Foram encontradas 500 questões.
São vantagens da cirurgia otológica endoscópica, EXCETO:
Provas
Questão presente nas seguintes provas
Acerca do zumbido, assinale a alternativa correta.
Provas
Questão presente nas seguintes provas
Homem, 50 anos, com quadro de perda auditiva neurossensorial à direita de grau
leve, é submetido a estudo de ressonância magnética sem contraste, onde foram observadas as
seguintes imagens:
Sobre o caso, assinale a alternativa correta.
Sobre o caso, assinale a alternativa correta.
Provas
Questão presente nas seguintes provas
Em relação aos AASIs, é INCORRETO afirmar que:
Provas
Questão presente nas seguintes provas
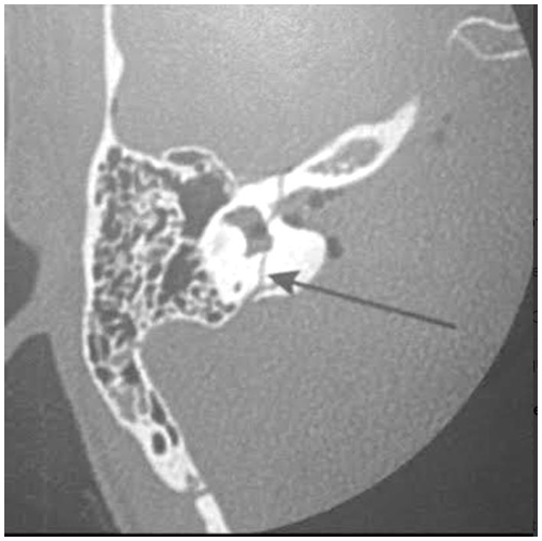
Analise o seguinte corte de tomografia computadorizada de mastoide e assinale a alternativa correta.

Provas
Questão presente nas seguintes provas
A otite média crônica colesteatomatosa, caso não seja tratada em tempo hábil, pode
evoluir com complicações graves relacionadas às estruturas adjacentes à doença, como a paralisia
facial periférica. Nesse caso, é correto afirmar que:
Provas
Questão presente nas seguintes provas
Qual dos genes abaixo pode apresentar mutações relacionadas especificamente à
síndrome de Pendred?
Provas
Questão presente nas seguintes provas
A Triagem Auditiva Neonatal (TAN) tem por finalidade a identificação, o mais
precocemente possível, da deficiência auditiva nos neonatos e lactentes. São indicadores de risco para
perda auditiva na TAN, EXCETO:
Provas
Questão presente nas seguintes provas
Paciente do sexo masculino, 2 anos, é encaminhado ao serviço de Otorrinolaringologia
devido a atraso de fala e linguagem. Considerando a seguinte sequência de tomografia contrastada,
é correto afirmar que:


Provas
Questão presente nas seguintes provas
A presbiacusia é a causa mais comum de surdez progressiva e uma das mais
frequentes formas de hipoacusia presentes na população. Acerca da classificação da etiopatogenia
descrita por Schuknecht, é INCORRETO afirmar que:
Provas
Questão presente nas seguintes provas
Cadernos
Caderno Container