Foram encontradas 2.663 questões.
Com relação às afecções cirúrgicas do mediastino, julgue os itens subsequentes.
Cerca de 2/3 dos tumores mediastinais são considerados malignos.
Provas
Com relação às afecções cirúrgicas do mediastino, julgue os itens subsequentes.
As lesões esofágicas são a principal causa de mediastinite aguda, representando mais da metade dos casos de mediastinite.
Provas
Com relação ao carcinoma broncogênico e sua investigação, julgue os próximos itens.
É possível afirmar que prescinde da mediastinoscopia quando os linfonodos paratraqueais têm diâmetro menor que um centímetro em seu maior eixo.
Provas
Com relação ao carcinoma broncogênico e sua investigação, julgue os próximos itens.
A broncoscopia é fundamental para o diagnóstico dos nódulos pulmonares.
Provas
Com relação ao carcinoma broncogênico e sua investigação, julgue os próximos itens.
O PET SCAN está indicado em todo paciente em investigação ou estadiamento para carcinoma broncogênico.
Provas
Com relação ao carcinoma broncogênico e sua investigação, julgue os próximos itens.
O novo estadiamento TNM divide os nódulos em 3 classificações: T1a, T1b e T1c, a depender de terem 1, 2, 3 ou mais centímetros de diâmetro.
Provas

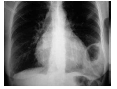
Uma paciente de 30 anos de idade deu entrada no prontosocorro de cirurgia com queixa de dor constritiva, contínua e de moderada intensidade em hipocôndrio esquerdo. A dor era sentida também no ombro esquerdo, incomodando-a. Havia dado a luz há 30 dias e foi orientada a usar cinta abdominal. História de acidente automobilístico há um ano. Ao exame, se encontrava com fáscies de dor e abdome sem alterações. Murmúrio vesicular diminuído em base esquerda. Foi solicitada radiografia de tórax, conforme ilustrado na figura acima.
Considerando o quadro clínico descrito acima, julgue os itens a seguir.
O tratamento conservador é viável se a dor desaparecer, uma vez que provavelmente a condição já está presente desde o acidente há um ano.
Provas

Uma paciente de 30 anos de idade deu entrada no prontosocorro de cirurgia com queixa de dor constritiva, contínua e de moderada intensidade em hipocôndrio esquerdo. A dor era sentida também no ombro esquerdo, incomodando-a. Havia dado a luz há 30 dias e foi orientada a usar cinta abdominal. História de acidente automobilístico há um ano. Ao exame, se encontrava com fáscies de dor e abdome sem alterações. Murmúrio vesicular diminuído em base esquerda. Foi solicitada radiografia de tórax, conforme ilustrado na figura acima.
Considerando o quadro clínico descrito acima, julgue os itens a seguir.
Traumas contusos, como o apresentado por essa paciente, causam lacerações diafragmáticas grandes, com menor risco de estrangulamento de alças, ao contrário das lesões penetrantes que tendem a gerar lesões pequenas.
Provas

Uma paciente de 30 anos de idade deu entrada no prontosocorro de cirurgia com queixa de dor constritiva, contínua e de moderada intensidade em hipocôndrio esquerdo. A dor era sentida também no ombro esquerdo, incomodando-a. Havia dado a luz há 30 dias e foi orientada a usar cinta abdominal. História de acidente automobilístico há um ano. Ao exame, se encontrava com fáscies de dor e abdome sem alterações. Murmúrio vesicular diminuído em base esquerda. Foi solicitada radiografia de tórax, conforme ilustrado na figura acima.
Considerando o quadro clínico descrito acima, julgue os itens a seguir.
Há indicação cirúrgica e a abordagem deve ser realizada por via abdominal.
Provas

Uma paciente de 30 anos de idade deu entrada no prontosocorro de cirurgia com queixa de dor constritiva, contínua e de moderada intensidade em hipocôndrio esquerdo. A dor era sentida também no ombro esquerdo, incomodando-a. Havia dado a luz há 30 dias e foi orientada a usar cinta abdominal. História de acidente automobilístico há um ano. Ao exame, se encontrava com fáscies de dor e abdome sem alterações. Murmúrio vesicular diminuído em base esquerda. Foi solicitada radiografia de tórax, conforme ilustrado na figura acima.
Considerando o quadro clínico descrito acima, julgue os itens a seguir.
O sinal de Kehr presente sugere alteração diafragmática ou subdiafragmática.
Provas
Caderno Container