Foram encontradas 40 questões.
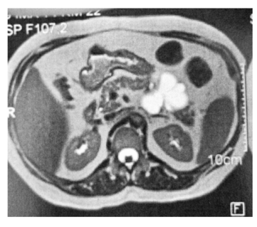
Uma mulher de 62 anos de idade, com dor epigástrica de leve intensidade há seis meses, não teve melhora significativa com o uso de sintomático, porém também não teve agravamento dos sintomas. Nega emagrecimento e não tem outras queixas significativas. Histórico familiar negativo para câncer. Nega tabagismo ou álcool. Fez endoscopia digestiva normal. Exame de sangue específico: leucograma 10 mil/mm3 ; glicemia 110; amilase 320; lipase 200; CEA 1.2; Ca 19.9 16; e bilirrubina total 0,9. Apresentou o exame abaixo, uma ressonância pancreática.

Com base nesse caso hipotético, assinale a alternativa que apresenta a melhor orientação.
Provas
Um homem de 52 anos de idade apresenta a lesão pancreática assintomática mostrada a seguir.


Com base nesse caso hipotético, é correto afirmar que a lesão menos provável com relação ao diagnóstico final é o(a)
Provas

Considerando a figura acima, assinale a alternativa que apresenta a opção terapêutica que está fora do padrão de tratamento para essa situação, em paciente com exame endoscópico com esofagite e nunca tratado previamente.
Provas
Quanto à realização de uma fundoplicatura para a correção da doença do refluxo, assinale a alternativa correta.
Provas
Um paciente, que apresentava pancreatite aguda necrótica complicada há seis semanas, foi submetido a um tratamento.

Com base nesse caso hipotético, é correto afirmar que o exame de controle imediato mostrado acima foi realizado após um tratamento
Provas
Durante a correção cirúrgica de uma hérnia inguinal por via aberta (inguinotomia) os dois nervos mais frequentemente lesados são o
Provas
A respeito da correção de uma hérnia incisional de linha média, com 6 a 8 cm de tamanho, julgue os próximos itens.
I Está em desacordo com os guidelines atuais a aproximação da linha média com sutura.
II Está em desacordo com os guidelines atuais a colocação de tela de polipropileno de baixa gramatura.
III Está em desacordo com os guidelines atuais a fixação da tela sobre a aponeurose.
IV Está em desacordo com os guidelines atuais a fixação da tela com fios absorvíveis de algodão.
V Está em desacordo com os guidelines atuais a sutura de pontos no subcutâneo para a diminuição de espaço morto.
Assinale a alternativa correta.
Provas
O índice ECOG (scale of performance status), muito utilizado na prática clínica, foi inicialmente desenvolvido para avaliar o(a)
Provas
Assinale a alternativa que apresenta relação correta entre a doença do apêndice cecal e a conduta ou característica.
Provas
A síndrome do ligamento arqueado (síndrome de Dundar) refere-se à
Provas
Caderno Container