Foram encontradas 50 questões.
No reconhecimento de fatores ergonômicos no trabalho e do risco para doenças relacionadas ao trabalho, há relação de nexo causal entre
Provas
Mulher de 37 anos de idade apresenta quadro de febre baixa, artralgia, mialgia, adinamia e mal-estar há 4 semanas. Nega patologias prévias, uso de bebida alcoólica ou de quaisquer medicamentos. Ao exame físico: sinais vitais: normais; consciente, orientada, corada e ictérica 2+/4; IMC: 23,5 kg/m2; abdome: NDN. Exames séricos: hemoglobina: 11,1 g/dL; leucócitos: 3 150/mm3 e plaquetas: 155 000/mm3; alanina aminotransferase (TGP): 670 U/L; aspartato aminotransferase (TGO): 496 U/L, bilirrubina total: 6,7 mg/dL (direta: 5,2 mg/dL); gamaglobulina elevada (> 2x o valor normal); fator antinúcleo positivo (1: 320); coagulograma, albumina, fosfatase alcalina, função renal e glicemia: normais.
Considerando a principal hipótese diagnóstica, qual é o tratamento inicial correto?
Provas
Mulher de 36 anos de idade refere quadro de edema na perna esquerda há 5 dias. Não há antecedente mórbido relevante e ela usa apenas contraceptivo hormonal oral (estrógeno + derivado da progesterona). Ela nega dor torácica, dispneia ou febre. Ao exame físico: sinais vitais e cardiopulmonar: normais; membros inferiores com edema na perna esquerda. Hemograma, plaquetas, coagulograma, função renal, glicemia e perfil hepático todos normais; d-dímero: 2 450 ng/mL. A partir dos dados descritos, a próxima conduta recomendada é
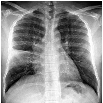
Provas
Homem de 73 anos de idade procura assistência médica com o relato de febre, dispneia e expectoração amarelada há 3 dias. Não há comorbidades, etilismo, tabagismo, vômitos ou diarreia. O paciente tomou as duas doses da vacina da Pfizer para COVID-19 há mais de 1 mês. Ao exame físico: consciente, orientado, corado e anictérico; PA: 125 x 82 mmHg, FC: 95 bpm, T: 38,1 ºC, FR: 20 ipm e SatO2: 97%; cardiopulmonar: NDN; extremidades bem perfundidas, sem edema. A radiografia realizada é mostrada a seguir:

Admitindo-se que os exames laboratoriais estão dentro dos limites da normalidade, a conduta de escolha é prescrever
Provas
Homem de 33 anos de idade, profissional da área de saúde, recebe as 3 doses de vacina para hepatite B. Cerca de 12 meses após a última dose da vacina, ele coleta sorologia com o seguinte perfil: HBsAg: negativo; anti-HBs: negativo; Anti-HBc IgG: negativo e Anti-HBe: negativo. Com os dados descritos, é correto afirmar que
Provas
Homem de 67 anos de idade apresenta quadro súbito de palpitações, tontura e dispneia há cerca de 2 horas. Ele tem histórico de diabete melito e hipertensão arterial. Ao exame físico: orientado, consciente, sudorético; extremidades frias e discreta cianose distal; PA: 82 x 62 mmHg, FR: 26 ipm, T: 36,2 ºC e SatO2: 83%; tórax: crepitações em até ½ inferior de ambos os pulmões. O ECG realizado é mostrado a seguir:

Admitindo-se que não há contraindicação, o tratamento inicial de escolha é
Provas
Mulher de 29 anos de idade é avaliada com relato de fraqueza, adinamia, fadiga e mal-estar há cerca de 3 semanas. Não há antecedente mórbido ou uso recente de medicamentos. Ao exame físico: consciente, orientada, hipocorada 2+/4 e ictérica (1+/4); PA: 112 x 66 mmHg, FC: 112 bpm, FR: 20 ipm e SatO2: 97%. Exames séricos: hemoglobina: 7,9 g/dL e VCM: 104 fL; leucócitos: 8 760/mm3 e plaquetas: 235 000; reticulócitos corrigidos: 19,5%. O diagnóstico mais provável é:
Provas
Mulher de 59 anos de idade, com histórico de hipertensão arterial, diabete melito e obesidade, apresenta a alteração cutânea demonstrada na figura a seguir:

Nesse sentido, é correto afirmar:
Provas
Criança de 11 anos de idade apresenta quadro de febre, rinorreia purulenta, congestão nasal e dor em região facial há cerca de 6 dias. Usou anti-inflamatório e descongestionante nasal, sem melhora. Não há vômitos, diarreia ou comorbidades, exceto o histórico de erupção cutânea pruriginosa 2 dias após o uso de penicilina benzatina. Ao exame físico: PA: 112 x 75 mmHg, FC: 96, FR: 16 ipm e T: 39,1 ºC; dor à palpação de ambos os seios maxilares; orofaringe: discretamente eritematosa, sem exsudatos; não há linfadenopatia cervical; restante do exame: sem alteração relevante. Nesse momento, a conduta inicial de escolha é prescrever
Provas
Homem de 43 anos de idade é atendido com quadro de tremor de extremidades, sudorese, agitação e alucinações visuais há 12 horas. Ele tem histórico de alcoolismo há 20 anos, com última ingestão há 1 dia. Glicemia capilar: 102 mg/dL. Ao exame físico: PA: 155 x 105 mmHg, FC: 115 bpm, FR: 20 ipm, T: 36,9 ºC e SatO2: 96%; não há alteração neurológica focal. No caso descrito, o tratamento inicial correto é
Provas
Caderno Container