Foram encontradas 671 questões.
A NIPS (Escala de Avaliação de Dor no RN e no Lactente) é composta por cinco parâmetros comportamentais e um indicador fisiológico, avaliados antes, durante e após procedimentos invasivos agudos em RN a termo e pré-termo. São parâmetros da Escala NIPS:
Provas
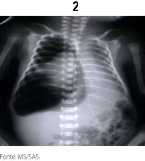
A radiografia de tórax é o exame de eleição para o diagnóstico das várias formas de SEAr. É fundamental, também, para a determinação do tamanho e da extensão da coleção de ar e da coexistência de outras entidades que possam facilitar ou perpetuar o escape de ar, além de permitir o acompanhamento evolutivo e avaliar a eficácia da terapêutica adotada. Na grande maioria dos casos o aspecto radiológico é típico, sendo possível definir o diagnóstico com relativa facilidade. Analise as imagens radiológicas com sinais patognomônico e assinale a alternativa da doença associada



Provas
“O diagnóstico laboratorial da infecção pelo HIV envolve métodos para a pesquisa do vírus ou de partículas virais. Dentre esses métodos, pode-se citar que o PCR e outros métodos semelhantes, como bDNA e NASBA, têm sido utilizados para a quantificação de vírus circulante, caracterizando-se como marcador importante da progressão da infecção e para o controle da eficácia de medicação anti-retroviral."

De acordo com o gráfico acima pode-se afirmar:
Provas
Caso um RN não seja aprovado no exame de triagem auditiva neonatal, qual deve ser a conduta imediata desse bebê?
Provas
“Os marcadores sorológicos circulantes podem ser detectados no soro, plasma ou sangue de pacientes infectados por meio de imunoensaios que apresentam, em média, especificidade acima de 99% e sensibilidade acima de 98%. Os exames específicos para o diagnóstico do tipo de infecção para hepatite B são os sorológicos. ”
Disponível em: cevs.rs.gov.br › 04162030-manual-diagnostico-das-hepatites-virais-ms-2015.
Assinale a alternativa em que o marcador sorológico para hepatite B está de acordo com seu significado:
Provas
"O diagnóstico da hanseníase se baseia em manifestações clínicas e não existe teste laboratorial para diagnosticar casos assintomáticos ou para prever progressão da doença entre indivíduos expostos. Novas análises genômicas comparativas in silico e ferramentas de biologia molecular têm sido empregadas para revelar proteínas exclusivas do Mycobacterium leprae que apresentem potencial aplicação diagnóstica. ”
Disponível em: http://www.scielo.br/pdf/rsbmt/v41s2/v41s2a18.pdf.
O diagnóstico de caso de hanseníase é essencialmente clínico e epidemiológico, porém para identificar comprometimento cutâneo ou neural discreto e para diagnóstico diferencial com outras neuropatias periféricas é necessário exame laboratorial chamado:
Provas
Qual ação mais eficaz para redução do número de RN com baixo peso ao nascer:
Provas
A Manobra de Ortolani positiva é patognomônica de:
Provas
São meios através dos quais se impede a reprodução de microorganismos por determinado período de tempo, refere-se exclusivamente a tecido vivo (SENAC, 2014).
Provas
Segundo a nota técnica nº 01/2018 da Anvisa, a higienização das mãos é considerada como uma das principais estratégias para a prevenção das infecções relacionadas à assistência à saúde (IRAS). Em quais momentos deve ocorrer a higienização das mãos?
Provas
Caderno Container