Foram encontradas 900 questões.
Um paciente procurou atendimento médico em razão de desconforto em parte do quarto e no quinto quirodáctilo, associado à fraqueza e dor na altura do cotovelo. Relatou ainda episódios intermitentes de incoordenação e câimbras principalmente no inverno. Previamente hígido. Ao exame físico, observaram-se AC = RR2T com BNF, FC = 60 bpm, AP = MVF sem RA, FR = 14 irpm, PA = 110 mmHg x 64 mmHg e SatO2 = 100% em ar ambiente. Sensibilidade diminuída e leve atrofia do interósseo e sinal de Froment presente.
Com base nesse caso clínico e nos conhecimentos médicos correlatos, julgue os itens a seguir.
Os achados sugerem uma compressão do nervo ulnar no nível do cotovelo.
Provas
Um paciente de 18 anos de idade está apresentando quadro de hipoacusia, presença de angioqueratomas na pele e alteração de função renal com clearance de creatinina de 60 mL/min/1,73 m2. Foi realizada pesquisa de atividade da enzima alfagalactosidase A (alfa- GAL), com deficiência parcial, e a ultrassonografia renal mostrou presença de cisto em rim direito.
Tendo em vista esse caso clínico e os conhecimentos médicos correlatos, julgue os itens a seguir.
Na biópsia renal, a presença de corpos de inclusão zebroides, encontrados na microscopia eletrônica, confirma o diagnóstico.
Provas
Um paciente de 18 anos de idade está apresentando quadro de hipoacusia, presença de angioqueratomas na pele e alteração de função renal com clearance de creatinina de 60 mL/min/1,73 m2. Foi realizada pesquisa de atividade da enzima alfagalactosidase A (alfa- GAL), com deficiência parcial, e a ultrassonografia renal mostrou presença de cisto em rim direito.
Tendo em vista esse caso clínico e os conhecimentos médicos correlatos, julgue os itens a seguir.
A terapia de reposição da enzima alfagalactosidase deve ser iniciada e mantida por toda a vida.
Provas
Um paciente de 18 anos de idade está apresentando quadro de hipoacusia, presença de angioqueratomas na pele e alteração de função renal com clearance de creatinina de 60 mL/min/1,73 m2. Foi realizada pesquisa de atividade da enzima alfagalactosidase A (alfa- GAL), com deficiência parcial, e a ultrassonografia renal mostrou presença de cisto em rim direito.
Tendo em vista esse caso clínico e os conhecimentos médicos correlatos, julgue os itens a seguir.
Por ser uma herança genética ligada ao cromossomo X, familiares tanto do sexo feminino quanto do masculino devem ser rastreados.
Provas
Um paciente de 18 anos de idade está apresentando quadro de hipoacusia, presença de angioqueratomas na pele e alteração de função renal com clearance de creatinina de 60 mL/min/1,73 m2. Foi realizada pesquisa de atividade da enzima alfagalactosidase A (alfa- GAL), com deficiência parcial, e a ultrassonografia renal mostrou presença de cisto em rim direito.
Tendo em vista esse caso clínico e os conhecimentos médicos correlatos, julgue os itens a seguir.
Trata-se de doença renal policística hereditária.
Provas
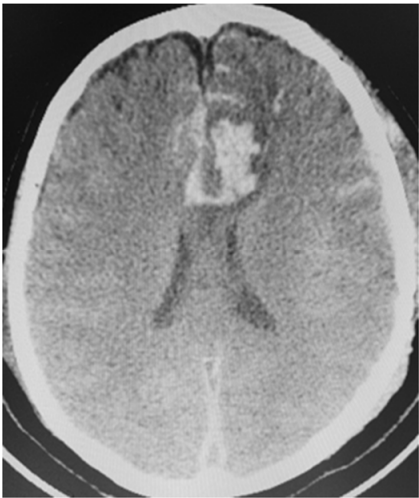
Uma paciente de 66 anos de idade, tabagista, hipertensa com tratamento irregular. Apresentou cefaleia súbita de severa intensidade associada a náuseas. Ao exame físico, observaramse AC = RR2T com BNF, FC = 100 bpm, AP = MVF sem RA, FR = 15 irpm, PA = 182 mmHg x 100 mmHg, SatO2 em ar ambiente = 97%, Glasgow 15, pupilas isofotorreagentes, sem deficits focais. TC crânio e arteriografia a seguir.



Fonte: Acervo pessoal.
Acerca desse caso clínico e com base nos conhecimentos médicos correlatos, julgue os itens a seguir.
O risco de ruptura transoperatória do aneurisma roto da paciente é maior em uma cirurgia tardia quando comparado com a cirurgia precoce.
Provas
Um paciente de 63 anos de idade, hipertenso, procurou o nefrologista por causa de edema bipalpebral, associado a ganho ponderal de 10 kg em três meses. Exame físico e avaliação laboratorial confirmaram tratar-se de uma síndrome nefrótica.
Com base nesse caso clínico e nos conhecimentos médicos correlatos, julgue os itens a seguir.
Elevação da pressão arterial, edema de membros inferiores e hematúria foram critérios utilizados para definição diagnóstica.
Provas
Um paciente de 63 anos de idade, hipertenso, procurou o nefrologista por causa de edema bipalpebral, associado a ganho ponderal de 10 kg em três meses. Exame físico e avaliação laboratorial confirmaram tratar-se de uma síndrome nefrótica.
Com base nesse caso clínico e nos conhecimentos médicos correlatos, julgue os itens a seguir.
O uso de aspirina pode ser indicado se houver albumina sérica menor que 2.0 g/dL e alto risco de sangramento.
Provas
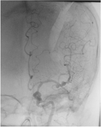
Uma paciente de 66 anos de idade, tabagista, hipertensa com tratamento irregular. Apresentou cefaleia súbita de severa intensidade associada a náuseas. Ao exame físico, observaramse AC = RR2T com BNF, FC = 100 bpm, AP = MVF sem RA, FR = 15 irpm, PA = 182 mmHg x 100 mmHg, SatO2 em ar ambiente = 97%, Glasgow 15, pupilas isofotorreagentes, sem deficits focais. TC crânio e arteriografia a seguir.



Fonte: Acervo pessoal.
Acerca desse caso clínico e com base nos conhecimentos médicos correlatos, julgue os itens a seguir.
Apenas um dos aneurismas evidenciados na angiografia pode ser acessado pelo acesso pterional.
Provas
Um paciente de 63 anos de idade, hipertenso, procurou o nefrologista por causa de edema bipalpebral, associado a ganho ponderal de 10 kg em três meses. Exame físico e avaliação laboratorial confirmaram tratar-se de uma síndrome nefrótica.
Com base nesse caso clínico e nos conhecimentos médicos correlatos, julgue os itens a seguir.
Alta dose de corticoide por pelo menos oito semanas é o tratamento inicial de escolha.
Provas
Caderno Container