Foram encontradas 580 questões.
No dia seguinte, o paciente evolui em franco processo ativo de morte. No momento, Glasgow 3, respiração superficial, confortável com bomba de infusão de morfina a 3mg/h, FR 12, SatO2 90% com máscara de oxigênio, FC 60, PA 50x20, com sinais de má perfusão periférica. Familiares se sentem incomodados que paciente não recebe qualquer aporte calórico no momento.
Assinale a opção que indica a conduta mais apropriada com relação a esse tópico para esse paciente.
Provas
O paciente em questão foi internado. Em casa, fazia uso, para controle álgico, de dipirona por via oral, na dose de 2g de 6/6h e morfina por via oral na dose de 30 mg 4/4h. Pelo fato de o paciente estar com a ingesta oral muito diminuída e visando à otimização do controle álgico, optou-se por passar essas medicações para a via intravenosa.
Supondo que o paciente não apresente piora da função renal, a dose equivalente a ser prescrita de morfina intravenosa é de
Provas
Atenção: para as próximas três questões, considere o caso clínico a seguir.
Paciente de 88 anos, sexo masculino, apresenta diagnóstico de neoplasia de próstata metastática há dois anos, com progressão de doença e perda de funcionalidade apesar de diversas linhas de tratamento nos últimos meses.
Após conferência entre médicos assistentes, paciente e seus familiares, optado por cuidados paliativos exclusivos, com realização de diretivas antecipadas de vontade e orientação de priorização de conforto em caso de situação ameaçadora à vida. Paciente é trazido por familiares ao Pronto-Socorro com quadro de sepse de foco urinário, com claros sinais de estar em fase final de vida.
Com relação ao caso acima, analise as afirmativas a seguir.
I. A prescrição de antibióticos para infecção urinária neste caso muito provavelmente será fútil, porém caso o paciente apresentasse muitos sintomas urinários como disúria e polaciúria, sua prescrição, ainda que controversa, poderia amenizá-los.
II. Caso o paciente tivesse sido inadvertidamente intubado em outro serviço, num contexto em que não se conheciam tais diretrizes, a realização de extubação paliativa, caso estivesse com os sintomas adequadamente controlados, poderia ser aventada.
III. A adoção de sedação paliativa, uma vez o paciente entrando em processo ativo de morte, poderia ser considerada caso o doente tivesse sintomas refratários, não paliados com medicações direcionadas para esse fim.
Está correto o que se afirma em
Provas
Paciente de 22 anos, sexo masculino, procura o Pronto-Socorro após “torcer o pé” em partida de futebol, há uma hora. Relata que, após um “carrinho”, virou o pé direito em inversão e sentiu dor. Porém, continuou jogando até o final do jogo. Notou após o término da partida, ao tirar o meião, que o tornozelo direito estava moderadamente edemaciado e com dor à sua palpação.
Ao exame ortopédico, membro sem deformidades e com edema moderado na articulação do tornozelo. Há dor moderada à palpação do ligamento talofibular anterior, mas não ocorre nem dor maleolar lateral nem medial à palpação óssea. Além disso, o paciente consegue deambular, ainda que com certa dificuldade, e apoiar o seu peso sobre o pé lesionado.
Assinale a opção que indica o exame de imagem que deve ser solicitado para este caso.
Provas
As opções a seguir apresentam parâmetros que podem ser ajustados no paciente em ventilação mecânica, sob modo ventilatório PSV (pressão de suporte), à exceção de uma. Assinale-a.
Provas
Paciente de 68 ano, sexo masculino, com antecedente de hipertensão em uso de losartana. Refere uso eventual de tadalafila aos finais de semana, tendo usado a última dose na noite anterior. Chega ao Pronto-Socorro com dor torácica, tipicamente anginosa, há 30 minutos e com o seguinte eletrocardiograma admissional:

Ao exame clínico, apresenta-se em Killip I, sem sinais de congestão ou de baixo débito, com FC 60, PA 130x80 nos quatro membros, FR 20, SatO2 95% a.a.
Com relação a esse caso, considere as afirmativas a seguir.
I. A nitroglicerina é uma boa opção para controle da angina neste paciente.
II. Caso se opte por trombólise química, este paciente deve receber clopidogrel na dose de ataque de 300 mg; caso se opte por angioplastia primária, a dose de ataque da medicação em questão é de 600 mg.
III. Não se deve aguardar o resultado do exame de troponina para tomar as condutas pertinentes a esse caso.
Está correto o que se afirma em
Provas
Paciente de 45 anos, sexo feminino, procura Pronto-Socorro às 16h com relato de “fala empastada”, que iniciou às 15h do mesmo dia. Tal episódio durou 20 minutos, enquanto ministrava uma palestra no trabalho e os sintomas sumiram logo após. Relata ser tabagista, mas nega outras comorbidades. Nega fraqueza ou outras alterações neurológicas.
Ao exame clínico, apresenta-se em Glasgow 15, com força grau V nos quatro membros, fala fluida, sem disartria ou afasia e sem alterações de sensibilidade ou de pares cranianos, apresentando escore de AVC do NIH de zero. Demais sistemas sem alterações.
Sinais vitais: FC 70, PA 130 x 80, FR 15, SatO2 97% a.a., T 36ºC e glicemia capilar 100mg/dL.
Para esse caso, assinale a afirmativa correta.
Provas
Relacione os agentes etiológicos listados a seguir às respectivas patologias.
1 – Vírus
2 – Bactéria
3 – Protozoário
( ) Febre Amarela
( ) Dengue
( ) Malária
( ) Sífilis
( ) Leptospirose
Assinale a opção que indica a associação correta, segundo a ordem apresentada.
Provas
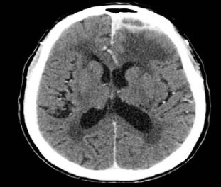
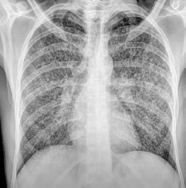
Paciente de 25 anos, sexo masculino, encontra-se em situação de rua, além de ser tabagista, ex-etilista e usuário de crack.
Deu entrada no Pronto-Socorro trazido por colegas, com quadro de perda ponderal de 20kg nos últimos 3 meses, além de febre diária não aferida e tosse seca há 4 semanas. Há uma semana começou a apresentar cefaleia intensa, sonolência e fala desconexa, sendo trazido ao serviço hoje, quando houve piora clínica. Realizado teste rápido de HIV que veio positivo. Realizada ainda carga viral HIV com log 5,5 e CD4 de 60.
Diagnosticado com HIV/AIDS, neurotuberculose e tuberculose pulmonar miliar. Seguem exames de imagem.


As opções a seguir indicam itens que podem ser prescritos neste momento para esse paciente, à exceção de uma. Assinale-a.
Provas
João, 16 anos, foi diagnosticado com quadro de varicela hoje, tendo iniciado sintomas há 24 horas. No seu quarto, dormem seus dois irmãos Marcos e Vinícius. Marcos tem 12 anos de idade e não tem comorbidades e Vinícius tem 8 anos e apresenta o diagnóstico de imunodeficiência comum variável. Ambos estão assintomáticos no momento, mas tiveram contato próximo com João nos últimos dias.
Assinale a opção que indica a conduta correta para ambos os meninos.
Provas
Caderno Container