Foram encontradas 500 questões.
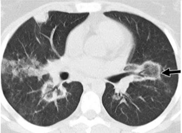
Na imagem de tomografia computadorizada (sem contraste venoso) abaixo, a seta preta aponta para uma área arredondada de opacidade em vidro fosco central circundada por um anel de consolidação do parênquima pulmonar.

Nas alternativas abaixo estão o nome do sinal (seta preta) segundo a “Fleischner Society” e alguns dos principais diagnósticos diferenciais. Assinale a alternativa correta.
Provas
A classificação histológica dos Carcinomas de Células Renais (CCR) é de extrema importância, uma vez que a determinação dos subtipos histológicos tem significativas implicações prognósticas e terapêuticas. Os métodos de imagem têm destacada importância no diagnóstico, estadiamento e seguimento dos pacientes com CCR. As variantes histológicas mais comuns são papilífero, células claras e cromófobo. Sobre os CCR, analise as afirmativas abaixo e dê os valores Verdadeiro (V) ou Falso (F).
( ) Extensão para a gordura perirrenal, para a gordura do seio renal e para o interior das veias renal e cava inferior são achados muito pouco encontrados nos casos de CCR células claras.
( ) A caracterização radiológica dos subtipos de CCRs, seguida ou não de biópsia percutânea confirmatória, é particularmente útil em pacientes sem adequadas condições cirúrgicas, pacientes com doença metastática, pacientes com rim único e lesão central, e em pacientes candidatos a terapia de alvo molecular.
( ) O CCR células claras é o subtipo mais comum, tipicamente apresenta hipersinal em T2 e comportamento hemodinâmico hipervascular, podendo em até cerca de 60% dos casos haver queda da intensidade de sinal na ponderação T1 fora de fase devido à presença de lipídio intracelular.
( ) O CCR papilífero é o segundo subtipo mais comum, tipicamente apresenta baixo sinal em T2 e comportamento hemodinâmico hipovascular.
Assinale a alternativa que apresenta a sequência correta de cima para baixo.
Provas
Mulher de 70 anos foi admitida no Pronto Socorro com queixa de náuseas, distensão e dores abdominais há 4 dias, com parada da eliminação de fatos e fezes há 1 dia. Patologias relatadas pela filha: obesidade, hipertensão arterial sistêmica e miomatose uterina. As imagens abaixo representam a radiografa simples da admissão (decúbito dorsal) e o topograma da tomografia computadorizada realizada 1 dia após.

Diante do quadro clínico e das imagens acima, assinale a alternativa que contém o diagnóstico correto.
Provas
O efeito adverso mais significativo da terapia com metformina é o risco potencial de desenvolvimento de acidose láctica em pacientes com maior susceptibilidade. Apesar de se tratar de um evento raro, a taxa de mortalidade é em torno de 50% nos casos relatados. No entanto, em quase todos estes casos a acidose láctica ocorreu porque uma ou mais contra-indicações ao uso de metformina foram negligenciadas. Quaisquer fatores que provoquem redução da excreção de metformina ou aumento dos níveis séricos de lactato são importantes fatores de risco para o desenvolvimento de acidose láctica. Considere os cuidados que devem ser tomados pelo médico Radiologista em relação aos pacientes em uso de metformina, analise as afirmativas abaixo e dê os valores Verdadeiro (V) ou Falso (F).
( ) Recomenda-se interromper o uso de metformina 24 horas antes e 48 horas após a administração de meio de contraste venoso paramagnético (gadolíneo).
( ) O meio de contraste venoso iodado pode causar lesão renal em pacientes com insuficiência renal aguda e em pacientes com doença renal crônica avançada (estágios IV ou V).
( ) Em pacientes sem evidências de insuficiência renal aguda e com taxa de filtração glomerular ≥ 30 mL/ min/1,73m², não há necessidade de suspender o uso de metformina antes ou após a administração de meio de contraste venoso iodado.
Assinale a alternativa que apresenta a sequência correta de cima para baixo.
Provas
Extravasamento de meio de contraste iodado pode ocorrer durante injeção venosa manual ou com bomba injetora, sob baixo ou alto fluxo, e ocorre mais comumente em acessos venosos mais periféricos. Sinais e sintomas iniciais incluem inchaço, sensação de aperto, vermelhidão, dor e/ou ardência locais. Assinale a alternativa correta quanto à conduta terapêutica inicial a ser tomada pelo médico Radiologista, segundo o American College of Radiology (ACR).
Provas
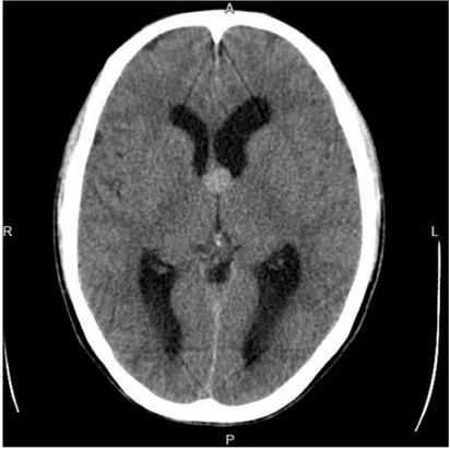
São lesões benignas que correspondem a 0,5% - 1% dos tumores cerebrais primários e a 15% - 20% das massas intraventriculares. Mais de 99% dessas lesões são encontradas no forame de Monro, tipicamente centradas no teto do terceiro ventrículo. A tomografia computadorizada (sem contraste venoso) abaixo é de um homem de 32 anos, previamente assintomático, com queixa atual de forte cefaleia há dois dias, e representa um caso típico destas lesões. Assinale a alternativa correta que contém o diagnóstico provável e complicações que podem ocorrer, até mesmo quando, a lesão tem pequenas dimensões.

Provas
Pais nervosos trazem, em seu colo, lactente de 9 meses com histórico de ter caído da própria altura. Durante exame físico, paciente encontra-se sonolento e com equimoses em todo corpo. É feita a hipótese diagnóstica de maus-tratos. Sobre essa síndrome, analise as afirmativas abaixo e assinale a alternativa correta.
I. Deve-se fazer avaliação radiológica completa do esqueleto a fim de identificar fraturas antigas ou associadas.
II. Alteração do nível de consciência, hemorragia retiniana e hemorragias, contusões e edema de Sistema Nervoso Central, sem fratura de calota craniana, são sinais condizentes com a Síndrome do Bebê Sacudido.
III. A identificação de fraturas de ossos longos, nesse caso, é condizente com esse diagnóstico, visto que, nessa idade, tais fraturas são difíceis de acontecer em quedas da própria altura.
IV. A presença de queimaduras homogêneas, com limite bem definido, são altamente suspeitas de trauma intencional.
Provas
Sobre o Estatuto da Criança e do Adolescente, Lei nº 8069/90, analise minuciosamente todas as afirmativas abaixo e assinale a alternativa correta.
I. O artigo 245 prevê multa ao médico que deixar de comunicar à autoridade competente casos de que tenha conhecimento envolvendo maus-tratos à Criança e ao Adolescente.
II. Apenas os casos confirmados de maus-tratos contra Criança ou Adolescente devem ser comunicados ao Conselho Tutelar.
III. O artigo 16 garante o direito à liberdade de opinião e expressão da Criança e Adolescente.
IV. Segundo o artigo 49, a morte dos adotantes restabelece o poder familiar dos pais naturais.
Provas
A dermatite atópica é a dermatose mais frequente na infância. Sobre este assunto, analise as afirmativas abaixo e dê valores Verdadeiro (V) ou Falso (F).
( ) Em lactentes, as lesões ocorrem principalmente no triângulo nasolabial, couro cabeludo e em região fexora dos membros.
( ) A infecção secundária por Staphylococcus aureus é muito frequente.
( ) Os hidratantes devem ser aplicados após o banho, com a pele seca.
( ) Os corticoides sistêmicos são uma boa opção de tratamento devido ao baixo risco de efeito rebote após sua suspensão.
Assinale a alternativa que apresenta a sequência correta de cima para baixo.
Provas
As parasitoses intestinais ainda são um sério problema de saúde pública nos países em desenvolvimento. Nesse sentido, analise as afirmativas abaixo sobre as parasitoses intestinais e dê valores Verdadeiro (V) ou Falso (F).
( ) A Síndrome de Loefer ocorre quando há migração errática do parasita para a via respiratória, e pode estar presente na ascaridíase.
( ) A neurocisticercose causada pela Taenia saginata pode causar convulsões.
( ) Uma das manifestações que podem ocorrer na Tricuríase é o prolapso retal.
( ) A hiperinfecção na estrongiloidíase é mais frequente em imunocompetentes.
Assinale a alternativa que apresenta a sequência correta de cima para baixo.
Provas
Caderno Container