Foram encontradas 2.275 questões.
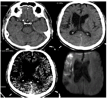
Paciente LSM, masculino, com 62 anos é admitido na emergência com um quadro semelhante ao de um insulto vascular e com início há três horas. A acompanhante trouxe exame anterior que demonstrava sequela de insulto vascular isquêmico na ínsula com extensão a coroa radiada à direita.
As imagens realizadas no momento da admissão estão a sua disposição.

Baseado nas imagens disponibilizadas, qual o seu diagnóstico?
Provas
Múltiplas opacidades arredondadas, com densidade de partes moles, menores que 1cm, com distribuição randômica nos pulmões, evidenciadas em uma tomografia computadorizada de alta resolução, pode sugerir o diagnóstico de
Provas
Paciente com crises de asma associada a infiltrados pulmonares transitórios, fugaz eosinofilia sanguínea e, no escarro, sibilância, tosse e febre acompanhada de eliminação de tampões mucosos castanhos espessos. A tomografia computadorizada de alta resolução demonstrou espessamento de paredes brônquicas e ectasias cilíndricas associadas a áreas de impactação de muco.
O diagnóstico a ser sugerido é de
Provas
Opacidade em vidro fosco que circunda um nódulo ou uma área de consolidação arredondada em paciente febril, neutropênico, sugere ser
Provas
Paciente com deficiência hereditária de alfa-1- antitripsina apresenta áreas de enfisema predominando no terço caudal dos pulmões.
Esse enfisema é do tipo
Provas
A medida da translucência nucal é considerada o melhor marcador fetal para o rastreamento de anomalias, devendo ser realizada entre que semanas de gestação pela ultrassonografia obstétrica?
Provas
Criança com icterícia fisiológica prolongada, fontanelas e suturas alargadas, hipotermia e hipoatividade, mixedema e pele seca, áspera e descamativa, pseudo-hipertelorismo ocular e nariz em sela com constipação intestinal, abdome protuberante pela hipotonia muscular e com atraso na maturação óssea, sugere-se o diagnóstico de:
Provas
Criança apresentando sangramento nas fezes, realizou ultrassonografia do abdome que demonstrou segmento de alça intestinal espessada, em fundo cego, localizada na borda antimesentérica do íleo.
O diagnóstico a ser sugerido é de
Provas
A ausência de mudança do calibre da veia porta ou um aumento menor que 20% no seu diâmetro, durante a inspiração profunda, são sinais ultrassonográficos encontrados em pacientes cirróticos com
Provas
A associação entre hemangiomas cavernosos hepáticos, com trombocitopenia e hipofibrinogenemia, por provável consumo dos fatores de coagulação e de plaquetas, é denominada síndrome de
Provas
Caderno Container