Magna Concursos

Foram encontradas 50 questões.

3887674 Ano: 2025
Disciplina: Fisioterapia
Banca: FURB
Orgão: Pref. Biguaçu-SC
Provas:
A Doença de Alzheimer afeta principalmente idosos e apresenta degeneração progressiva do tecido cerebral e comprometimento cognitivo. Sobre o papel da fisioterapia no manejo do Alzheimer, assinale a alternativa correta:
 

Provas

Questão presente nas seguintes provas
3887673 Ano: 2025
Disciplina: Fisioterapia
Banca: FURB
Orgão: Pref. Biguaçu-SC
Provas:

Os testes ortopédicos são ferramentas fundamentais na avaliação funcional e no exame físico do paciente, auxiliando na identificação de disfunções musculoesqueléticas. Com base na imagem apresentada, assinale a alternativa que corresponde corretamente ao teste demonstrado:

Enunciado 4661068-1

Fonte: CIPRIANO, Joseph J. Manual fotográfico de testes ortopédicos e neurológicos. 5. ed. Porto Alegre: Artmed, 2015.

 

Provas

Questão presente nas seguintes provas
3887672 Ano: 2025
Disciplina: Fisioterapia
Banca: FURB
Orgão: Pref. Biguaçu-SC
Provas:
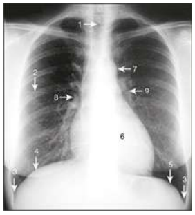
Observe a radiografia de tórax e associe os números indicados na imagem às estruturas anatômicas listadas: 
Enunciado 4661067-1  OLIVEIRA, Rafael Carvalho Rezende. Fisioterapia respiratória. 3. ed. Rio de Janeiro: Guanabara Koogan, 2022. il.
(__)Hemidiafragma direito
(__)Hilo esquerdo
(__)Arco aórtico
(__)Traqueia
(__)Ângulo costofrênico
Assinale a alternativa que apresenta a sequência correta:
 

Provas

Questão presente nas seguintes provas
3887671 Ano: 2025
Disciplina: Saúde Pública
Banca: FURB
Orgão: Pref. Biguaçu-SC
Provas:
Considerando o contexto atual do sistema de saúde brasileiro, assinale a alternativa que melhor reflete a evolução do papel da fisioterapia:
 

Provas

Questão presente nas seguintes provas
3887670 Ano: 2025
Disciplina: Fisioterapia
Banca: FURB
Orgão: Pref. Biguaçu-SC
Provas:
No Brasil, a Estratégia de Saúde da Família (ESF) desempenha um papel fundamental no modelo assistencial da Atenção Primária à Saúde (APS), sendo a principal estratégia do SUS. Sobre a inserção da fisioterapia na ESF e a ampliação do acesso à assistência fisioterapêutica, assinale a alternativa correta:
 

Provas

Questão presente nas seguintes provas

Considerando a complexidade da gestão compartilhada do sistema, é fundamental compreender as responsabilidades de cada esfera de governo. Nesse sentido, à direção municipal do SUS, conforme o art.18, da Lei n.º 8.080/90, compete executar serviços de:

I.Alimentação e nutrição.

II.Saúde do trabalhador.

III.Saúde bucal.

É correto o que se afirma em:

 

Provas

Questão presente nas seguintes provas
Um usuário diabético de 58 anos procura uma Unidade Básica de Saúde (UBS) com queixas de visão embaçada. Durante a consulta, o enfermeiro identifica hipertensão arterial não controlada e histórico familiar de doença cardiovascular. Para garantir o cuidado adequado, o profissional programa consultas de acompanhamento, solicita exames laboratoriais, agenda avaliação oftalmológica na policlínica e orienta sobre hábitos alimentares saudáveis. Adicionalmente, articula com a equipe do NASF para apoio nutricional e com o serviço social para acesso a medicamentos.

Essa abordagem exemplifica a aplicação do princípio da integralidade no SUS que, nas diretrizes do sistema, assegura:
 

Provas

Questão presente nas seguintes provas
Um município está reorganizando sua rede de serviços de saúde mental para ampliar o acesso e melhorar a qualidade da assistência à população. O gestor municipal precisa implementar diretrizes que fortaleçam a atenção psicossocial e promovam a integração entre diferentes pontos da rede. Nesse contexto, analise as afirmativas sobre a organização da rede de atenção psicossocial:


(__)A atenção psicossocial deve priorizar o cuidado territorial e comunitário, fortalecendo vínculos com as famílias e comunidades locais.

(__)A integração entre atenção básica e serviços especializados de saúde mental é fundamental para garantir a continuidade do cuidado aos usuários.

(__)Municípios com população superior a 100 mil habitantes têm autonomia para adotar modelos assistenciais próprios, independentemente das diretrizes nacionais de saúde mental.

Assinale a alternativa que apresenta a sequência correta:
 

Provas

Questão presente nas seguintes provas
Considerando os aspectos organizativos e operacionais do SUS, a estrutura em rede regionalizada e hierarquizada implica a articulação entre municípios para o planejamento de ações de saúde. Nesse contexto, a regionalização promove:
 

Provas

Questão presente nas seguintes provas
A transição epidemiológica no Brasil caracteriza-se pela mudança do perfil de morbimortalidade da população, com redução das doenças infectocontagiosas e aumento das doenças crônicas não transmissíveis (DCNT). A Política Nacional de Promoção da Saúde estabelece estratégias específicas para enfrentamento desse cenário. Analise as asserções a seguir e a relação proposta entre elas:

I.O aumento das doenças crônicas não transmissíveis está relacionado ao envelhecimento populacional e às mudanças nos padrões de vida, incluindo sedentarismo e hábitos alimentares inadequados.

AO ENCONTRO DISSO

II.A Política Nacional de Promoção da Saúde foi desenvolvida como resposta estratégica para enfrentar os determinantes das DCNT, priorizando ações intersetoriais de promoção de hábitos saudáveis e de criação de ambientes favoráveis à saúde.

A respeito dessas asserções, assinale a opção correta:
 

Provas

Questão presente nas seguintes provas