Foram encontradas 905 questões.
Disciplina: Direito Urbanístico
Banca: CESPE / CEBRASPE
Orgão: Pref. Maringá-PR
Quanto aos princípios contidos no código de edificações e posturas básicas para projeto, implantação e licenciamento de edificações no município de Maringá, deverá ser observado
Provas
Disciplina: Direito Urbanístico
Banca: CESPE / CEBRASPE
Orgão: Pref. Maringá-PR
É neste cenário de expansão da rede urbana brasileira e na construção de novos espaços urbanos e residenciais, formais e informais, promovidos pelo poder público ou por agentes privados, onde se perceberá a forma mais predatória com que a expansão da urbanização tem acontecido, quer em regiões metropolitanas ou em cidades médias.
GELPI, Adriana. Planejamento e gestão do território:
escalas, conflitos e incertezas. Revista Cidades, 2015.
O instrumento de planejamento territorial a ser considerado nos casos de planejamento das cidadãs na escala intraurbana, levando em consideração a expansão urbana, é
Provas
Disciplina: Direito Urbanístico
Banca: CESPE / CEBRASPE
Orgão: Pref. Maringá-PR
Em loteamento destinado a edificação, com abertura de novas vias de circulação, de logradouros públicos e com modificação das vias existentes, o controle de acesso será regulamentado por ato
Provas
Disciplina: Direito Urbanístico
Banca: CESPE / CEBRASPE
Orgão: Pref. Maringá-PR
De acordo com a legislação aplicável, o poder público municipal possui preferência para aquisição de imóvel urbano objeto de alienação onerosa entre particulares ante o exercício do direito de
Provas
No que se refere às doenças sexualmente transmissíveis, assinale a opção correta. A Uma úlcera genital única, arredondada, de fundo limpo, endurecida e indolor é típica da lesão causada pelo Haemophilus ducreyi (cancroide).
Provas
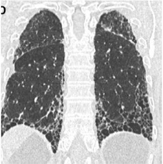
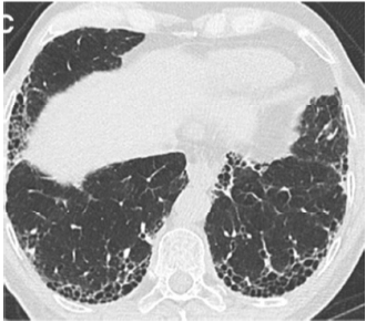
Paciente com 75 anos de idade, masculino, procedente de Minas Gerais, é encaminhado da atenção básica, devido a um quadro de tosse crônica seca (início há alguns anos) associado a dispneia que vem piorando (atualmente mMRC 3).
No interrogatório sintomatológico, o paciente relata também apresentar sintomas de refluxo com certa frequência. Ele nega sintomas de vias aéreas superiores, chiado torácico, febre, perda ponderal e dores articulares.
Antecedentes pessoais: o paciente relata ter diabetes e hipertensão arterial sistêmica, com uso regular de metformina e valsartana, nega história de infecções respiratórias prévias recorrentes e doenças reumatológicas diagnosticadas. O paciente afirma que nunca fumou.
História ocupacional/exposições: o paciente relata que trabalhou a vida toda em escritório, um ambiente que ele diz ser arejado e sem poeira, e também nega ter contato com aves, mofo e travesseiro de pena.
No exame físico: verifica-se bom estado geral do paciente, anictérico, orientado em tempo e espaço, com frequência respiratória de 28 irpm, frequência cardíaca de 99 bpm, pressão arterial 130 × 80 mmHg e saturação de oxigênio em ar ambiente de 89%.
Aparelho respiratório: sons respiratórios presentes bilaterais, com crepitações teleinspiratórias em regiões infraescapulares e axilares posteriores, sem uso de musculatura acessória.
Aparelho cardiovascular: ritmo cardíaco regular, hiperfonese de componente P2 em foco pulmonar, sem sopros.
Extremidades: discreto edema de membros inferiores bilateral, sem sinais de trombose, tempo de enchimento regular de 2 segundos e presença de baqueteamento digital.
O paciente traz uma tomografia prévia solicitada pelo médico de família e representada nas imagens a seguir.


American Journal of Respiratory and Critical Care Medicine. Volume 198 Number 5 September 1 2018 (com adaptações).
Considerando a principal hipótese diagnóstica para o caso clínico hipotético apresentado anteriormente, julgue os itens a seguir.
I Geralmente a doença em questão ocorre em pacientes mais velhos, entre a sexta e a sétima década de vida. Frequentemente pacientes com esse diagnóstico apresentam como manifestação inicial uma exacerbação aguda.
II Os critérios diagnósticos são baseados na exclusão de outras causas de doença pulmonar, associados a padrão tomográfico específico ou combinações entre padrões tomográficos e histopatológicos.
III A broncoscopia pode auxiliar no diagnóstico. O esperado é que seja encontrada redução dos neutrófilos e(ou) linfocitose.
IV A reunião multidisciplinar (pneumologista, radiologista, cirurgião torácico e patologista), pode ajudar nos casos em que a tomografia sugere diagnóstico alternativo.
V Alguns diagnósticos diferenciais para o quadro descrito acima são: pneumonite de hipersensibilidade, doenças reumatológicas cursando com pneumopatia e toxicidade a drogas.
Estão certos apenas os itens
Provas
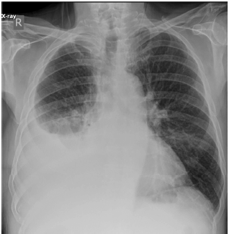
Paciente com 60 anos de idade, masculino, natural de Minas Gerais, procura consulta médica devido a um quadro de tosse crônica (início há 10 anos, aproximadamente), seca, associado à dispneia classificada como mMRC 2.
No interrogatório sintomatológico, não é apresentada mialgia, febre, perda ponderal, sudorese noturna ou chiado torácico.
Antecedentes pessoais: o paciente, em uso de losartana e sinvastatina, relata história de hipertensão arterial sistêmica edislipidemia, e nega história de tabagismo.
História ocupacional/exposições: o paciente relata que trabalhou por 20 anos na extração e beneficiamento de rochas, como granito e pedras preciosas, além de ter, eventualmente, prestado serviços em perfuração de poços.
No exame físico: verifica-se bom estado geral do paciente, orientado em tempo e espaço, com frequência cardíaca e respiratória sem alterações e saturação em ar ambiente de 94%.
Aparelho respiratório: sons respiratórios presentes e bilaterais, sem ruídos adventícios. Aparelho cardiovascular: ritmo cardíaco regular em dois tempos, sem sopros. Extremidades: sem edema, alterações de pele ou outras anormalidades notadas.
O paciente traz a seguinte radiografia de tórax:

Internet: < https://radiopaedia.org/cases/151132/studies/125463?lang=us >.
Considerando a principal hipótese diagnóstica do caso clínico hipotético apresentado anteriormente, julgue os itens a seguir.
I Indivíduos que têm esse diagnóstico apresentam até 3,5 vezes mais chances de ter tuberculose.
II Broncoscopia tem papel importante no diagnóstico, conseguindo, na maioria das vezes, fechar o diagnóstico.
III A espirometria, caso solicitada, poderia estar normal ou apresentar um espectro de padrões (obstrutivo, restritivo ou combinado).
IV O diagnóstico geralmente é clínico e baseado na história ocupacional, na imagem do tórax e na exclusão de outros diagnósticos possíveis.
V O tratamento é bem estabelecido e consiste em afastamento da exposição e uso de corticoide sistêmico, com remissão total das alterações na imagem e melhora clínica.
Assinale a opção correta.
Provas
A maioria das lesões químicas oculares ocorre no trabalho, em pessoas em idade ativa e com produtos alcalinos. Elas variam em gravidade, podendo ter profundas consequências visuais e implicações médico-legais. O gerenciamento inadequado imediato resulta em tratamento mais desafiador. Da mesma forma, a doença aguda mal controlada resulta em doença ocular crônica mais resistente ao tratamento. A classificação das lesões oculares é fundamental para determinar o tratamento agudo e o prognóstico visual.
Com relação à classificação de Roper-Hall para lesões químicas oculares, assinale a opção correta.
Provas
Em cada um dos itens a seguir é apresentada uma situação hipotética seguida de uma assertiva a ser julgada a respeito da declaração de óbito.
I Um paciente foi atendido por médico de ambulância devido à exacerbação grave de asma. Apesar de todos os esforços, durante o transporte, o paciente apresentou parada cardiorrespiratória, chegando ao hospital em óbito. Nesse caso, o médico do hospital deve preencher a declaração de óbito, sendo vedada ao médico da ambulância essa função.
II Uma gestante de 23 semanas entrou em trabalho de parto, sendo realizada cesariana, devido aos sinais de sofrimento fetal agudo. A criança apresentou sinais de vida ao nascer, porém evoluiu com parada cardiorrespiratória e chegou a óbito 7 min após o parto. Nesse caso, deve-se considerar morte fetal, não devendo ser preenchida a declaração de nascido vivo.
III Uma gestante de 38 semanas foi levada ao posto de saúde pelos vizinhos com quadro de eclampsia, evoluindo rapidamente com rebaixamento do nível de consciência e parada cardiorrespiratória. A paciente evoluiu para óbito no local. Nesse caso, deve-se preencher duas declarações de óbito.
IV Uma paciente de 78 anos de idade encontrava-se internada na UTI em tratamento para pneumonia bacteriana. Porém, evoluiu com insuficiência renal aguda, posteriormente com rebaixamento do nível de consciência, permanecendo em ventilação mecânica por mais 5 dias e evoluindo para óbito. Uma forma correta de preenchimento de condições e causas do óbito seria: coma em consequência de insuficiência renal; coma em consequência de septicemia; coma em consequência de pneumonia bacteriana.
Assinale a opção correta.
A Nenhum item está certo.
Provas
Neutropenias graves representam risco elevado para o desenvolvimento de doenças infecciosas e de maior gravidade e, no tratamento oncológico, consistem em complicações muito prevalentes. Quanto à neutropenia nos pacientes considerados neutropênicos, assinale a opção correta.
Provas
Caderno Container