Magna Concursos

Foram encontradas 300 questões.

2618161 Ano: 2022
Disciplina: Odontologia
Banca: IBADE
Orgão: Pref. Acrelândia-AC
Provas:

Leia.

“É uma saliência linear encontrada na porção mediana do palato, vestígio da união embriológica das duas maxilas. Na linha mediana e atrás dos dentes incisivos centrais superiores, encontramos a papila incisiva que recebe este nome por sua localização e por estar em cima da fossa incisiva.”

O texto descreve qual região anatômica?

 

Provas

Questão presente nas seguintes provas
2618160 Ano: 2022
Disciplina: Odontologia
Banca: IBADE
Orgão: Pref. Acrelândia-AC
Provas:
O hipomineralização de molares e incisivos (HMI) é um defeito de desenvolvimento do esmalte caracterizada por, EXCETO:
 

Provas

Questão presente nas seguintes provas
2618159 Ano: 2022
Disciplina: Odontologia
Banca: IBADE
Orgão: Pref. Acrelândia-AC
Provas:

Sobre os critérios de seleção para a aplicação de selantes, analise as afirmativas.

I- Os primeiros e segundos molares permanentes, assim como os segundos molares decíduos são os candidatos mais importantes para receberem o selamento, visto que a indicação deste está diretamente relacionada à macromorfologia oclusal.

II- A maior susceptibilidade à cárie oclusal ocorre entre o período de início da erupção do dente e a oclusão funcional. Desta forma, a demora em providenciar proteção através da aplicação de selante tenderá a reduzir a sua eficácia, bem como a sua eficiência.

III- O selamento de todas as fossas e fissuras, apenas como medida preventiva deve ser definida em bases econômicas (custo-benefício), não sendo considerado um sobre tratamento.

IV- Os selantes estão indicados em pacientes com experiência anterior de lesões oclusais, ou, ainda, cuja atividade de cárie é favorável ao desenvolvimento de lesões nessas superfícies.

Estão CORRETAS apenas as afirmativas:

 

Provas

Questão presente nas seguintes provas
2618158 Ano: 2022
Disciplina: Odontologia
Banca: IBADE
Orgão: Pref. Acrelândia-AC
Provas:
Analise as afirmativas abaixo.
Quando o dentista for realizar a técnica de isolamento absoluto, ele deverá contar com os seguintes materiais:
I – Arco, que irá perfurar o lençol de borracha. II – Lençol de borracha, que permite levar o grampo até o dente. III – Grampo de isolamento, que mantém o lençol de borracha em posição.

Está(ão) CORRETA(S) a(s) afirmativa(s):
 

Provas

Questão presente nas seguintes provas
2618157 Ano: 2022
Disciplina: Odontologia
Banca: IBADE
Orgão: Pref. Acrelândia-AC
Provas:
Assinale a alternativa CORRETA a respeito da má oclusão.
 

Provas

Questão presente nas seguintes provas
2618156 Ano: 2022
Disciplina: Odontologia
Banca: IBADE
Orgão: Pref. Acrelândia-AC
Provas:
Trata-se de uma película pegajosa e incolor, que se não for removida diariamente, endurece e forma o tártaro:
 

Provas

Questão presente nas seguintes provas
2618155 Ano: 2022
Disciplina: Odontologia
Banca: IBADE
Orgão: Pref. Acrelândia-AC
Provas:
Leia as afirmativas abaixo:
I – A remoção da cárie pode ser feita apenas através da broca dentária. II – Depois da remoção da cárie, é inserido resina para preencher o local. III – Usar cremes dentais com flúor pode prevenir a cárie. IV – Alimentos ricos em fibras contribuem para a diminuição de acidez da boca.

Estão CORRETAS as afirmativas:
 

Provas

Questão presente nas seguintes provas
2618154 Ano: 2022
Disciplina: Odontologia
Banca: IBADE
Orgão: Pref. Acrelândia-AC
Provas:
“O forma o teto curvo da boca e o assoalho da cavidade nasal. Em sua porção oral, é coberta por túnica mucosa e densamente povoada por glândulas.”
Assinale a alternativa que preenche CORRETAMENTE a lacuna acima.
 

Provas

Questão presente nas seguintes provas
2618153 Ano: 2022
Disciplina: Odontologia
Banca: IBADE
Orgão: Pref. Acrelândia-AC
Provas:
O dente fica inserido no alvéolo dental e é descrito como decíduo (primário) ou permanente (secundário). Assinale a alternativa CORRETA a respeito dos dentes molares.
 

Provas

Questão presente nas seguintes provas
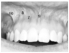
2618152 Ano: 2022
Disciplina: Odontologia
Banca: IBADE
Orgão: Pref. Acrelândia-AC
Provas:

Analise a imagem abaixo.

Enunciado 3567073-1

Podemos afirmar que o número 10 indica o(a):

 

Provas

Questão presente nas seguintes provas