Magna Concursos

Foram encontradas 1.167 questões.

540564 Ano: 2019
Disciplina: Medicina
Banca: IBFC
Orgão: Pref. Cabo Santo Agostinho-PE
Provas:
Paciente de 44 anos, procedente de Monte Santo de Minas (MG), morador de zona rural, sem antecedentes de comorbidades conhecidas, apresenta-se com queixa de palpitações taquicárdicas esporádicas. Refere também dispneia aos esforços (classe funcional II pela New York Heart Association), episódios de dor torácica atípica e constipação intestinal. Apresenta pai com antecedente de morte súbita aos 42 anos. Ao exame físico não apresenta alterações significativas. ECG está demonstrado na figura abaixo.
enunciado 540564-1

Em relação ao caso descrito, assinale a alternativa correta quanto à principal hipótese diagnóstica.
 

Provas

Questão presente nas seguintes provas
540563 Ano: 2019
Disciplina: Medicina
Banca: IBFC
Orgão: Pref. Cabo Santo Agostinho-PE
Provas:
Paciente feminina, de 48 anos, com antecedente de tabagismo, refere episódio de dor retroesternal, em aperto, de moderada intensidade, após realizar esforço (carregar sacolas de compra), com duração de aproximadamente 35 minutos. Refere episódios de dor com as mesmas características há aproximadamente 1 semana porém de menor intensidade e duração. Ao exame físico apresenta frequência cardíaca de 88 bpm, pressão arterial de 134 x 76 mmHg, ausculta cardíaca e pulmonar sem alterações e perfusão preservada. Foi realizado eletrocardiograma que está representado na figura abaixo.

enunciado 540563-1
Após as medidas realizadas a paciente apresentou episódio de perda da consciência, não respondendo a comandos e sem pulso carotídeo palpável. A monitorização eletrocardiográfica do momento está demonstrada abaixo.
enunciado 540563-2

Quanto à sequência de atendimento mais adequada, assinale a alternativa correta.
 

Provas

Questão presente nas seguintes provas
540562 Ano: 2019
Disciplina: Medicina
Banca: IBFC
Orgão: Pref. Cabo Santo Agostinho-PE
Provas:
Paciente feminina, de 48 anos, com antecedente de tabagismo, refere episódio de dor retroesternal, em aperto, de moderada intensidade, após realizar esforço (carregar sacolas de compra), com duração de aproximadamente 35 minutos. Refere episódios de dor com as mesmas características há aproximadamente 1 semana porém de menor intensidade e duração. Ao exame físico apresenta frequência cardíaca de 88 bpm, pressão arterial de 134 x 76 mmHg, ausculta cardíaca e pulmonar sem alterações e perfusão preservada. Foi realizado eletrocardiograma que está representado na figura abaixo.

enunciado 540562-1

Acerca da conduta imediata mais adequada, assinale a alternativa correta.
 

Provas

Questão presente nas seguintes provas
540561 Ano: 2019
Disciplina: Medicina
Banca: IBFC
Orgão: Pref. Cabo Santo Agostinho-PE
Provas:
Paciente do sexo feminino, de 56 anos, procedente de Cuiabá, refere aparecimento de lesões isoladas em tronco e membros há 1 ano. Refere que há 3 meses houve crescimento progressivo das lesões, com acentuação do eritema. Nega prurido e episódios de febre.
enunciado 540561-1

Quanto aos achados mais prováveis dos exames laboratoriais, assinale a alternativa correta.
 

Provas

Questão presente nas seguintes provas
540560 Ano: 2019
Disciplina: Medicina
Banca: IBFC
Orgão: Pref. Cabo Santo Agostinho-PE
Provas:
Paciente masculino, de 28 anos, previamente hígido, admitido na sala de emergência com queixas de dor torácica associada a dispneia, palpitações, náuseas e desconforto abdominal que se iniciaram há cerca de 20 minutos. Relata várias crises semelhantes nos últimos 12 meses. Os episódios têm início abrupto, ocorrem sem nenhum motivo aparente e geralmente remitem entre 15 ou 20 minutos. Fica muito assustado durante esses episódios, com a forte impressão de que algo grave está acontecendo e tem medo de morrer. Atribui o início dos sintomas ao fato de que andava muito sobrecarregado no trabalho. Já procurou diversos médicos e especialistas, sem que fosse dado um diagnóstico definitivo. Devido aos sintomas passou a evitar locais de aglomerações e perdeu oportunidade de promoção no seu trabalho. Sem alterações no exame físico. Eletrocardiograma está representado abaixo.

enunciado 540560-1

Sobre o diagnóstico mais provável, assinale a alternativa correta.
 

Provas

Questão presente nas seguintes provas
540559 Ano: 2019
Disciplina: Medicina
Banca: IBFC
Orgão: Pref. Cabo Santo Agostinho-PE
Provas:
Paciente de 34 anos, G3P1A2, no décimo dia de puerpério, deu entrada no pronto socorro com queixa de dor torácica associada a dispneia importante. Ao exame físico apresenta regular estado geral, corada, hidratada, afebril, ausculta pulmonar sem alterações, taquipneia (frequência respiratória de 30 ipm) com saturação de oxigênio de 84% em ar ambiente, ausculta cardíaca sem alterações, frequência cardíaca de 108 bpm e pressão arterial de 86 x 54 mmHg. O eletrocardiograma e o RX de tórax estão demonstrados nas figuras abaixo. Os exames laboratoriais demonstram Troponina = 0,9 mcg/dl (Valor normal < 0,01 mcg/dl) e Peptídeo Natriurético Cerebral (NT pró-BNP) = 1314 pg/dl (Valor normal < 200 pg/dl).
enunciado 540559-1

Sobre o diagnóstico mais provável, assinale a alternativa correta.
 

Provas

Questão presente nas seguintes provas
540558 Ano: 2019
Disciplina: Medicina
Banca: IBFC
Orgão: Pref. Cabo Santo Agostinho-PE
Provas:
Paciente feminina, de 72 anos, queixa-se de erupção cutânea em glúteo esquerda há 3 dias. Refere que as lesões foram precedidas por sensação de dor e queimação local. As lesões estão representadas na figura abaixo.
enunciado 540558-1

Quanto a conduta mais adequada para o tratamento, assinale a alternativa correta.
 

Provas

Questão presente nas seguintes provas
540557 Ano: 2019
Disciplina: Medicina
Banca: IBFC
Orgão: Pref. Cabo Santo Agostinho-PE
Provas:
Paciente masculino, 28 anos, procura atendimento médico devido a quadro de palpitações taquicárdicas. Refere que o aparecimento foi há 15 minutos, sem outros sintomas associados. Refere episódios prévios de palpitações. Ao exame físico apresenta frequência cardíaca de 184 bpm, pressão arterial de 132 x 76 mmHg, ausculta pulmonar e cardíaca sem alterações, perfusão preservada. O eletrocardiograma esta demonstrado na figura abaixo.
enunciado 540557-1

O paciente apresentou reversão do ritmo após as medidas realizadas. Novo eletrocardiograma realizado após a reversão encontra-se abaixo.
enunciado 540557-2

Quanto ao exame mais indicado para avaliação deste paciente, assinale a alternativa correta.
 

Provas

Questão presente nas seguintes provas
540556 Ano: 2019
Disciplina: Medicina
Banca: IBFC
Orgão: Pref. Cabo Santo Agostinho-PE
Provas:
Paciente masculino, 28 anos, procura atendimento médico devido a quadro de palpitações taquicárdicas. Refere que o aparecimento foi há 15 minutos, sem outros sintomas associados. Refere episódios prévios de palpitações. Ao exame físico apresenta frequência cardíaca de 184 bpm, pressão arterial de 132 x 76 mmHg, ausculta pulmonar e cardíaca sem alterações, perfusão preservada. O eletrocardiograma esta demonstrado na figura abaixo.
enunciado 540556-1

Acerca da melhor conduta, assinale a alternativa correta.
 

Provas

Questão presente nas seguintes provas
540555 Ano: 2019
Disciplina: Medicina
Banca: IBFC
Orgão: Pref. Cabo Santo Agostinho-PE
Provas:
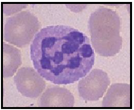
Paciente masculino, 44 anos, procura atendimento com queixa de fraqueza e falta de ar progressivas há 3 meses. Nas últimas quatro semanas também notou edema de membros inferiores e palpitações. Ao exame físico paciente apresenta-se bastante descorado e levemente ictérico com parestesia em mãos e pés; pressão arterial de 115 x 70 mmHg e o pulso de 94 bpm. O hemograma revelou hemoglobina de 4,8 g/dL, volume corpuscular médio de 122 fL, glóbulos brancos de 3.100/mL com 900 neutrófilos/mL e 2.800 linfócitos/mL, com linfócitos atípicos, 64.000 plaquetas/mL e reticulócitos de 0,4%. No esfregaço do sangue periférico, foram vistas células como a mostrada na figura abaixo.
enunciado 540555-1

Sobre o diagnóstico mais provável, assinale a alternativa correta.
 

Provas

Questão presente nas seguintes provas