Foram encontradas 40 questões.
TAM, sexo masculino, 48 anos, foi vítima de atropelamento por carro, politraumatizado, apresenta vias aéreas prévias; MV diminuído à direita, com som claro pulmonar à percussão; PA: 110 x 60 mm Hg; FC: 88 bpm; Glasgow: 15. abdome doloroso à palpação difusa com defesa e descompressão brusca dolorosa difusamente.
Qual alternativa descreve a melhor conduta?
Provas
Sobre os acessos vasculares centrais, analise as afirmativas a seguir.
I- A infecção de cateter geralmente pode ser detectada 24 horas após a colocação do dispositivo.
II- Podem ser necessárias para diálise, nutrição e quimioterapia.
III- Uma complicação do acesso subclávio é o pneumotórax.
IV- Uma complicação do acesso jugular é a punção arterial e possível hematoma.
Está(ão) CORRETA(S) a(s) afirmativa(s)
Provas
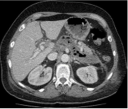
FHC, sexo masculino, 53 anos, na terceira semana de tratamento de pancreatite aguda, realizou a TC de abdome a seguir.

Fonte: Ultimate radiology: acute necrotizing pancreatitis. Disponível em: ultimate-radiology.blogspot.com. Acesso em: 20 ago. 2024.
Qual complicação pode ser identificada na TC?
Provas
No que conserne à urolitíase, analise as afirmativas a seguir.
I- 80% dos cálculos são radiotransparentes.
II- Hiperoxalúria é fator de risco.
III- A tomografia sem contraste é o exame de escolha para o diagnóstico da nefrolitíase sintomática.
Está(ão) CORRETA(S) a(s) afirmativa(s)
Provas
PFC, sexo masculino, apresenta cálculo em rim transplantado, o procedimento mais difícil de ser realizado é:
Provas
Assinale a alternativa que está em desacordo com as indicações de esplenectomia.
Provas
Sobre a investigação de pacientes com hemorragia digestiva baixa, analise as afirmativas a seguir.
I- Cintilografia com hemácias marcadas é especialmente útil em crianças e adultos jovens.
II- Arterigrafia mesentérica é útil para diagnóstico, mas não para tratamento.
III- Enema baritado é útil na avaliação na hemorragia maciça.
Está(ão) CORRETA(S) a(s) afirmativa(s)
Provas
Paciente 35 anos, sexo masculino, com endoscopia digestiva alta mostrando varizes de esôfago, iniciou episódio de hemorragia digestiva alta e foi levado para o hospital. Qual fármaco a seguir mostra redução na mortalidade?
Provas
Sobre hemorragias digestivas, analise as afirmativas a seguir.
I- A melena indica que o sangue está presente no trato gastrintestinal por, pelo menos, 14 horas, e tanto tempo quanto 3-5 dias.
II- A hematoquezia, quando sinal de hemorragia alta, geralmente aparece como quadro crônico e oligossintomático.
III- A esclerodermia apresenta nítida vantagem em relação à ligadura elástica para o tratamento endoscópio dos sangramentos por varizes de esôfago.
Está(ão) CORRETA (S) a(s) afirmativa(s)
Provas
Qual o principal estímulo ao desencadeamento de resposta endócrina após trauma ou cirurgia?
Provas
Caderno Container