Foram encontradas 1.440 questões.
Os valores de referência para definição de hipertensão arterial pelas medidas de MAPA durante o sono e MRPA são, respectivamente:
Provas
Os surtos inflamatórios da dermatite atópica podem ser controlados pelo uso correto dos medicamentos tópicos. Sobre o controle das crises, é correto afirmar que
Provas
A intensidade do feixe de raios-x depende de fatores operacionais e do equipamento. Qual item NÃO influencia na intensidade do feixe?
Provas
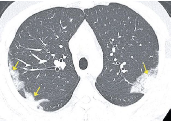
Paciente masculino, de 41 anos, apresentando tosse, febre e dispneia há 5 dias, realizou a seguinte tomografia computadorizada e aguarda resultado do PCR de swab nasal. Sobre a possibilidade diagnóstica de COVID-19, é correto afirmar que

Provas
Sobre a linfangioleiomiomatose, assinale a alternativa INCORRETA.
Provas
Quanto ao exame físico da coluna lombar, assinale a alternativa correta.
Provas
De acordo com a classificação das espondiloartrites (EpA), segundo o critério ASAS, assinale a alternativa correta.
Provas
Paciente em pós-operatório de transplante renal, doador falecido, com rim transplantado em fossa ilíaca direita com anastomose terminolateral arterial e venosa. Evolui no pós-operatório de 30 dias com piora da função renal, diminuição do débito urinário e a imagem de tomografia demonstra presença de linfocele com compressão do hilo renal e ureter, com dilatação pielocalicinal do rim transplantado. Qual é a melhor opção terapêutica para esse caso?
Provas
Provas
Provas
Caderno Container