Foram encontradas 335 questões.
Em um assassinato famoso na década de 2010, em que a vítima foi encontrada morta dentro do lago de uma represa do interior de São Paulo, a botânica forense foi fundamental para associar o então suspeito ao local do crime.
A análise de vestimentas e sapatos do suspeito apresentavam fragmentos ósseos, sangue e restos de alga. As amostras, porém, não se mostraram úteis para a análise de DNA, com exceção dos fragmentos de um tipo de alga, colocando o suspeito diretamente na cena do crime.
Assinale a alternativa que indica a espécie de alga que permitiu a identificação do criminoso.
Provas
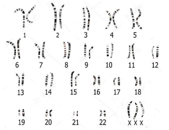
Em um roubo de obras de arte, foram encontradas amostras biológicas deixadas pelo(a) criminoso(a) que permitiram construir o seguinte idiograma:

Disponível em: https://edif.blogs.sapo.pt). Acesso em: 10/1/2025. Adaptado.
Pela análise da imagem, entre os suspeitos a seguir, o único que pode ser o(a) criminoso(a) é o indivíduo com
Provas
Leia o trecho a seguir:
Nosso organismo sem enzimas não funcionaria. Um exemplo que podemos utilizar para evidenciar a importância dessas proteínas é o da doença conhecida como fenilcetonúria. Essa é uma patologia de origem genética, com padrão de herança autossômico recessivo, na qual o organismo não é capaz de produzir a enzima que catalisa o metabolismo do aminoácido fenilalanina. O acúmulo de fenilalanina no organismo causa diversos problemas e, em casos extremos, pode levar à morte. Por isso, o portador da doença deve ter uma alimentação altamente regrada.
(Adaptado de CHEMELLO, E. Ciência Forense. Química Virtual, março de 2007).
Um homem que não apresenta a fenilcetonúria diz ser o pai de uma criança com fenilcetonúria.
Sabendo que a frequência do alelo para a fenilcetonúria nessa população corresponde a 0,006 e, na falta de outras informações, a chance de o homem ter o genótipo necessário para ser pai da criança é, aproximadamente,
Provas
— Vocês acharam o corpo em uma floresta?
— Não. Em um descampado.
— O homicídio não ocorreu lá. Tudo indica que foi dentro de uma mata fechada.
O assassino, no interior de Minas Gerais, tornou o cadáver irreconhecível. A pista que levou os policiais a procurarem o criminoso nas cidades vizinhas, as larvas encontradas no corpo, pertenciam a espécies de insetos da mata e não havia florestas no município onde o corpo foi encontrado.
(Adaptado de G1, 10/10/2010).
Os insetos que, na metamorfose, apresentam forma larvar são chamados de
Provas
Leia o trecho a seguir.
Os radioisótopos podem ser usados em perícias para o combate a fraudes alimentares. Em 2018, pesquisadores do Centro de Energia Nuclear na Agricultura, da Universidade de São Paulo, demonstraram que a maior parte das marcas de shoyu consumidas no Brasil são à base de milho e não à base de soja, que deveria ser o seu ingrediente principal. A constatação se baseou na diferença de composição isotópica das plantas: por usarem diferentes mecanismos de fixação de carbono, o milho possui maior proporção do isótopo pesado do carbono (13C) em seus tecidos, se comparado à soja. Mesmo depois do processamento dos grãos para a fabricação do molho, essa diferença continua a se expressar no produto final, como uma assinatura de origem. Revista Perícia Federal, no 45. 2020.
Com relação ao tema acima, avalie as afirmativas a seguir e assinale (V) para a verdadeira e (F) para a falsa.
( ) A incorporação de átomos de carbono aos tecidos vegetais ocorre por meio dos processos de fotossíntese e respiração celular.
( ) A fotossíntese do tipo C3 gera, durante a fase clara do ciclo de Calvin, um composto orgânico com 3 átomos de carbono. Já a fotossíntese do tipo C4 gera, durante essa mesma fase do Ciclo, um composto com 4 átomos de carbono.
( ) Plantas de soja e milho são, respectivamente, exemplos de planta C3 e C4. A fotossíntese do tipo C4 é especialmente vantajosa em regiões quentes e com intensa luminosidade, onde os estômatos estão parcialmente fechados durante o dia.
As afirmativas são, respectivamente,
Provas
Leia o fragmento a seguir.
Agrotóxicos foram usados em 305 casos de tentativa de envenenamento na última década. Dados do Ministério da Saúde mostram que o agrotóxico mais usado nos casos de violência está banido do país desde 2012. Trata-se do aldicarbe, popularmente conhecido como chumbinho e usado ilegalmente como veneno de ratos.
(Fonte: https://reporterbrasil.org.br/2021/01/ sem-fiscalizacao-agrotoxico-vira-arma-para-violencia-domestica/. (Adaptado).
O aldicarbe é um agrotóxico do tipo carbamato que pode levar à morte, pois ele inativa a enzima acetilcolinesterase.
Sobre essa enzima, assinale a afirmativa correta.
Provas
Leia o trecho a seguir.
A identificação dos tipos de fungos encontrados em um cadáver pode auxiliar na determinação do intervalo post mortem. Um estudo realizado no Ceará, analisou amostras retiradas de cadáveres em diferentes estágios de decomposição e os resultados mostraram, de modo geral: prevalência dos gêneros Aspergillus e Candida, no período gasoso; Candida, no período coliquativo; e Aspergillus, Penicillium e Mucor, no período de esqueletização.
D.A.D. WEÇOSKI & P. DALZOTO. Revista Brasileira de Criminologia. 12(2), p. 112-121, 2023. (Adaptado).
Com relação aos fungos de interesse forense, avalie as afirmativas a seguir e assinale (V) para a verdadeira e (F) para a falsa.
( ) Para diferenciar fungos unicelulares de células bacterianas crescendo sobre cadáveres, pode-se avaliar a composição da parede celular. Nos fungos, ela contém predominantemente celulose, enquanto nas bactérias, a composição é de peptidoglicana.
( ) Alguns fungos são dimórficos, apresentando duas formas de crescimento – filamentosa ou levedura – e podem passar de uma forma para outra quando mudam as condições ambientais.
( ) A dosagem de etanol em amostras biológicas post mortem pode sofrer interferência devido à presença de leveduras que realizam a fermentação.
As afirmativas são, respectivamente,
Provas
Leia o trecho a seguir.
Entre as etapas de investigação sugeridas no roteiro para exames em locais de crimes ambientais, estão a descrição da área, incluindo o bioma a que pertence, a presença de vegetação nativa e/ou exótica, informações sobre o clima, o solo etc. Além disso, é aconselhado o registro do número de árvores cortadas, da presença de espécies ameaçadas de extinção e de animais nativos etc.
DIAS FILHO, C.R & FRANCEZ, P. A. da C. (orgs). Introdução à Biologia Forense. Millenium, 2018. – Campinas-SP.
Considere uma investigação realizada em uma área de Cerrado. Com relação a esse bioma, avalie as afirmativas a seguir.
I. A vegetação arbórea e arbustiva do Cerrado stricto sensu caracteriza-se pelos troncos tortuosos, ramos retorcidos, súber espesso e folhas grossas.
II. Entre as espécies nativas, o buriti, o jatobá e ipê-amarelo estão presentes no extrato arbóreo, enquanto a braquiária e o capim-colonião estão no extrato herbáceo.
III. O Cerrado ocupa uma área relevante do Estado de Minas Gerais. Por abrigar inúmeras espécies endêmicas e em perigo de extinção, esse bioma é considerado um hotspot de biodiversidade.
Está correto o que se afirma em
Provas
Leia o fragmento a seguir.
Nos Estados Unidos, os genes e agentes biológicos com potencial de uso no bioterrorismo estão sob a fiscalização e o controle do Center for Disease Control (CDC), que possui um banco de informações sobre os principais micro-organismos e as principais toxinas, bem como os antídotos e os procedimentos a serem adotados em caso de ataque.
Disponível em: (https://www.scielo.br/j/bioet/a/RtrGZzZxcGJywgdBgpVVXMS/?lang=pt.) Acesso em: 10/1/2025. Adaptado.
Assinale a opção que apresenta exemplos de patógenos zoonóticos com potencial utilização em bioterrorismo.
Provas
I. Indícios II. Vestígios III. Provas
( ) Constituem o conjunto de meios idôneos que visam afirmar a existência ou não de um fato.
( ) São as circunstâncias conhecidas e provadas que permitem presumir a existência de outros fatos relacionados ao crime.
( ) São todos os objetos ou materiais brutos que se relacionam à infração penal.
Assinale a opção que indica a relação correta, na ordem apresentada.
Provas
Caderno Container