Foram encontradas 859 questões.
Kauã tem 8 anos de idade e está previamente hígido. É trazido à consulta médica com queixa de cefaleia holocraniana, em aperto, de início há 3 semanas, de média para forte intensidade e piora ao longo do dia. Há uma semana, começou a apresentar despertar noturno, com náuseas e mudança de comportamento. Exame físico: FR = 12 irpm; FC = 70 bpm; PA = 130 X 90 mmHg (acima do percentil 95).
Nesse caso, qual é a conduta a ser adotada?
Provas
Analise o caso clínico a seguir.
Paciente de 48 anos de idade, sexo masculino, portador de DM2 diagnosticado recentemente, foi admitido em uma UPA com quadro de desidratação +++, acidose ++ e hiperglicemia leve após ter corrido uma prova de meia maratona.
Considerando essas informações, esse paciente faz uso da seguinte classe de medicamento oral para diabetes:
Provas
Provas
Provas
Provas
Analise o caso clínico a seguir.
Paciente do sexo masculino, 69 anos de idade, portador de diabetes tipo 2 há 10 anos, hipertenso, portador de insuficiência cardíaca com fração de ejeção reduzida, com dispneia aos médios esforços, usuário de metformina 1.000 mg/dia, losartan 100 mg/dia, carvedilol 25 mg/dia, atorvastatina 20 mg/dia, AAS 100 mg/dia. Realizou os seguintes exames: glicose de jejum = 192 mg/dL, HbA1c = 8,2%, creatinina = 2,8 mg/dL, TFG = 25 mL/min.
Em relação ao tratamento do diabetes, qual é a melhor conduta a ser adotada, considerando a suspensão da metformina?
Provas
Provas
Provas
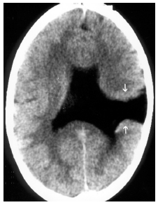
Diante desse quadro neurorradiológico e da imagem apresentada, qual é o diagnóstico?
Provas
Analise o caso clínico a seguir.
Paciente do sexo feminino, 54 anos idade, apresentou nódulo tireoidiano à palpação cervical. É assintomática. Nega história prévia de radiação ou história familiar de câncer de tireoide. O nódulo é móvel e indolor à palpação. Não há linfonodomegalias. As provas de função tireoidianas estão normais, e a ultrassonografia cervical mostra-se tratar de um nódulo único de 2 cm no maior diâmetro, hipoecoico, de contornos regulares, com fluxo periférico e central ao Doppler. Foi realizada punção aspirativa por agulha fina, cujo resultado foi presença de atipias de significado indeterminado.
Nesse caso, qual é a melhor conduta a ser adotada?
Provas
Caderno Container