Foram encontradas 1.977 questões.
A malária representa importante problema de saúde pública global e, segundo a OMS, atinge milhões de pessoas em todo o mundo. De acordo com o Guia de Tratamento da Malária no Brasil (2021), o tratamento de formas mistas não graves de malária por Plasmodium falciparum e Plasmodium vivax em não gestantes e sem deficiência de G6PD deve incluir:
Provas
Os profissionais de saúde devem manter um alto índice de suspeita para o diagnóstico das imunodeficiências primárias ou congênitas para tratamento e profilaxia precoces, antes que danos irreversíveis possam ocorrer. A imunodeficiência congênita mais comum em crianças é:
Provas
Leia o caso clínico a seguir.
Paciente do sexo masculino, de 42 anos, procura atendimento médico por queixa de sonolência diurna e roncos. Refere dormir durante o trabalho, ao assistir televisão e até mesmo ao dirigir. Alega cefaleia frequentes, pesadelos à noite. Nega patologias prévias, nega tabagismo. Alega etilismo nos fins de semanas. Ao exame: PA 160x100 mmHg, FC: 78 BPM, FR: 20 IRM, IMC 34 kg/m². Exame físico normal. Gasometria arterial normal.
Nesse caso, qual diagnóstico provável para esse paciente?
Provas
Leia o caso clínico a seguir.
Trabalhador rural, do sexo masculino, de 40 anos, relata sensação de fisgada em pé direito há duas horas durante o serviço de aragem na cidade de origem. Percebeu apenas movimento entre os arbustos, dois ferimentos puntiformes e dor no local, mas não visualizou as características do animal. Procurou atendimento médico em sua cidade, quando já apresentava-se com edema 3+/4+ até a raiz da coxa direita, equimose, dor intensa, urina diminuída, sangramento gengival e tontura.
O possível diagnóstico e o tratamento indicado, neste caso, são respectivamente,
Provas
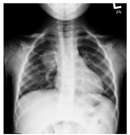
Leia o caso clínico a seguir.
Paciente de sete anos, do sexo masculino, apresenta tosse e febre há cinco dias. Ao exame físico, observa-se prostração e frequência respiratória de 48 IRPM. À ausculta, nota-se presença de estertores finos (crepitantes) em campo médio direito. A radiografia de tórax em PA é evidenciada a seguir.

Nesse caso, a etiologia é:
Provas
Leia o caso clínico a seguir para responder às questões de 38 a 40.
Paciente do sexo feminino, de 48 anos, procura atendimento médico para checkup pulmonar. Fuma desde os 12 anos de idade, cerca de 20 cigarros ao dia. Sabe dos males causados pelo cigarro, mas ainda não se sente preparada para cessar o tabagismo. Alega fumar imediatamente ao acordar, sendo este o cigarro que lhe dá maior satisfação. Consegue ficar sem fumar em locais proibidos, mas alega fumar mesmo quando está doente. Refere fumar principalmente à noite.
Qual terapêutica inicial é indicada para essa paciente?
Provas
Leia o caso clínico a seguir para responder às questões de 38 a 40.
Paciente do sexo feminino, de 48 anos, procura atendimento médico para checkup pulmonar. Fuma desde os 12 anos de idade, cerca de 20 cigarros ao dia. Sabe dos males causados pelo cigarro, mas ainda não se sente preparada para cessar o tabagismo. Alega fumar imediatamente ao acordar, sendo este o cigarro que lhe dá maior satisfação. Consegue ficar sem fumar em locais proibidos, mas alega fumar mesmo quando está doente. Refere fumar principalmente à noite.
Qual grau de motivação dessa paciente de acordo com Prochaska e DiClemente?
Provas
Leia o caso clínico a seguir.
Paciente do sexo feminino, de 25 anos, gestante de 30 semanas, procura atendimento em pré-natal especializado. Refere um teste da mamãe positivo para hepatite B (VHB), demais sorologias negativas e exames de função renal e hepática normais. Os resultados de exames recentes solicitados pelo obstetra são descritos a seguir: HBsAg reagente, AntiHBc total reagente, HBeAg reagente, TGO 20, TGP 40, creatinina 0,6.
De acordo com o Protocolo Clínico e Diretrizes Terapêuticas para Prevenção da Transmissão Vertical de HIV, Sífilis e Hepatites Virais (2019), a conduta, nesse caso, é:
Provas
Leia o caso clínico a seguir para responder às questões de 38 a 40.
Paciente do sexo feminino, de 48 anos, procura atendimento médico para checkup pulmonar. Fuma desde os 12 anos de idade, cerca de 20 cigarros ao dia. Sabe dos males causados pelo cigarro, mas ainda não se sente preparada para cessar o tabagismo. Alega fumar imediatamente ao acordar, sendo este o cigarro que lhe dá maior satisfação. Consegue ficar sem fumar em locais proibidos, mas alega fumar mesmo quando está doente. Refere fumar principalmente à noite.
De acordo com teste de Fagerstrom, qual grau de dependência à nicotina dessa paciente?
Provas
Leia o caso clínico a seguir.
Paciente de sete anos, do sexo masculino, portador de anemia falciforme, vem à consulta por apresentar palidez mais acentuada. Também apresentou febre de até 38,2 ºC, por dois dias seguidos, com melhora dois dias antes do atendimento. Ao exame físico, o paciente se apresenta descorado +++/4+, sem visceromegalias ou outras alterações ao exame físico. Hemograma: hemoglobina 4,5 g/dl; hematócrito 14,8% hipocromia+; microcitose+; VCM 80; HCM 26; reticulócitos 0,7%; leucócitos 7.600/mm³ com 2% bastonetes; 65% segmentados; 1% monócito; 2% basófilos; 30% linfócitos; plaquetas: 326.000/mm³.
Nesse caso, a hipótese diagnóstica é:
Provas
Caderno Container