Magna Concursos

Foram encontradas 100 questões.

4004624 Ano: 2025
Disciplina: Medicina
Banca: INEP
Orgão: INEP
Provas:
Criança de 9 anos chega à Unidade Básica de Saúde (UBS) com o diagnóstico de transtorno de déficit de atenção e hiperatividade há 2 anos. Faz uso de metilfenidato há pelo menos 1 ano. O pai informa que, desde o início do uso, apresentou grande melhora na escola e solicita que o uso seja estendido por mais tempo.
Quais estratégias de monitoramento referentes ao uso dessa medicação devem ser utilizadas?
 

Provas

Questão presente nas seguintes provas
4004623 Ano: 2025
Disciplina: Saúde Pública
Banca: INEP
Orgão: INEP
Provas:
O vírus Chikungunya é transmitido pelo mosquito Aedes sp e foi responsável por grandes epidemias associadas a desfechos clínicos agudos, crônicos e graves.
As ações voltadas para o controle do Aedes sp incluem medidas como o manejo integrado de vetores, que envolve atividades a serem executadas pela equipe de vigilância do território em um processo cíclico, tais como
 

Provas

Questão presente nas seguintes provas
4004622 Ano: 2025
Disciplina: Estatuto do Idoso - Lei 10.741/2003
Banca: INEP
Orgão: INEP
Provas:
Ao visitar um idoso acamado de 80 anos, restrito ao lar e dependente em relação às atividades de vida diária, a médica de família e comunidade verificou que ele não havia recebido as vacinas indicadas pelo Ministério da Saúde para os idosos. Ao questionar a filha de 55 anos, principal cuidadora, sobre a vacinação do idoso, ela respondeu que o pai é muito frágil e não iria aguentar os efeitos colaterais, e como ele é restrito ao lar, a família preferiu não vacinar.
Assinale a alternativa que inclui, respectivamente, vacinas disponibilizadas no calendário de imunização nacional para o idoso e uma forma de abordar a situação encontrada.
 

Provas

Questão presente nas seguintes provas
4004621 Ano: 2025
Disciplina: Medicina
Banca: INEP
Orgão: INEP
Provas:
Uma adolescente de 15 anos comparece em consulta ginecológica com a finalidade de iniciar contracepção. Na história patológica pregressa, refere episódios de enxaqueca com aura. Nos antecedentes familiares, relata que a avó materna teve diagnóstico de câncer de mama, sua mãe é hipertensa e sua irmã tem diabetes.
O uso do contraceptivo combinado está contraindicado para essa paciente devido ao risco de
 

Provas

Questão presente nas seguintes provas
4004620 Ano: 2025
Disciplina: Medicina
Banca: INEP
Orgão: INEP
Provas:

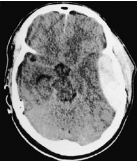
Paciente do sexo masculino, 23 anos, foi vítima de acidente automobilístico no qual o veículo em que estava colidiu com caminhão. Usava cinto de segurança e foi retirado consciente do carro pela equipe de resgate. Apresentava amnésia anterógrada. Após atendimento pré-hospitalar, o paciente foi levado ao pronto-socorro, sem déficits motores ou sensitivos. No hospital, o médico pede uma tomografia computadorizada de crânio para avaliação. Alguns minutos depois, a equipe de enfermagem solicita avaliação de emergência para o paciente, com necessidade de intubação orotraqueal por rebaixamento do nível de consciência e anisocoria com pupila esquerda dilatada. Tomografia computadorizada de crânio sem contraste

Enunciado 4428012-1

Ao considerar a situação clínica do paciente e a imagem tomográfica apresentada, o médico diagnosticou

 

Provas

Questão presente nas seguintes provas
4004619 Ano: 2025
Disciplina: Medicina
Banca: INEP
Orgão: INEP
Provas:
Mãe de menina de 11 meses em consulta de puericultura, relata que não há queixas específicas no momento e refere que a criança está começando a trocar passos de maneira independente. Apresenta marcos do desenvolvimento anteriores a 11 meses dentro da normalidade e bom ganho pondero-estatural. Gestação e parto sem intercorrências.
O reflexo primitivo usualmente presente nessa faixa etária é o
 

Provas

Questão presente nas seguintes provas
4004618 Ano: 2025
Disciplina: Medicina
Banca: INEP
Orgão: INEP
Provas:
Homem de 38 anos retorna a ambulatório de clínica médica de um hospital de atenção secundária, onde faz acompanhamento clínico de retocolite ulcerativa. Analisando os exames complementares solicitados na última consulta, o médico atendente observa elevações significativas da fosfatase alcalina e gama-GT, com discreta elevação dos níveis séricos de aminotransferases, sem hiperbilirrubinemia. Questionado, o paciente refere apenas leve desconforto no hipocôndrio direito. Ao exame físico, não há icterícia, febre ou presença de sinal de Murphy.
Considerando a doença de base do caso, o exame complementar indicado e seu resultado provável são, respectivamente,
 

Provas

Questão presente nas seguintes provas
4004617 Ano: 2025
Disciplina: Medicina
Banca: INEP
Orgão: INEP
Provas:
Homem de 55 anos, com diagnóstico de diabetes mellitus, foi em consulta de rotina em Unidade Básica de Saúde (UBS) levando exames laboratoriais solicitados pelo médico na consulta anterior. Faz uso de metformina 850 mg, 3 vezes ao dia, e glicazida 30 mg, 1 vez ao dia, há mais de 6 meses. Os exames laboratoriais atuais apresentam hemoglobina glicada de 9,5% e creatinina sérica de 0,8 mg/dL. Qual das condutas é a mais adequada para o seguimento desse caso?
 

Provas

Questão presente nas seguintes provas
4004616 Ano: 2025
Disciplina: Medicina
Banca: INEP
Orgão: INEP
Provas:
Nulípara de 30 anos, com diagnóstico de lúpus eritematoso sistêmico e história recente de trombose venosa, apresenta ciclos menstruais prolongados de 8 a 10 dias, com intenso sangramento e cólicas fortes, busca orientação sobre métodos contraceptivos.
Considerando os critérios de elegibilidade para uso de anticoncepção e o quadro clínico, qual é a melhor opção de contracepção?
 

Provas

Questão presente nas seguintes provas
4004615 Ano: 2025
Disciplina: Medicina
Banca: INEP
Orgão: INEP
Provas:
Paciente masculino, 36 anos, é tabagista e trabalha como ascensorista. Procura atendimento no ambulatório queixando-se de tosse seca, persistente por mais de 3 semanas, acompanhada de febre vespertina, dificuldade respiratória durante esforços e dor infraescapular à esquerda. Exame físico: bom estado geral, orientado, emagrecido, descorado, hidratado, afebril. Ausculta cardíaca sem alterações; ausculta pulmonar com murmúrios vesiculares diminuídos e percussão maciça em base do tórax à esquerda.
Com base no diagnóstico provável, quais são, respectivamente, o exame complementar e a conduta adequada ao caso?
 

Provas

Questão presente nas seguintes provas