Magna Concursos

Foram encontradas 50 questões.

2129623 Ano: 2021
Disciplina: Medicina
Banca: RBO
Orgão: Pref. Belo Horizonte-MG
Provas:

Assinale a alternativa em conformidade com o exposto no Código de Ética Médica.

 

Provas

Questão presente nas seguintes provas
2118649 Ano: 2021
Disciplina: Saúde Pública
Banca: RBO
Orgão: Pref. Belo Horizonte-MG
Provas:

Assinale a alternativa em DESCONFORMIDADE com a Portaria nº 1.600, de 7 de julho de 2011, acerca da Rede de Atenção às Urgências.

 

Provas

Questão presente nas seguintes provas
2118546 Ano: 2021
Disciplina: Saúde Pública
Banca: RBO
Orgão: Pref. Belo Horizonte-MG
Provas:

Para garantir o repasse de recursos do Fundo Nacional de Saúde, tornam-se prerrogativas obrigatórias a estados e município a constituição de

 

Provas

Questão presente nas seguintes provas
2118545 Ano: 2021
Disciplina: Saúde Pública
Banca: RBO
Orgão: Pref. Belo Horizonte-MG
Provas:

A Assistência Terapêutica Integral referida como campo de atuação do Sistema Único de Saúde - SUS consiste na

 

Provas

Questão presente nas seguintes provas
2118518 Ano: 2021
Disciplina: Medicina
Banca: RBO
Orgão: Pref. Belo Horizonte-MG
Provas:

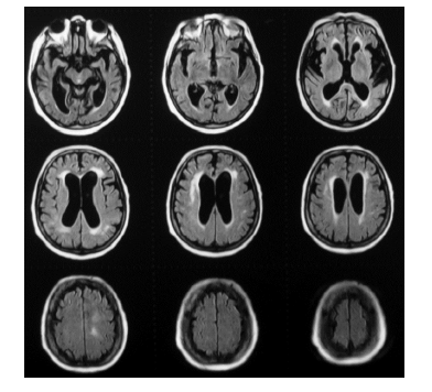
Observe a sequência de imagens abaixo e assinale a alternativa que apresenta sua correta leitura.

Enunciado 2118518-1

 

Provas

Questão presente nas seguintes provas
2118517 Ano: 2021
Disciplina: Medicina
Banca: RBO
Orgão: Pref. Belo Horizonte-MG
Provas:

Em relação à Toxoplasmose, assinale a alternativa correta.

 

Provas

Questão presente nas seguintes provas
2118516 Ano: 2021
Disciplina: Medicina
Banca: RBO
Orgão: Pref. Belo Horizonte-MG
Provas:

"Vaso venoso calibroso que drena veias profundas cuja distribuição é radiada (em cabeça de medusa), podendo ser vista à TC pós-contraste ou à RM sem-contraste (pelo flow void dos vasos envolvidos) ou pós-contraste (pelo hipersinal intravascular do mesmo)".

A descrição acima corresponde a

 

Provas

Questão presente nas seguintes provas
2118513 Ano: 2021
Disciplina: Medicina
Banca: RBO
Orgão: Pref. Belo Horizonte-MG
Provas:

Acerca das doenças que causam distúrbio do movimento, mais especificamente a Doença de Parkinson, assinale a alternativa correta.

 

Provas

Questão presente nas seguintes provas
2118512 Ano: 2021
Disciplina: Medicina
Banca: RBO
Orgão: Pref. Belo Horizonte-MG
Provas:

Assinale a alternativa em que todos os sintomas de cefaleia apresentados indicam causa orgânica.

 

Provas

Questão presente nas seguintes provas
2118380 Ano: 2021
Disciplina: Medicina
Banca: RBO
Orgão: Pref. Belo Horizonte-MG
Provas:

Nas receitas médicas, a designa a quantidade total a ser fornecida; para fármacos de uso controlado, esta quantidade deve ser expressa em algarismos arábicos, escritos por extenso, entre parênteses.

Assinale a alternativa que preenche corretamente a lacuna cima.

 

Provas

Questão presente nas seguintes provas