Foram encontradas 739 questões.
Mulher de 85 anos, com histórico de demência, é tratada com antibiótico oral para infecção urinária. Cerca de 5 dias depois, ela evolui com queda do estado geral e diarreia aquosa. Exame físico: desidratada 3+/4; pressão arterial: 92 x 58 mmHg; frequência cardíaca: 105 bpm; cardiopulmonar sem alteração relevante; abdome: distendido com dor difusa à palpação e redução dos ruídos intestinais; toque retal sem melena ou hematoquezia. Exames séricos: hemoglobina: 12,1 g/dL; leucócitos: 12 200/mm3; plaquetas: 254 000/mm3; proteína C reativa muito elevada; creatinina: 1,3 mg/dL. Hemoculturas são coletadas, assim como exames fecais. A radiografia de abdome é mostrada a seguir.

Considerando a principal hipótese diagnóstica, além de expansão volêmica, o tratamento inicial recomendado é
Provas
É correto afirmar, acerca da cefaleia durante a gravidez, que
Provas
Mulher de 34 anos refere quadro de cólicas abdominais intermitentes e episódios de angioedema, no passado, de etiologia indeterminada. Não há urticária com esses episódios. Durante a consulta, ela relata vários episódios de inchaço de lábio e língua. Refere que tentou difenidramina e corticoide, sem melhora significativa. Os episódios de edema desaparecem sem intervenção após 3 a 4 dias.
O exame laboratorial de maior utilidade para estabelecer o diagnóstico é
Provas
Homem de 37 anos apresenta quadro de azia, desconforto epigástrico pós-prandial e náuseas ocasionais nos últimos 2 meses. Nega comorbidades, viagem recente, perda de peso, melena, tabagismo, alcoolismo ou uso de anti-inflamatórios. Refere que tem usado omeprazol com melhora parcial. Exceto por leve desconforto à palpação do epigástrio, o exame físico é normal.
Nesse momento, constitui a conduta correta no manejo desse paciente:
Provas
Mulher de 67 anos com histórico de hipertensão arterial, diabete melito e doença arterial coronariana crônica procura assistência médica por cólica renal. Após receber escopolamina e dipirona intravenosos, ela evoluiu com mal- -estar, boca seca e palpitações. A frequência cardíaca passou de 78 bpm para 162 bpm. Nesse momento, exceto pela palpitação, a paciente está bem, com pressão arterial de 138 x 76 mmHg e ausculta pulmonar normal. O ECG realizado em seguida é mostrado a seguir.

Nessa circunstância, a conduta de escolha é
Provas
Mulher de 78 anos é atendida em consulta de retorno com o relato de piora da dispneia aos esforços. O histórico é notável para artrite reumatoide tratada com anti-TNF alfa (etarnecepte) que controlou suas manifestações articulares. Ela já tomou prednisona por muitos anos e sofreu várias fraturas por compressão vertebral com cifoescoliose resultante. O teste de função pulmonar mostra: VEF1/CVF de 82%; CVF de 58% do previsto.
Qual o achado adicional que sugere que a dispneia pode estar relacionada à doença pulmonar intersticial associada?
Provas
Paciente de 27 anos com lúpus eritematoso sistêmico e púrpura trombocitopênica imunológica apresenta uma contagem de plaquetas de 5 000/mm3.
O sintoma de apresentação mais provável dessa paciente é:
Provas
Homem de 22 anos é atendido em consulta de retorno. Ele refere que vem apresentando ganho de peso, sonolência, letargia e intolerância ao frio. O histórico é relevante para hipotireoidismo primário. Relata que usa tiroxina 125 microgramas, uma vez ao dia. Os hormônios de tireoide realizados há 3 dias são: T4 livre: 1,77 ng/dL (normal: 0,7 a 1,8); T3 livre: 0,49 ng/dL (normal: 0,27 a 0,5); TSH: 8,2 mU/L (normal: 0,35 a 5,5).
Considerando a principal hipótese diagnóstica, a conduta correta é:
Provas
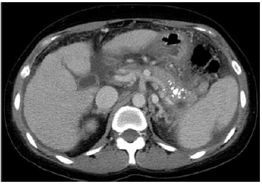
Observe a a tomografia de abdome sem contraste mostrada a seguir:

Considerando a principal alteração encontrada na tomografia de abdome sem contraste apresentada, assinale a alternativa que constitui a hipótese diagnóstica mais provável.
Provas
Assinale a alternativa que apresenta, corretamente, uma situação em que existemaior risco do paciente apresentar novas convulsões não provocadas.
Provas
Caderno Container