Foram encontradas 1.501 questões.
O médio solicitou ao paciente Raio X da
Tíbia/Fíbula. Nessa situação, o profissional
deverá coletar imagem da seguinte região:
Provas
Questão presente nas seguintes provas
Em radiologia, a “Incidência de Stecher” è
utilizada para:
Provas
Questão presente nas seguintes provas
O médico solicitou Raio X do osso hioide.
Considerando a imagem a seguir, a região do
hioide é indicada pelo seguinte número:


Provas
Questão presente nas seguintes provas
Durante a radiografia torácica convencional de
um paciente, observou-se um aparente aumento
no
tamanho
do
coração,
sugerindo
cardiomegalia. No entanto, o técnico identificou
que essa aparência era, na realidade, um artefato,
visto que:
Provas
Questão presente nas seguintes provas
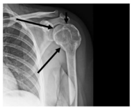
A imagem apresenta uma radiografia do ombro esquerdo do paciente.

Fonte: Guilherme Pioli Resende et http://bradcasesold.brad.org.br/pt/Cases/CaseDetails/232 al (2021).
A região assinalada na imagem é denominada:
Provas
Questão presente nas seguintes provas
Considere o Raio X do tórax e as estimativas apresentadas na imagem:

O valor do índice cardiotorácico será de aproximadamente:
Provas
Questão presente nas seguintes provas
Sobre exames radiológicos em gestantes, analise
as afirmativas a seguir:
I. A exposição à radiação in utero pode acarretar vários riscos ao feto, incluindo a indução de câncer, malformações congênitas e retardo mental.
II. Quando a exposição fetal é inevitável, como em alguns exames específicos, doses na faixa de 45 a 75 rad podem ser consideradas.
III. A exposição do feto à radiação proveniente dos procedimentos diagnósticos raramente constitui causa direta de interrupção da gravidez.
Está correto o que se afirma em:
I. A exposição à radiação in utero pode acarretar vários riscos ao feto, incluindo a indução de câncer, malformações congênitas e retardo mental.
II. Quando a exposição fetal é inevitável, como em alguns exames específicos, doses na faixa de 45 a 75 rad podem ser consideradas.
III. A exposição do feto à radiação proveniente dos procedimentos diagnósticos raramente constitui causa direta de interrupção da gravidez.
Está correto o que se afirma em:
Provas
Questão presente nas seguintes provas
O médico solicitou ao paciente uma radiografia
torácica para a avaliação do coração e dos
grandes vasos. Nesse contexto, para minimizar
distorções e reduzir a magnificação, a distância
mínima recomendada entre a fonte do tubo de
raios X e o filme é de:
Provas
Questão presente nas seguintes provas
Os medicamentos termolábeis são produtos
sensíveis às variações de temperatura. Por isso,
devem ser armazenados sob refrigeração, de
acordo com as recomendações do fabricante.
Com relação as insulinas, qual a temperatura
adequada de armazenamento em uma farmácia
hospitalar?
Provas
Questão presente nas seguintes provas
Nos processos de mistura em farmacotécnica,
vários procedimentos podem ser realizados com
os fármacos, substâncias sólidas ou líquidas, com
a intenção de obter uma forma farmacêutica
homogênea e uniforme. Correlacione o
procedimento â sua definição e assinale a
alternativa correta.
1 – Tamisação
2 – Pulverização
3 – Levigação
( ) Redução do tamanho das partículas de um produto sólido com o auxílio do gral e do pistilo.
( ) Separação granulométrica dos pós.
( ) Trituração realizada a úmido com auxílio do gral e do pistilo.
1 – Tamisação
2 – Pulverização
3 – Levigação
( ) Redução do tamanho das partículas de um produto sólido com o auxílio do gral e do pistilo.
( ) Separação granulométrica dos pós.
( ) Trituração realizada a úmido com auxílio do gral e do pistilo.
Provas
Questão presente nas seguintes provas
Cadernos
Caderno Container