Foram encontradas 100 questões.
Fulano é portador de doença venérea contagiosa e, mesmo sabendo disso, mantém relação sexual com Ciclana. Essa conduta de Fulano, de acordo com o que dispõe o Código Penal,
Provas
Questão presente nas seguintes provas
Artaxerxes cometeu o crime de homicídio contra Valenciano. Apurou-se que Artaxerxes cometeu o crime sob o domínio de violenta emoção logo em seguida a injusta provocação de Valenciano. Nessa hipótese, pelo que dispõe o Código Penal e desconsiderando outros eventuais fatores, é correto afirmar que
Provas
Questão presente nas seguintes provas
Nas necropsias de vítimas de homicídio do sexo feminino, em idade fértil, é importante o exame do útero para avaliação da possibilidade de gravidez, uma vez que, em caso positivo,
Provas
Questão presente nas seguintes provas
Conforme dispõe a Lei n.º 11.343/2006 (Lei de Tóxicos), para efeito da lavratura do auto de prisão em flagrante e estabelecimento da materialidade do delito,
Provas
Questão presente nas seguintes provas
Apropriar-se o funcionário público de dinheiro, valor ou qualquer outro bem móvel, público ou particular, de que tem a posse em razão do cargo, ou desviá-lo, em proveito próprio ou alheio. Essa é uma definição do crime de
Provas
Questão presente nas seguintes provas
Entende-se por “cadeia de custódia”
Provas
Questão presente nas seguintes provas
Segundo normatização do Ministério da Saúde, a necropsia de vítima de morte suspeita ou violenta deve ser realizada por médico legista no Instituto Médico Legal (IML). Na hipótese de não haver IML na localidade em questão, recomenda-se que a declaração de óbito seja emitida da seguinte forma:
Provas
Questão presente nas seguintes provas
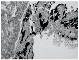
Indivíduo vítima de homicídio por arma de fogo teve seu corpo queimado com a finalidade de ocultação do corpo e, consequentemente, do crime. Durante a necropsia, foi colhido fragmento de via aérea (traqueia) cujo exame histopatológico mostrou presença de material enegrecido, compatível com fuligem, aderido ao epitélio de revestimento da mucosa, conforme mostra a figura.

É correto afirmar que

É correto afirmar que
Provas
Questão presente nas seguintes provas
A figura a seguir corresponde à realização da Docimásia Hidrostática de Galeno durante uma necropsia de feto para a constatação se houve vida extra-uterina.

Observa-se que fragmentos dos pulmões flutuam no recipiente contendo água. Pode-se afirmar, portanto, que

Observa-se que fragmentos dos pulmões flutuam no recipiente contendo água. Pode-se afirmar, portanto, que
Provas
Questão presente nas seguintes provas
A figura seguinte refere-se à lesão encontrada na carótida comum de vítima de suicídio por enforcamento.

Observa-se, no terço médio, o destacamento da túnica externa das outras túnicas do vaso, que corresponde ao sinal de

Observa-se, no terço médio, o destacamento da túnica externa das outras túnicas do vaso, que corresponde ao sinal de
Provas
Questão presente nas seguintes provas
Cadernos
Caderno Container