Foram encontradas 50 questões.
Paciente do sexo feminino, 12 anos, apresenta, há quatro dias, dor à movimentação de olho direito e, há dois dias, também turvação visual nesse mesmo olho. Nega outros sintomas. Sem antecedentes relevantes. Ao exame, apresenta acuidade visual 20/70 e 20/20, alteração da percepção de cores e defeito pupilar aferente em olho direito. Fundoscopia normal. Em relação à principal hipótese diagnóstica, é correto afirmar:
Provas
Em relação ao exame da motricidade ocular extrínseca no paciente em coma, é correto afirmar:
Provas
Paciente do sexo feminino, 14 meses, com quadro de duas semanas de evolução de dificuldade para andar, irritabilidade e movimentos oculares anormais. Ao exame, apresenta ataxia, mioclonia e opsoclonus. A respeito dessa condição, é correto afirmar:
Provas
Paciente do sexo masculino, 18 meses, com quadro de atraso no desenvolvimento neurológico. Atualmente, senta sem apoio e duplica sílabas. Tem antecedente de parto prematuro com 28 semanas. Ao exame, apresenta espasticidade, aumento de reflexos osteotendinosos e clônus em membros inferiores.
Em face do exposto, a principal hipótese diagnóstica é:
Provas
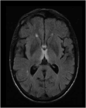
Paciente do sexo masculino, 12 anos, com quadro de diplopia, vertigem e dificuldade de marcha há 1 semana e, há 1 dia, evoluiu com sonolência. Tem diagnóstico de carcinoma de nasofaringe e perda de peso grave nos últimos meses. Ao exame físico, apresenta oftalmoparesia global e ataxia. Realizou o exame de imagem conforme mostrado a seguir. O líquor é normal.

O tratamento desse paciente deve ser realizado com
Provas
Qual das alternativas a seguir é uma contraindicação para uso da dieta cetogênica no tratamento da epilepsia?
Provas
Paciente do sexo masculino, 6 anos, é trazido à consulta pelos familiares devido à alteração comportamental. Eles relatam que a criança se aborrece com facilidade, frequentemente discute com eles e com os professores, se opõe a realizar o que é solicitado e tem dificuldade em seguir regras. Esse padrão de comportamento sugere:
Provas
Paciente do sexo masculino, 7 anos, admitido no hospital com quadro de cefaleia e diplopia cuja investigação com ressonância magnética mostrou se tratar provavelmente de um meduloblastoma. No que se refere a essa condição, assinale a alterativa correta.
Provas
Menina de 6 anos é trazida à consulta pelos genitores com queixa de desatenção e dificuldade de aprendizagem. O quadro teve início há três meses, com episódios que duram segundos e são caracterizados por parada do olhar, interrupção das atividades que está executando e posterior retorno sem perda de continuidade. Realizou o eletroencefalograma a seguir.

O tratamento inicial da paciente deve ser com
Provas
Em relação à avaliação da motricidade ocular intrínseca e extrínseca, assinale a alternativa correta.
Provas
Caderno Container