Foram encontradas 900 questões.
A Febre Amarela é uma doença infecciosa febril aguda, imunoprevenível, de evolução abrupta e gravidade variável, com elevada letalidade nas suas formas graves.
Acerca desse tema, assinale a alternativa correta.
Provas
Os antivirais apresentam de 70 a 90% de eficácia na prevenção da influenza e constituem ferramenta adjuvante da vacinação. Entretanto, a quimioprofilaxia indiscriminada não é recomendável, pois pode promover a resistência viral. Assinale a alternativa que apresenta uma indicação correta para a quimioprofilaxia contra influenza, de acordo com o Ministério da Saúde.
Provas
- SUSLei 8.080/1990: Lei Orgânica da SaúdeSistema Único de SaúdePrincípios, Objetivos, Diretrizes e Atribuições.Art. 7º: Princípios e Diretrizes
Em relação aos princípios e diretrizes do SUS (Sistema Único de Saúde), dispostos na Constituição Federal e na Lei nº 8.080 de 1990, assinale a alternativa correta.
Provas
Homem, 42 anos, procura atendimento médico com queixa de hiperemia, dor e edema em tornozelo e pé direito há três dias. Refere febre de 38 graus há 24 horas e episódios de calafrios. Ausência de comorbidades ou internações prévias. Exame físico: bom estado geral, consciente, orientado, acianótico, anictérico, febril 38 ºC, PA = 120 x 80 mmHg. A foto do membro inferior acometido está representada a seguir.

Em relação ao uso racional de antibióticos, nessa situação, considerando que o paciente não apresenta alergias conhecidas, é correto iniciar
Provas
Homem, 49 anos, sedentário e sem antecedentes pessoais ou familiares relevantes retorna à unidade básica de saúde assintomático, com exames para reavaliação de consulta para prevenção primária de eventos cardiovasculares. Exame físico: PA = 135 x 85 mmHg, IMC = 26 kg/m2, auscultas cardíaca e pulmonar normais. Exames complementares relevantes: glicemia = 99 mg/dL; hemoglobina glicada = 5,5%; triglicérides = 199 mg/dL; colesterol total = 195 mg/dL, colesterol LDL = 148 mg/dL.
A conduta correta nesse momento é
Provas
Homem, 64 anos, comparece ao pronto-atendimento com dificuldade respiratória há 2 dias acompanhada de tosse seca. Nega febre ou edema de membros inferiores. Antecedente pessoal de tabagismo, 30 maços/ano, tendo parado de fumar há 2 anos. Tem diagnóstico de doença pulmonar obstrutiva crônica há 6 meses e iniciou uso inalatório de formoterol e brometo de tiotrópio. Exame físico: agitado, FR = 28 ipm, oximetria de pulso (ar ambiente) = 86%; presença de cianose de extremidades; pulmões: redução global do murmúrio vesicular, com raros sibilos.
Assinale a alternativa que contém a conduta correta.
Provas
Homem, 73 anos, encontra-se internado com insuficiência cardíaca descompensada. Exame físico: FC = 118 bpm, PA = 96 x 60 mmHg, T = 36,5 ºC, pulsos cheios e perfusão normal; pulmões: estertores crepitantes em bases pulmonares; membros inferiores: edema +++/+4.
O tratamento farmacológico inicial visa
Provas
Homem, 62 anos, procura atendimento médico com queixa de fadiga e dificuldade de concentração. Tem antecedente de câncer de pulmão de pequenas células em tratamento. Exame físico atual: PA = 140 x 80 mmHg, FC = 88 bpm, sem alterações relevantes no exame dos diversos aparelhos. Exames laboratoriais: sódio = 123 mEq/L, creatinina = 1,12 mg/dL, ureia= 19 mg/dL, osmolaridade urinária = 350 mmol/kg.
Assinale a alternativa que apresenta a conduta correta.
Provas
Mulher, 33 anos, apresenta dor epigástrica e queimação retroesternal, que piora após alimentação, associada a empachamento com determinados alimentos. Exame físico: sem alterações relevantes.
Diante da principal suspeita diagnóstica, assinale a alternativa que contém o tratamento medicamentoso correto.
Provas
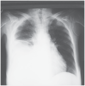
Mulher, 21 anos, apresenta febre, mialgia, cefaleia, dor retro-orbitária e náuseas há 6 dias. Exame físico: bom estado geral, corada e desidratada +/4+; bulhas rítmicas e normofonéticas, sem sopros; FC: 102 bpm; PA: 110 x 60 mmHg; murmúrio vesicular reduzido no terço inferior do hemitórax direito; FR = 26 ipm; abdome: ruídos presentes; dor moderada à palpação profunda em mesogástrio, sem visceromegalias; presença de edema +/4+, depressível em membros inferiores; presença de petéquias em ambas as pernas. Exames complementares: Hb = 13,9 g/dL; Ht = 42%; leucócitos = 2 900/mm3 (segmentados: 34%; linfócitos: 61%); plaquetas: 18 000/mm3; AST = 122 (VR < 32 U/L); ALT = 62 (VR < 31 U/L); pesquisa do antígeno NS1 para dengue negativo. Ultrassonografia de abdome: ascite de moderado volume. A radiografia de tórax encontra-se ilustrada a seguir.

Assinale a alternativa que apresenta a conduta mais adequada.
Provas
Caderno Container