Foram encontradas 320 questões.
Analisando-se o perfil hemodinâmico de um grupo específico de pacientes com insuficiência cardíaca aguda, observou-se que havia hipovolemia (provável abuso de diuréticos) e que a reposição volêmica, em geral, foi suficiente para tratamento. Nos casos em que não houve melhora, com sinais de baixo débito, usaram-se drogas inotrópicas. Os casos em questão apresentam, com maior probabilidade,
Provas
As linhas B de Kerley relacionam-se à presença de
Provas
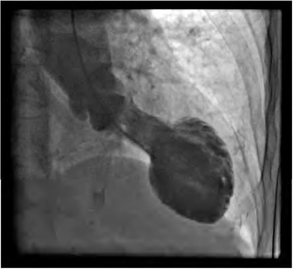
Considere o aspecto de balonamento apical do ventrículo esquerdo, mostrado na ventriculografia abaixo.

Ele é encontrado caracteristicamente
Provas
A tríade clássica de sintomas relacionados à presença de feocromocitoma consite em
Provas
O uso de estatinas durante a gestação é classificado na categoria:
Provas
Todos pacientes com infarto agudo do miocárdio com elevação do segmento ST, submetidos a intervenção percutânea com posicionamento de stent corononário, devem receber precocemente, a menos que haja contraindicação, dupla antiplaquetação com ácido acetilsalicílico e um bloqueador de receptor P2Y12, preferencialmente
Provas
Considere os padrões eletrocardiográficos abaixo.

Eles são característicos de
Provas
Um homem de 72 anos, acompanhado há 10 anos pelo mesmo cardiologista devido à presença de um sopro cardíaco significativo, queixa-se de dispneia progressiva, não mais tolerando totalmente a sua caminhada habitual em esteira e de ter apresentado um episódio de dor precordial em aperto durante esforço.

O médico, após exame clínico e análise de um novo ecodopplercardiograma, apresenta o gráfico acima para ilustrar a evolução da sua doença e a necessidade de troca de valva
Provas
Mulher obesa, diabética segundo a filha, dá entrada no pronto-socorro arresponsiva, com respiração agônica, pressão arterial não obtida, sem pulso palpável. É iniciada oxigenação por máscara e obtido acesso venoso periférico. O monitor cardíaco mostra o traçado abaixo.

A conduta imediata mais adequada é
Provas
Um homem de 62 anos, obeso, com antecedente de infarto agudo do miocárdio há 2 anos, fazendo uso de ácido acetilsalicílico e metformina, procura atendimento médico por dispneia a médios esforços. O exame físico sugere insuficiência cardíaca e o ecocardiograma mostra disfunção sistólica de ventrículo esquerdo às custas de hipocinesia moderada de parede inferior. No tratamento medicamentoso desse paciente deverá produzir efeito neutro ou adverso, o uso de
Provas
Caderno Container