Foram encontradas 590 questões.
Alteração do hemograma característica da anemia perniciosa:
Provas
Os exames bioquímicos amplamente utilizados na prática clínica são fundamentais para o diagnóstico de condições específicas. Preencha corretamente as lacunas com os nomes dos marcadores associados às descrições:
_____ 1: Este marcador é encontrado principalmente no tecido miocárdico e é utilizado para auxiliar no diagnóstico de infarto agudo do miocárdio, apresentando elevação nas primeiras 4 a 6 horas após o evento isquêmico e retornando aos níveis basais em 48 a 72 horas.
______ 2: Este marcador é altamente específico para inflamação ou lesão do pâncreas, sendo frequentemente utilizado no diagnóstico de pancreatite aguda, com elevação sérica significativa nas primeiras 24 a 48 horas após o início dos sintomas.
As lacunas são corretamente preenchidas, respectivamente, por:
Provas
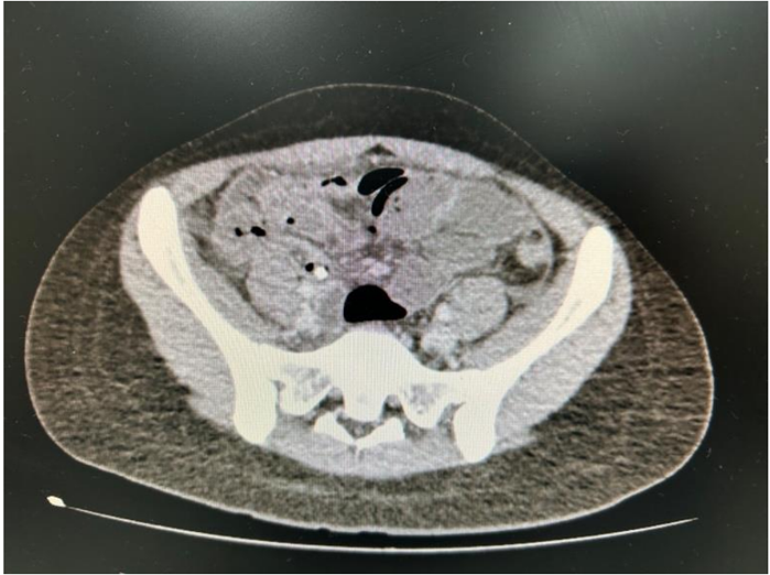
Paciente feminina, 18 anos, procurou atendimento em UPA com queixa de dor abdominal em baixo ventre há 2 dias e recebeu antibioticoterapia com ciprofloxacina para infecção do trato urinário. Sem melhora dos sintomas após 3 dias de tratamento, procurou um hospital de referência apresentando piora da dor abdominal, além de náuseas e vômitos. Ao exame físico, a paciente estava descorada (1+/4+), desidratada (2+/4+), afebril ao toque, com abdome tenso e doloroso à palpação em flanco e fossa ilíaca direita, com sinal de Giordano negativo.
Exames laboratoriais: Hemoglobina: 12,6 g/dL, Leucócitos: 16.260/mm³, Plaquetas: 260.000/mm³, Creatinina: 1,01 mg/dL, Ureia: 21,8 mg/dL, INR: 1,15, PCR: 23,9 mg/L (VR<1,0).
Realizou tomografia computadorizada de abdome com contraste venoso para investigação que apresentou o seguinte achado.

Dentre os diagnósticos diferenciais para esse caso, qual dos seguintes é o mais provável?
Provas
Na avaliação do hemograma de um paciente com suspeita de anemia ferropriva, qual das seguintes alterações laboratoriais é mais característica desta condição?
Provas
Paciente feminina, 52 anos, apresenta fadiga progressiva, ganho ponderal de 4kg em 6 meses e irregularidade menstrual. Exames iniciais mostram TSH 8,2 mUI/L (VR: 0,4-4,0), T4 livre 0,9 ng/dL (VR: 0,8-1,8), anti-TPO 380 UI/mL (VR: <35), anti-TG negativo. Repetição após 8 semanas evidencia TSH 9,1 mUI/L e T4 livre 0,85 ng/dL. Na interpretação laboratorial do hipotireoidismo subclínico e definição terapêutica baseada em biomarcadores, selecione a afirmativa correta:
Provas
Qual dos seguintes mecanismos de ação da dipirona endovenosa é mais relevante para sua eficácia na redução da febre?
Provas
É o mecanismo de ação primário da glimepirida no tratamento do diabetes tipo 2:
Provas
Paciente feminina, 28 anos, no 4º dia de dengue confirmada por NS1, evolui com dor abdominal intensa, vômitos persistentes, hipotensão postural (queda de 28mmHg) e plaquetas 38.000/mm³. Apresenta prova do laço positiva, hematócrito 44% (basal 36%), leucócitos 2.800/mm³, tempo de tromboplastina parcial prolongado 1,8 vezes e albumina 2,8g/dL. Ultrassom evidencia ascite e derrame pleural bilateral. Na classificação do extravasamento plasmático e definição da hidratação parenteral baseada em parâmetros hemodinâmicos, selecione a afirmativa correta:
Provas
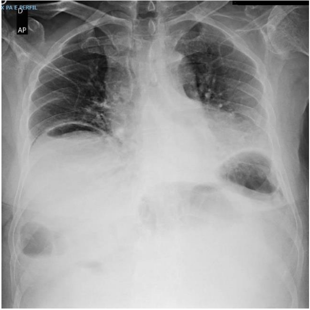
Paciente masculino, 68 anos, chega ao pronto-socorro com dor abdominal epigástrica intensa e súbita, associada a distensão abdominal há 1 dia. Relata um episódio de vômito, mas nega sangramentos, febre ou perda ponderal. Relata histórico de AVC hemorrágico há 10 anos e hipertensão, em uso de losartana. Ao exame físico apresentava abdome distendido, doloroso difusamente, DB positivo.
Exames laboratoriais: Hemoglobina: 10,7 g/dL, Leucócitos: 8.880/mm³, Plaquetas: 197.000/mm³, Creatinina: 1,9 mg/dL, Ureia: 64 mg/dL, Sódio: 134 mEq/L, Potássio: 3,7 mEq/L, TGO: 28 U/L, TGP: 29 U/L, Amilase: 96 U/L, PCR: 13,4 mg/L (VR<1,0), Magnésio: 1,7 mg/dL.
Realizou RX de abdome agudo com a imagem abaixo:

Qual deve ser a conduta imediata?
Provas
Paciente feminino de 72 anos com queixa de perda ponderal de 7% do seu peso em 2 meses sem mudança do padrão alimentar, dor abdominal, adinamia, deu entrada no pronto atendimento com quadro obstrutivo agudo e foi diagnosticada com tumor de sigmóide. Foi submetida a retossigmoidectomia na urgência com anastomose primária e durante pós operatório evoluiu com quadro de íleo mais prolongado. Considerando a doença de base, o porte da cirurgia e o quadro atual, assinale a alternativa incorreta:
Provas
Caderno Container