA
Homem, 45 anos, é admitido na sala de emergência, vítima de briga com trauma facial grave: múltiplas fraturas mandibulares, hematoma facial volumoso, sangramento profuso pela boca e obstrução parcial das vias aéreas superiores. Sat. O2 : 82% com máscara. Foram realizadas duas tentativas de intubação orotraqueal sem sucesso por visualização impossibilitada (edema e sangue); ventilação com máscara é ineficaz.

A conduta mais apropriada para garantir via aérea definitiva é
 

Provas

Questão presente nas seguintes provas