Foram encontradas 70 questões.
Mulher de 44 anos, que trabalha como professora em escola
pública, passou a apresentar nos últimos 9 meses humor
deprimido, apatia, esgotamento físico, retraimento, atitude
negativa em relação a si mesmo, cansaço emocional e falta de
perspectiva, levando à perda de motivação e à tendência para
sentimentos de inadequação e fracasso.
Avaliada pelo médico do trabalho foi caracterizada com a tríade esgotamento emocional, despersonalização e sensação de fim da realização pessoal.
Assinale a opção que apresenta o diagnóstico para o caso acima.
Avaliada pelo médico do trabalho foi caracterizada com a tríade esgotamento emocional, despersonalização e sensação de fim da realização pessoal.
Assinale a opção que apresenta o diagnóstico para o caso acima.
Provas
Questão presente nas seguintes provas
3381616
Ano: 2024
Disciplina: Segurança e Saúde no Trabalho (SST)
Banca: FGV
Orgão: Pref. Macaé-RJ
Disciplina: Segurança e Saúde no Trabalho (SST)
Banca: FGV
Orgão: Pref. Macaé-RJ
Provas:
O fundamento para a saúde e a segurança do trabalhador está
estabelecido na Constituição Federal de 1988, conforme disposto
no Art. 1º, incisos III e IV, que trata da dignidade da pessoa humana
e dos valores sociais do trabalho. Igualmente, no Art. 7º da Carta
Maior, encontram-se normas que protegem o empregado.
Sobre os direitos dos trabalhadores urbanos e rurais, conforme o Art. 7º da Constituição Federal, além de outros que visem à melhoria de sua condição social, assinale a afirmativa correta.
Sobre os direitos dos trabalhadores urbanos e rurais, conforme o Art. 7º da Constituição Federal, além de outros que visem à melhoria de sua condição social, assinale a afirmativa correta.
Provas
Questão presente nas seguintes provas
Um homem de 40 anos, que trabalha com carga e descarga de
caminhões em distribuidora de material de construção, procurou
o médico do trabalho com queixa de dor no membro superior
direito. Ao exame, foram detectados testes de Jobe e Neer
positivos.
Assinale a opção que apresenta o provável diagnóstico.
Assinale a opção que apresenta o provável diagnóstico.
Provas
Questão presente nas seguintes provas
Anemia aplástica é um grupo de distúrbios da medula óssea
caracterizado por pancitopenia periférica e medula desprovida de
células hematopoéticas, mas que mantém a arquitetura medular
básica, com substituição das células hematopoéticas por gordura.
A etiologia ocupacional tem sido descrita em trabalhadores expostos a diversos produtos tóxicos.
Assinale a opção que apresenta a substância mais comumente associada à anemia aplásica de origem ocupacional.
A etiologia ocupacional tem sido descrita em trabalhadores expostos a diversos produtos tóxicos.
Assinale a opção que apresenta a substância mais comumente associada à anemia aplásica de origem ocupacional.
Provas
Questão presente nas seguintes provas
O diagnóstico de esquizofrenia é clínico e baseado nos critérios da
CID-10. Essa classificação descreve critérios gerais que precisam
ser atendidos, sendo o primeiro deles a presença de sintomas, e o
segundo, a exclusão de determinadas condições.
Embora não se identifique qualquer sintoma patognomônico, existe uma hierarquia de sintomas. Para fins do diagnóstico de esquizofrenia, exige-se a presença de pelo menos uma das síndromes, sintomas ou sinais de um grupo de maior hierarquia, ou pelo menos dois dos sinais e sintomas de um grupo de menor hierarquia.
Assinale a opção que apresenta um critério de menor hierarquia para o diagnóstico de esquizofrenia.
Embora não se identifique qualquer sintoma patognomônico, existe uma hierarquia de sintomas. Para fins do diagnóstico de esquizofrenia, exige-se a presença de pelo menos uma das síndromes, sintomas ou sinais de um grupo de maior hierarquia, ou pelo menos dois dos sinais e sintomas de um grupo de menor hierarquia.
Assinale a opção que apresenta um critério de menor hierarquia para o diagnóstico de esquizofrenia.
Provas
Questão presente nas seguintes provas
A epidemiologia estuda os fenômenos envolvendo saúde, doenças
e suas interações com as populações humanas e o aumento da
incidência de casos de uma doença em um local específico.
Esse fenômeno epidemiológico é definido como
Esse fenômeno epidemiológico é definido como
Provas
Questão presente nas seguintes provas
A dengue é uma doença febril aguda, sistêmica, dinâmica,
debilitante e autolimitada. A maioria dos doentes se recupera,
mas, parte deles pode progredir para formas graves, inclusive
virem a óbito. A quase totalidade dos óbitos por dengue é evitável
e depende, na maioria das vezes, da qualidade da assistência
prestada e organização da rede de serviços de saúde.
Todo indivíduo que apresentar febre (39°C a 40°C) de início repentino e apresentar pelo menos duas das seguintes manifestações - dor de cabeça, prostração, dores musculares e/ou articulares e dor atrás dos olhos – deve procurar imediatamente um serviço de saúde, a fim de obter tratamento oportuno. No entanto, após o período febril deve-se ficar atento. Com o declínio da febre (entre o 3º e o 7º dia do início da doença), sinais de alarme podem estar presentes e marcar o início da piora no indivíduo. Esses sinais indicam o extravasamento de plasma dos vasos sanguíneos e/ou hemorragias.
Assinale a opção que apresenta um sinal de complicação da dengue por provável extravasamento de plasma.
Todo indivíduo que apresentar febre (39°C a 40°C) de início repentino e apresentar pelo menos duas das seguintes manifestações - dor de cabeça, prostração, dores musculares e/ou articulares e dor atrás dos olhos – deve procurar imediatamente um serviço de saúde, a fim de obter tratamento oportuno. No entanto, após o período febril deve-se ficar atento. Com o declínio da febre (entre o 3º e o 7º dia do início da doença), sinais de alarme podem estar presentes e marcar o início da piora no indivíduo. Esses sinais indicam o extravasamento de plasma dos vasos sanguíneos e/ou hemorragias.
Assinale a opção que apresenta um sinal de complicação da dengue por provável extravasamento de plasma.
Provas
Questão presente nas seguintes provas
Trata-se de uma doença zoonótica viral, em que sua transmissão
para humanos pode ocorrer por meio do contato com animal ou
humano infectado ou com material corporal humano contendo o
vírus.
A transmissão entre humanos ocorre principalmente por meio de contato pessoal com secreções respiratórias, lesões de pele de pessoas infectadas ou objetos recentemente contaminados. A erupção geralmente se desenvolve pelo rosto e depois se espalha para outras partes do corpo, incluindo os órgãos genitais. Os casos recentemente detectados apresentaram uma preponderância de lesões na área genital. A erupção cutânea passa por diferentes estágios e tem evolução uniforme, antes de finalmente formar uma crosta, que depois cai. Quando a crosta desaparece, a pessoa deixa de infectar outras pessoas.
Assinale a opção que apresenta a doença acima descrita.
A transmissão entre humanos ocorre principalmente por meio de contato pessoal com secreções respiratórias, lesões de pele de pessoas infectadas ou objetos recentemente contaminados. A erupção geralmente se desenvolve pelo rosto e depois se espalha para outras partes do corpo, incluindo os órgãos genitais. Os casos recentemente detectados apresentaram uma preponderância de lesões na área genital. A erupção cutânea passa por diferentes estágios e tem evolução uniforme, antes de finalmente formar uma crosta, que depois cai. Quando a crosta desaparece, a pessoa deixa de infectar outras pessoas.
Assinale a opção que apresenta a doença acima descrita.
Provas
Questão presente nas seguintes provas
3381609
Ano: 2024
Disciplina: Segurança e Saúde no Trabalho (SST)
Banca: FGV
Orgão: Pref. Macaé-RJ
Disciplina: Segurança e Saúde no Trabalho (SST)
Banca: FGV
Orgão: Pref. Macaé-RJ
Provas:
Sobre a Prevenção e o Controle de Riscos Profissionais causados
pelas Substâncias ou Agentes Cancerígenos, segundo o Decreto nº
157/1991, que promulgou a Convenção nº 139, da Organização
Internacional do Trabalho (OIT), todo membro que ratifique a
presente Convenção deverá
Provas
Questão presente nas seguintes provas
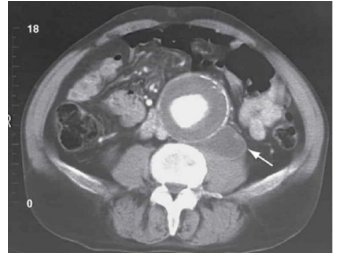
Paciente masculino, 70 anos, tabagista e hipertenso, com histórico
de revascularização miocárdica há 5 anos, deu entrada no serviço
de emergência com dor abdominal com irradiação dorsal de início
agudo há duas horas, sensação de plenitude, sem melhora com
uso de analgésico.
Realizada tomografia que reproduziu a seguinte imagem:

Com base no quadro clínico e na imagem, assinale a opção que apresenta o diagnóstico mais provável para o caso.
Realizada tomografia que reproduziu a seguinte imagem:

Com base no quadro clínico e na imagem, assinale a opção que apresenta o diagnóstico mais provável para o caso.
Provas
Questão presente nas seguintes provas
Cadernos
Caderno Container