Foram encontradas 149 questões.
Considere que, em um laboratório de biologia molecular, foi obtido um mutante vegetal com as seguintes características: altura maior que a média, floração precoce e maturação precoce dos frutos. De acordo com tais características, julgue os itens seguintes.
Tal mutante deve liberar pouco etileno, visto que apresenta amadurecimento precoce dos frutos.
Provas

Considerando a figura acima, julgue os itens que se seguem.
Na organela II, ocorrem reações que produzem compostos ricos em energia (ATP e NADPH), que são usados para a síntese de açúcares nas reações de fixação de carbono.
Provas
Considere que um técnico de laboratório preparou uma lâmina utilizando o protocolo para a coloração de Gram. Acerca desse procedimento, julgue os itens subseqüentes.
Nesse tipo de coloração, são utilizados como corantes o cristal-violeta e a safranina.
Provas

Considerando os organismos apresentados nas figuras acima, julgue o item a seguir.
Os líquidos corporais de animais de água doce como os anuros, que têm um representante ilustrado na figura D, são geralmente hiperosmóticos em relação ao meio aquático que os rodeia e estão sujeitos à entrada de água para o interior de seus corpos em razão do gradiente osmótico.
Provas

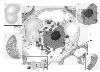
Considerando a figura acima, julgue os itens que se seguem.
A estrutura III é o nucléolo, que está envolvido na síntese de ribossomos.
Provas

Considerando a figura acima, julgue os itens que se seguem.
A figura representa uma célula vegetal, visto que apresenta cloroplastos e parede celular.
Provas
Considerando aspectos da genética clássica, julgue os itens que se seguem.
Indivíduos denominados Rh negativo têm em suas hemácias antígenos que são capazes de promover reações de incompatibilidade em receptores do fator Rh
Provas
Considerando a percepção visual nos organismos, bem como a origem embriológica do olho, julgue os seguintes itens.
A camada exterior do cálice óptico dá origem à camada pigmentar da retina.
Provas
Atualmente, existe grande preocupação na área médica com o crescimento vertiginoso de bactérias multirresistentes aos antibióticos comercialmente disponíveis. Considerando tal fato, bem como aspectos da genética de microrganismos, julgue os itens a seguir.
O aumento no número de bactérias resistentes pode ser correta e parcialmente atribuído ao uso indiscriminado de antibióticos, os quais estariam atuando como fatores de seleção no ambiente.
Provas

Considerando os organismos apresentados nas figuras acima, julgue o item a seguir.
Os mamíferos, exemplificados pelo espécime da figura F, apresentam como pigmento respiratório a hemoglobina, que é uma proteína tetramérica com quatro grupos prostéticos associados.
Provas
Caderno Container