Magna Concursos

Foram encontradas 1.195 questões.

3092503 Ano: 2023
Disciplina: Direito Tributário
Banca: Darwin
Orgão: Pref. Lagoa Itaenga-PE
Provas:
Do CTN, A certidão negativa será sempre expedida nos termos em que tenha sido requerida e será fornecida dentro de quantos dias da data da entrada do requerimento na repartição?
 

Provas

Questão presente nas seguintes provas
3092502 Ano: 2023
Disciplina: Administração de Recursos Materiais
Banca: Darwin
Orgão: Pref. Lagoa Itaenga-PE
Provas:
A decisão acerca do dimensionamento do estoque de segurança em órgãos públicos é uma tarefa do gestor de estoques, que leva em consideração aspectos tais como, EXCETO:
 

Provas

Questão presente nas seguintes provas
3092501 Ano: 2023
Disciplina: Administração de Recursos Materiais
Banca: Darwin
Orgão: Pref. Lagoa Itaenga-PE
Provas:
Das Atividades na gestão de materiais, refere-se às funções da Gestão de estoques, EXCETO:
 

Provas

Questão presente nas seguintes provas
3092500 Ano: 2023
Disciplina: Segurança Pública
Banca: Darwin
Orgão: Pref. Lagoa Itaenga-PE
Provas:
Da Lei nº 13.022, de 8 de agosto de 2014, é INCORRETO afirmar:
 

Provas

Questão presente nas seguintes provas
3092499 Ano: 2023
Disciplina: Segurança Pública
Banca: Darwin
Orgão: Pref. Lagoa Itaenga-PE
Provas:
São medidas básicas a serem tomadas em caso de assaltos, EXCETO:
 

Provas

Questão presente nas seguintes provas
3092497 Ano: 2023
Disciplina: Radiologia
Banca: Darwin
Orgão: Pref. Lagoa Itaenga-PE
Provas:
Quanto à fluoroscopia é INCORRETO afirmar:
 

Provas

Questão presente nas seguintes provas
3092496 Ano: 2023
Disciplina: Radiologia
Banca: Darwin
Orgão: Pref. Lagoa Itaenga-PE
Provas:
O raio-x é uma radiação eletromagnética, portanto uma prima em primeiro grau da luz, apenas com comprimento de onda muito menor e freqüência muito maior, por isso tem quase todas as suas propriedades semelhantes à luz. Apenas algumas características são diferentes que inclui, EXCETO:
 

Provas

Questão presente nas seguintes provas
3092495 Ano: 2023
Disciplina: Radiologia
Banca: Darwin
Orgão: Pref. Lagoa Itaenga-PE
Provas:
Triângulo de Codman é um termo usado para descrever a área triangular de novo osso subperiosteal que é criada quando uma lesão, frequentemente um tumor, eleva o periósteo para longe do osso. As principais causas deste sinal são, EXCETO:
 

Provas

Questão presente nas seguintes provas
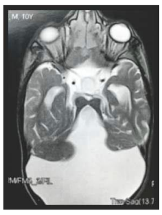
3092494 Ano: 2023
Disciplina: Radiologia
Banca: Darwin
Orgão: Pref. Lagoa Itaenga-PE
Provas:

A imagem abaixo apresenta:



Enunciado 3377995-1

 

Provas

Questão presente nas seguintes provas
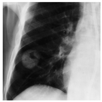
3092493 Ano: 2023
Disciplina: Radiologia
Banca: Darwin
Orgão: Pref. Lagoa Itaenga-PE
Provas:

Enunciado 3377994-1




A imagem apresenta sinais de:

 

Provas

Questão presente nas seguintes provas