Foram encontradas 80 questões.
A respeito da classificação da nefrite lúpica, assinalar a alternativa CORRETA:
Provas
Depressão, vício, compulsão
Duas pesquisas recentes reavivam a memória sobre temas relativos aos chamados transtornos afetivos, felizmente cada vez mais debatidos, mas nem por isso suficientemente esclarecidos.
Menos mal que compulsão, ansiedade, depressão, assim como outras particularidades da mente humana, tenham deixado, há bom tempo, de ser classificadas como psicoses, loucura. Muito embora tomar remédio de "tarja preta" siga sendo um estigma alimentado por indivíduos preconceituosos e/ou mal informados.
Mas o fato é que duas pesquisas nos remetem ao universo das compulsões e da depressão. Começando por esta última, um estudo realizado pelo Medical Research Council, em Londres, demonstrou que casais que concebem filhos possuem maiores riscos de desenvolver depressão, principalmente no primeiro ano de vida da criança.
Note bem: casais. Não é o caso, portanto, da conhecida depressão pós-parto que acomete as mulheres recém-saídas do episódio(I), sem dúvida nenhuma, traumático (seja qual for o grau do trauma) de dar à luz uma criança, com toda a dor, a angústia, o medo e também a euforia e a felicidade que isso propicia. Não é difícil entender, assim, que uma mulher possa mergulhar em estado depressivo, chegando, em muitos casos, a rejeitar o filho, quando não colocando a vida deste em risco.
Mas a "novidade" aqui é a constatação segundo a qual o pai também se deprime. Menos, claro, que a mulher (1/3 das mães, contra 1/5 dos pais), mas também pode enfrentar sintomas como choro e tristeza sem motivo, irritabilidade, intolerância em relação ao parceiro, insônia e agressividade.
O estudo relaciona, como justificativa para o advento do transtorno, a mudança da rotina do casal, a inexperiência em lidar com um recém-nascido, a diminuição do período de sono e das relações íntimas com a parceira, ansiedade (medo) em relação ao futuro. Mas não leva em consideração, o que não nos impede de especular a respeito, se este homem aqui já tinha algum tipo de propensão à depressão(II), servindo a chegada do filho apenas de gatilho para que os problemas se desencadeassem de vez.
Esta pesquisa é útil, sem dúvida, para ampliar o conhecimento sobre este mal, contribuindo para que as barreiras do entendimento sejam ampliadas e do preconceito, derrubadas.
Não é possível que a depressão ainda esteja, para muita gente, em um dos extremos: frescura ou loucura. Ela está arraigada na sociedade contemporânea como uma alteração de comportamento e, assim, precisa ser compreendida e tratada em nome da qualidade de vida.
(...)
Luiz Caversan, Folha.com. 25-9-2010.
Analisar os itens abaixo:
I - "Note bem: casais. Não é o caso, portanto, da conhecida depressão pós-parto que acomete as mulheres recém-saídas do episódio...”
II - “Mas não leva em consideração, o que não nos impede de especular a respeito, se este homem aqui já tinha algum tipo de propensão à depressão...”
Os termos sublinhados, chamados conjunções, podem ser substituídos, sem alteração semântica, por:
Provas
Considerar a seguinte tabela:
| Motivo da Glosa | Fundamentação Legal para Referência | Tipo de Glosa |
| Ausência de | Glosa |
É Fundamentação Legal para a Referência:
I - Lei nº 8.429/92, art. 5º.
II - Código de Ética Médica, art. 87.
III - Lei. Nº 8.078/90, art. 42.
Estão CORRETOS:
Provas
- SUSLei 8.080/1990: Lei Orgânica da SaúdeSistema Único de SaúdeArts. 8º ao 14-B: Organização, Direção e Gestão
Analisar os itens abaixo:
I - Os cargos e funções de chefia, direção e assessoramento, no âmbito do Sistema Único de Saúde (SUS), só poderão ser exercidos em regime de tempo integral.
II - Os servidores que legalmente acumulam dois cargos ou empregos poderão exercer suas atividades em mais de um estabelecimento do Sistema Único de Saúde (SUS) inclusive nos casos de ocupantes de cargos ou função de chefia, direção ou assessoramento.
Provas
Depressão, vício, compulsão
Duas pesquisas recentes reavivam a memória sobre temas relativos aos chamados transtornos afetivos, felizmente cada vez mais debatidos, mas nem por isso suficientemente esclarecidos.
Menos mal que compulsão, ansiedade, depressão, assim como outras particularidades da mente humana, tenham deixado, há bom tempo, de ser classificadas como psicoses, loucura. Muito embora tomar remédio de "tarja preta" siga sendo um estigma alimentado por indivíduos preconceituosos e/ou mal informados.
Mas o fato é que duas pesquisas nos remetem ao universo das compulsões e da depressão. Começando por esta última, um estudo realizado pelo Medical Research Council, em Londres, demonstrou que casais que concebem filhos possuem maiores riscos de desenvolver depressão, principalmente no primeiro ano de vida da criança.
Note bem: casais. Não é o caso, portanto, da conhecida depressão pós-parto que acomete as mulheres recém-saídas do episódio, sem dúvida nenhuma, traumático (seja qual for o grau do trauma) de dar à luz uma criança, com toda a dor, a angústia, o medo e também a euforia e a felicidade que isso propicia. Não é difícil entender, assim, que uma mulher possa mergulhar em estado depressivo, chegando, em muitos casos, a rejeitar o filho, quando não colocando a vida deste em risco.
Mas a "novidade" aqui é a constatação segundo a qual o pai também se deprime. Menos, claro, que a mulher (1/3 das mães, contra 1/5 dos pais), mas também pode enfrentar sintomas como choro e tristeza sem motivo, irritabilidade, intolerância em relação ao parceiro, insônia e agressividade.
O estudo relaciona, como justificativa para o advento do transtorno, a mudança da rotina do casal, a inexperiência em lidar com um recém-nascido, a diminuição do período de sono e das relações íntimas com a parceira, ansiedade (medo) em relação ao futuro. Mas não leva em consideração, o que não nos impede de especular a respeito, se este homem aqui já tinha algum tipo de propensão à depressão, servindo a chegada do filho apenas de gatilho para que os problemas se desencadeassem de vez.
Esta pesquisa é útil, sem dúvida, para ampliar o conhecimento sobre este mal, contribuindo para que as barreiras do entendimento sejam ampliadas e do preconceito, derrubadas.
Não é possível que a depressão ainda esteja, para muita gente, em um dos extremos: frescura ou loucura. Ela está arraigada na sociedade contemporânea como uma alteração de comportamento e, assim, precisa ser compreendida e tratada em nome da qualidade de vida.
(...)
Luiz Caversan, Folha.com. 25-9-2010.
Quanto à ideia central do texto, assinalar a alternativa CORRETA:
Provas
Marcar C para as afirmativas Certas, E para as Erradas e, após, assinalar a alternativa que apresenta a sequência CORRETA:
( ) Os valores glosados do SIH/SIA são calculados com base na tabela de procedimentos vigente no mês anterior.
( ) O registro da glosa será efetuado com base no art. 11 da IN/TCU nº 35, de 23/8/2000.
( ) Na fundamentação legal deverá ser citada a legislação referente ao objeto da auditoria.
Provas
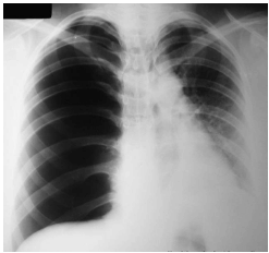
Analisar o seguinte Raio X de tórax de um paciente com história de ferimento por arma branca em tórax à direita, dando entrada na emergência com dor torácica, dispneia intensa, hipotensão e confusão mental:

Assinalar a alternativa cuja conduta é preconizada para esse momento:
Provas
Assinalar a alternativa de construção CORRETA:
Provas
Depressão, vício, compulsão
Duas pesquisas recentes reavivam a memória sobre temas relativos aos chamados transtornos afetivos, felizmente cada vez mais debatidos, mas nem por isso suficientemente esclarecidos.
Menos mal que compulsão, ansiedade, depressão, assim como outras particularidades da mente humana, tenham deixado, há bom tempo, de ser classificadas como psicoses, loucura. Muito embora tomar remédio de "tarja preta" siga sendo um estigma alimentado por indivíduos preconceituosos e/ou mal informados.
Mas o fato é que duas pesquisas nos remetem ao universo das compulsões e da depressão. Começando por esta última, um estudo realizado pelo Medical Research Council, em Londres, demonstrou que casais que concebem filhos possuem maiores riscos de desenvolver depressão, principalmente no primeiro ano de vida da criança.
Note bem: casais. Não é o caso, portanto, da conhecida depressão pós-parto que acomete as mulheres recém-saídas do episódio, sem dúvida nenhuma, traumático (seja qual for o grau do trauma) de dar à luz uma criança, com toda a dor, a angústia, o medo e também a euforia e a felicidade que isso propicia. Não é difícil entender, assim, que uma mulher possa mergulhar em estado depressivo, chegando, em muitos casos, a rejeitar o filho, quando não colocando a vida deste em risco.
Mas a "novidade" aqui é a constatação segundo a qual o pai também se deprime. Menos, claro, que a mulher (1/3 das mães, contra 1/5 dos pais), mas também pode enfrentar sintomas como choro e tristeza sem motivo, irritabilidade, intolerância em relação ao parceiro, insônia e agressividade.
O estudo relaciona, como justificativa para o advento do transtorno, a mudança da rotina do casal, a inexperiência em lidar com um recém-nascido, a diminuição do período de sono e das relações íntimas com a parceira, ansiedade (medo) em relação ao futuro. Mas não leva em consideração, o que não nos impede de especular a respeito, se este homem aqui já tinha algum tipo de propensão à depressão, servindo a chegada do filho apenas de gatilho para que os problemas se desencadeassem de vez.
Esta pesquisa é útil, sem dúvida, para ampliar o conhecimento sobre este mal, contribuindo para que as barreiras do entendimento sejam ampliadas e do preconceito, derrubadas.
Não é possível que a depressão ainda esteja, para muita gente, em um dos extremos: frescura ou loucura. Ela está arraigada na sociedade contemporânea como uma alteração de comportamento e, assim, precisa ser compreendida e tratada em nome da qualidade de vida.
(...)
Luiz Caversan, Folha.com. 25-9-2010.
“Começando por esta última, um estudo realizado pelo Medical Research Council, em Londres, demonstrou..." O sublinhado no fragmento transmite noção de:
Provas
É direito do médico:
Provas
Caderno Container