Foram encontradas 50 questões.
É a unidade funcional do rim, formada por um túbulo que desempenha funções secretoras e excretoras. A porção secretora se encontra no córtex, enquanto a excretora fica localizada na medula. O enunciado faz referência à(ao):
Provas
Assinale a alternativa INCORRETA acerca da artéria renal.
Provas
Em homens idosos, a manifestação clínica dessa doença, que inibe a produção de espermatozoide e apresenta deficiência androgênica, coexiste com manifestações de depressão, estresse, uso de medicamentos, inatividade física e situações em que os níveis de testosterona são normais. Trata-se de
Provas
Assinale a alternativa correta no que concerne ao diagnóstico de câncer de próstata.
Provas
Fazem parte do trato urinário superior:
I. Pedículo vascular renal.
II. Bexiga.
III. Artéria espermática ou ovariana.
IV. Músculo psoas.
É correto o que consta em
Provas
No que se refere às receitas médicas, analise as assertivas abaixo.
I. É vedado ao médico receitar de forma ilegível, sem a devida identificação de seu número de registro no Conselho Regional de Medicina da sua jurisdição, bem como assinar em branco folhas de receituários.
II. O registro do receituário e dos medicamentos sob regime de controle sanitário especial não poderá conter rasuras, emendas ou irregularidades que possam prejudicar a verificação da sua autenticidade.
III. Há exigência legal do carimbo do médico em receitas.
É correto o contido em:
Provas
O cadastramento do usuário no SUS-BH ocorre quando ele procura diretamente o CS ou durante a visita realizada pelo agente comunitário de saúde. Em ambas as situações é necessário apresentar, EXCETO
Provas
No exame físico do trauma de uretra, deve-se realizar os seguintes procedimentos:
Provas
A lesão inicial deste quadro clínico de DST é papulosa, não queratósica e com expressões digitiformes na superfície. No genital masculino, corresponde a um caso de
Provas
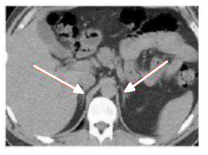
Na radiologia do sistema geniturinário, apresentam-se como duas pequenas massas em forma de Y ou V invertido e se localizam acima dos polos superiores dos dois rins, conforme a imagem abaixo.

Com base no enunciado e na imagem acima, é correto afirmar que se trata de
Provas
Caderno Container