Foram encontradas 80 questões.
Paciente, sexo masculino, 37 anos de idade, há três dias com quadro de febre alta (39° C), associado à letargia; cefaleia intensa; fotofobia; náuseas; vômitos; e, rigidez de nuca. Além disso, nas últimas doze horas passou a apresentar lesões petequiais pelo corpo. Na investigação complementar, a análise do LCR (Líquido Cefalorraquidiano) demonstrou pleocitose neutrofílica e aumento discreto da proteinorraquia. Qual o patógeno mais provável de ser o causador dessa meningite?
Provas
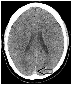
“Paciente, sexo feminino, 40 anos de idade, tabagista ativa, teve quadro de Covid-19 leve há uma semana, evoluindo com cefaleia holocraniana persistente, de forte intensidade, refratária à analgesia simples. Nega ter cefaleia prévia. Após três dias de dor, cursou com um episódio de crise convulsiva generalizada, sendo, então, levada ao hospital de referência próximo a sua residência, onde realizou a seguinte tomografia computadorizada de crânio sem contraste:”

De acordo com as informações, a indicação na tomografia computadorizada de crânio sem contraste se refere ao seguinte sinal radiológico:

Provas
“Paciente, sexo feminino, 40 anos de idade, tabagista ativa, teve quadro de Covid-19 leve há uma semana, evoluindo com cefaleia holocraniana persistente, de forte intensidade, refratária à analgesia simples. Nega ter cefaleia prévia. Após três dias de dor, cursou com um episódio de crise convulsiva generalizada, sendo, então, levada ao hospital de referência próximo a sua residência, onde realizou a seguinte tomografia computadorizada de crânio sem contraste:”

Considerando o caso hipotético, qual o diagnóstico da paciente?
Provas
“Paciente, sexo feminino, de 31 anos, obesa, asmática, tem apresentado há, aproximadamente, quatro dias por semana, dor de cabeça pulsátil, de moderada a forte intensidade, nos últimos 10 meses. Geralmente, a dor ocorre na região frontotemporal à direita e algumas vezes acompanhadas de rinorreia e congestão nasal bilateral, além de náuseas e em duas ocasiões chegou a vomitar. Quando está com as dores mais intensas, costuma faltar ao trabalho, pois não suporta o barulho e as luzes do computador, pretendendo sempre ficar deitada em seu quarto escuro. Alguns dias do mês chega acordar com dor de cabeça, que piora ao longo do dia, à medida em que realiza suas tarefas diárias. Nega qualquer outro sintoma.”
Assinale, a seguir, o melhor tratamento medicamentoso profilático para a paciente.
Provas
“Paciente, sexo feminino, de 31 anos, obesa, asmática, tem apresentado há, aproximadamente, quatro dias por semana, dor de cabeça pulsátil, de moderada a forte intensidade, nos últimos 10 meses. Geralmente, a dor ocorre na região frontotemporal à direita e algumas vezes acompanhadas de rinorreia e congestão nasal bilateral, além de náuseas e em duas ocasiões chegou a vomitar. Quando está com as dores mais intensas, costuma faltar ao trabalho, pois não suporta o barulho e as luzes do computador, pretendendo sempre ficar deitada em seu quarto escuro. Alguns dias do mês chega acordar com dor de cabeça, que piora ao longo do dia, à medida em que realiza suas tarefas diárias. Nega qualquer outro sintoma.”
São considerados sintomas de “rinorreia e congestão nasal bilateral” apresentados pela paciente:
Provas
“Paciente, sexo feminino, de 31 anos, obesa, asmática, tem apresentado há, aproximadamente, quatro dias por semana, dor de cabeça pulsátil, de moderada a forte intensidade, nos últimos 10 meses. Geralmente, a dor ocorre na região frontotemporal à direita e algumas vezes acompanhadas de rinorreia e congestão nasal bilateral, além de náuseas e em duas ocasiões chegou a vomitar. Quando está com as dores mais intensas, costuma faltar ao trabalho, pois não suporta o barulho e as luzes do computador, pretendendo sempre ficar deitada em seu quarto escuro. Alguns dias do mês chega acordar com dor de cabeça, que piora ao longo do dia, à medida em que realiza suas tarefas diárias. Nega qualquer outro sintoma.”
Qual diagnóstico mais provável dessa paciente?
Provas
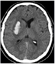
Paciente, sexo masculino, 59 anos, apresenta quadro súbito de hemiparesia completa e proporcionada em dimídio esquerdo, associada à disartria e desvio de rima labial para a direita. Admitido em pronto atendimento hospitalar, realizou a seguinte tomografia computadorizada de crânio:

Qual a etiologia mais provável desse AVC hemorrágico?
Provas
“Paciente, sexo masculino, 40 anos, refere que apresenta episódios de dor frontotemporal e periorbitária intensa à esquerda do tipo facada, com agitação psicomotora associada, referindo uma vontade de ‘bater a cabeça na parede’; tem duração de 15 a 180 minutos, ocorrendo até oito vezes ao dia, sempre mais frequente em dias frios. Além disso, o paciente nota que, durante as crises de dor, apresenta rinorreia; congestão nasal; lacrimejamento; e, edema palpebral sempre à esquerda.”
O melhor tratamento para oferecer ao paciente com crise em uma emergência do pronto-socorro de um hospital é:
Provas
“Paciente, sexo masculino, 40 anos, refere que apresenta episódios de dor frontotemporal e periorbitária intensa à esquerda do tipo facada, com agitação psicomotora associada, referindo uma vontade de ‘bater a cabeça na parede’; tem duração de 15 a 180 minutos, ocorrendo até oito vezes ao dia, sempre mais frequente em dias frios. Além disso, o paciente nota que, durante as crises de dor, apresenta rinorreia; congestão nasal; lacrimejamento; e, edema palpebral sempre à esquerda.”
Qual o provável diagnóstico do paciente?
Provas
A língua é uma importante estrutura do corpo humano, com funções motoras, sensitivas e sensoriais. Por este motivo, apresenta uma inervação complexa com a participação de inúmeros nervos cranianos. Sobre essa inervação, assinale a afirmativa correta.
Provas
Caderno Container