Foram encontradas 40 questões.
A indicação de colectomia eletiva após diverticulite está mais indicada em pacientes
Provas
Um paciente de 68 anos de idade, em pré-operatório para uma colecistectomia eletiva por vídeo e portador de diversas morbidades, faz uso de várias medicações: atenolol; bromoprida; pantoprazol; levotiroxina; AAS infantil; clopidogrel; warfarina; clonazepam; e semaglutida. A cirurgia será eletiva e ele está compensado dessas doenças.
Com base nesse caso hipotético, assinale a alternativa que apresenta o número de medicações que deverão ser suspensas no pré-operatório.
Provas
O mecanismo que mais frequentemente causa lesão do ramo femoral do nervo genitofemoral durante a correção de hérnias inguinais por vídeo é o(a)
Provas
Acerca da cirurgia dos pacientes octagenários, assinale a alternativa correta.
Provas

A imagem acima mostra parte de um exame com contraste arterial do abdômen superior. Com relação a ela, assinale a alternativa correta.
Provas
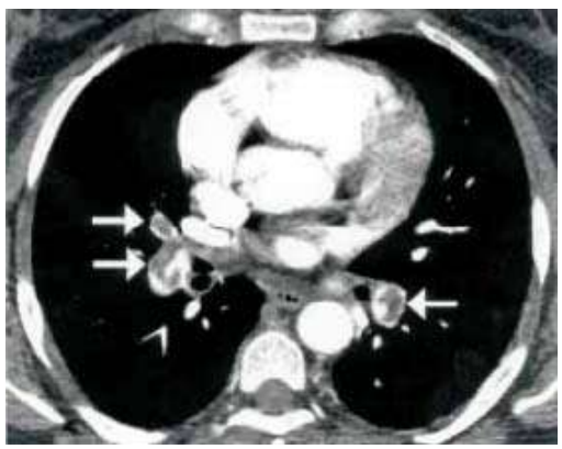
......Uma paciente de 45 anos de idade, que nega comorbidades, exceto obesidade, relata ter realizado cirurgia ortopédica, há dois meses, por uma queda da própria altura. Apresenta quadro de dispneia súbita, iniciada há cerca de 4 h. Ao exame, PA de 120 x 80 mmHg, FC de 102 bpm, FR de 24 irpm e sat. de o2 de 96% em ar ambiente. Nos exames admissionais, troponina 0,003 (VR 0,004), Ur 0,6, Cr 1, Hb 12,5, leucócitos 8.000 e plaquetas 180.000. Ecocardiograma transtorácico: fração de ejeção de 65% em átrio esquerdo 32; função sistólica do ventrículo esquerdo e do ventrículo direito preservadas; TAPSE 25; e PSAP 28. Realizou uma angiotomografia, que identificou a imagem seguinte.

J Bras Pneumol 2004; 30(5) 474-9
Com base nesse caso hipotético, assinale a alternativa que apresenta a conduta mais adequada.
Provas
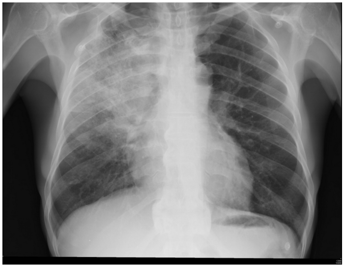
.......Um paciente de setenta anos de idade, com queda do estado geral e inapetência há cerca de três dias, previamente hipertenso e diabético, apresenta-se sonolento e pouco responsivo, com PA de 100 x 60 mmHg, TEC de 4 segundos e FC de 126 bpm. Seus familiares contam que ele tem quadro de tosse produtiva há cerca de uma semana. Exames disponíveis: Hb 14; leucócitos 10.000; plaquetas 200.000; Ur 40; e Cr 1,2. O RX do paciente é mostrado abaixo.

Internet: <https://www.todoestudo.com.br/wp-content/uploads/2018/02/pneumonia.jpg>.
Com base nesse caso hipotético, assinale a alternativa que apresenta a conduta mais adequada.
Provas
Uma idosa de 68 anos de idade faz uso de olanzapina (20 mg/dia) há, aproximadamente, oito meses. Há três semanas, vem apresentando sintomas coreoatetoides involuntários do rosto e dos braços, não rítmicos.
Com base nesse caso hipotético, assinale a alternativa que apresenta o provável diagnóstico.
Provas
Um paciente de 34 anos de idade procurou atendimento por quadro de astenia há cerca de dois meses. Ao exame físico: paciente descorado ++/4; anictérico; hidratado; e com fígado palpável (três polpas digitais abaixo do rebordo costal). Traube ocupado. Aos exames, Hb 8,5, leucócitos 3.300, plaquetas 80.000, VCM 100, HCM 34, RDW 15, DHL 725, bilirrubinas totais 2, TGO 20, TGP 18, B12 225 (VR 175) e ácido fólico 7 (VR 4).
Com base nesse caso hipotético, assinale a alternativa que apresenta a conduta mais adequada.
Provas
Um paciente de cinquenta anos de idade, obeso, com infarto agudo do miocárdio prévio e fundoplicatura prévia por doença do refluxo grave, procurou atendimento médico para consulta de rotina. Apresenta os exames solicitados por seu cardiologista: Hb 14; leucócitos 8.000; plaquetas 200.000; HbA1C 8.5%; glicose em jejum 140; LDL 70; Cr 1,4; Ur 40; Na+ 140; e K+ 4. Urina 1: pH 6; proteínas ++/4; glicose +/4; leucócitos 8.000 (VR < 10.000); e hemácias 3.000 (VR < 10.000). Utiliza as seguintes medicações: carvedilol 12,5 mg (12/12h); enalapril 10 mg (12/12h); AAS 100 mg; atorvastatina 40 mg; e espironolactona 25 mg.
Com base nesse caso hipotético, assinale a alternativa que apresenta a conduta mais apropriada para o paciente.
Provas
Caderno Container