Foram encontradas 1.440 questões.
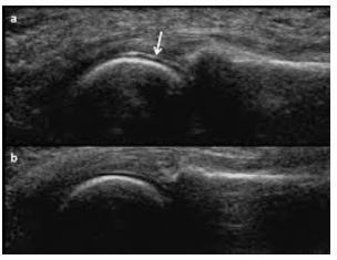
Assinale a alternativa que apresente o
método de imagem que pode auxiliar no
diagnóstico da gota e como se denomina o
sinal que é considerado específico.


Provas
Questão presente nas seguintes provas
Assinale a alternativa correta sobre artrite
séptica não gonocócica.
Provas
Questão presente nas seguintes provas
A respeito da relação entre Artrite
Reumatoide (AR) e risco cardiovascular, é
correto afirmar que
Provas
Questão presente nas seguintes provas
Um dos exames imprescindíveis para o
diagnóstico do Lúpus Eritematoso Sistêmico
(LES) é o FAN. Sobre esse exame, assinale a
alternativa correta.
Provas
Questão presente nas seguintes provas
A respeito do paciente politraumatizado,
assinale a alternativa correta.
Provas
Questão presente nas seguintes provas
Segundo a classificação de Salter-Harris, a
fratura que se estende da superfície articular
até a metáfise é considerada
Provas
Questão presente nas seguintes provas
Paciente, 18 anos, vítima de acidente de moto
x carro, relata dor intensa no joelho direito,
com sensibilidade e amplitude de movimento
presentes, dor ao movimento e instabilidade
do joelho. Suspeita-se de fratura de joelho
associada à lesão de LCA e menisco medial.
São exames complementares que podem ser
solicitados para fechar o diagnóstico das
suspeitas diagnósticas, EXCETO
Provas
Questão presente nas seguintes provas
Sobre a artrite séptica do quadril, assinale a
alternativa correta.
Provas
Questão presente nas seguintes provas
A respeito da coluna vertebral e suas
deformidades, assinale a alternativa correta.
Provas
Questão presente nas seguintes provas
Sobre o pé torto congênito, é correto afirmar
que
Provas
Questão presente nas seguintes provas
Cadernos
Caderno Container