Foram encontradas 1.094 questões.
Leia o enunciado a seguir para responder a questão.
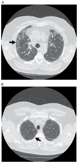
Paciente do sexo masculino, 78 anos, fumou durante 50 anos, tendo parado recentemente. Refere cansaço intenso aos pequenos esforços, associado à sibilância expiratória recorrente e faz uso de tiotrópio e formoterol com budesonida inalatórios. Relata tosse matinal recorrente com expectoração hialina em grande quantidade. Há uma semana, apresentou quadro compatível com infecção de vias aéreas superiores, com rinorreia, dor muscular e queda do estado geral. Refere que, desde então, apresenta piora da falta de ar e aumento na expectoração, que se tornou esverdeada. O exame físico de admissão revela: paciente em mal estado geral; taquidispneico e com tempo expiratório muito prolongado; ausculta pulmonar com sibilos inspiratórios e expiratórios difusos, associados a crepitações grosseiras em 1/3 inferior do hemitórax direito; asuculta cardíaca normal, com frequência cardíaca de 120 bpm; !$ SpO_2 !$ = 69% e PA = 110 x 60 mmHg. Realizada tomografia de tórax que se encontra ilustrada a seguir.

Os principais germes envolvidos na exacerbação infecciosa da doença pulmonar obstrutiva crônica são:
Provas
Questão presente nas seguintes provas
Com base no saldo líquido dos fluxos monetários, o fluxo de caixa pode estabelecer previsões com relação aos recursos que estarão disponíveis para a empresa. Essa disponibilidade diz respeito ao índice de liquidez da empresa e deve ser preocupação de outros setores da empresa com capacidade de interferir nesses resultados.
Assinale a alternativa que, corretamente, menciona outros setores da empresa que podem influenciar diretamente o fluxo de caixa.
Provas
Questão presente nas seguintes provas
No que diz respeito às ações de controle da dengue, o assistente em serviços de saúde (ASS) deve
Provas
Questão presente nas seguintes provas
O Código de Defesa do Consumidor, além dos aspectos materiais, deu maior desenvolvimento à defesa dos interesses coletivos em sentido amplo ao dispor no artigo 81, que a defesa dos interesses e direitos dos consumidores e das vítimas poderá ser exercida em juízo individualmente, ou a título coletivo. Tal disposição está em consonância com
Provas
Questão presente nas seguintes provas
Como garantia da eficácia da denominada Súmula Vinculante, editada pelo Supremo Tribunal Federal, estabelece a Constituição que
Provas
Questão presente nas seguintes provas
O uso de marcadores biológicos de exposição permite calcular a dose biologicamente efetiva pela determinação da concentração do composto químico original ou de seus metabólitos em diferentes meios biológicos, como o ar alveolar, sangue, urina ou outros tecidos e secreções.
Assinale a alternativa que apresenta a classificação correta desses marcadores, de acordo com a meia-vida biológica.
Provas
Questão presente nas seguintes provas
670609
Ano: 2014
Disciplina: Atualidades e Conhecimentos Gerais
Banca: VUNESP
Orgão: Pref. Atibaia-SP
Disciplina: Atualidades e Conhecimentos Gerais
Banca: VUNESP
Orgão: Pref. Atibaia-SP
Diminuir a distância que separa os governos dos dois países e encontrar mecanismos para aprofundar relações e administrar desavenças devem ser os grandes desafios que a presidente Dilma Rousseff enfrentará durante sua visita oficial (...), nesta segunda e terça-feira.
Embora [o país seja] o segundo maior parceiro comercial do Brasil, atrás apenas da China, e os dois países tenham uma série de desavenças comerciais e divergências políticas pendentes, o encontro entre Dilma e o presidente (...), nesta segunda-feira, e a visita da presidente a (...), na terça, devem ser marcados por anúncios e parcerias relacionados principalmente às áreas de ciência, educação, tecnologia e inovação.
(http://www.estadao.com.br/noticias/internacional,relacao-distante..., 09.04.2012. Adaptado)
A notícia refere-se à visita da presidente brasileira
Provas
Questão presente nas seguintes provas
670589
Ano: 2014
Disciplina: Estatuto do Idoso - Lei 10.741/2003
Banca: VUNESP
Orgão: Pref. Atibaia-SP
Disciplina: Estatuto do Idoso - Lei 10.741/2003
Banca: VUNESP
Orgão: Pref. Atibaia-SP
Provas:
Sobre o idoso, estabelece-se que
Provas
Questão presente nas seguintes provas
Um paciente chegou ao consultório odontológico com queixa de aparecimento de uma massa lobulada, pediculada, superfície arroxeada de, aproximadamente, 0,5 cm de diâmetro, indolor e sangrante ao toque, na região entre canino e primeiro pré-molar inferior direito, há uma semana.
De acordo com essa história e avaliação clínica, pode-se suspeitar de
Provas
Questão presente nas seguintes provas
Em um berçário de neonatos, um fonoaudiólogo observou um bebê com as seguintes características:
Queixo bastante pequeno, dificuldade respiratória devido à língua manter-se caída para trás, necessidade de posicionar o bebê de barriga para baixo, a fim de diminuir o desconforto respiratório e fissura palatina.
A hipótese diagnóstica para esse caso é, possivelmente,
Provas
Questão presente nas seguintes provas
Cadernos
Caderno Container