Foram encontradas 40 questões.
Considere a Escala de Ashworth modificada e a sua aplicabilidade em neurologia, para analisar analise as proposições a seguir.
I. A escala de Ashworth modificada diferencia-se da de Ashworth pelo acréscimo de um quesito apenas, sendo de 0 a 5, com existência do quesito 1 e 1+; portanto, é composta de 6 itens.
PORQUE
II. Ao acrescentar o item 1+, torna-se mais assertiva a escala, principalmente em casos de espasticidade associada à contratura.
Assinale a alternativa que apresenta a proposição CORRETA.
Provas
As lesões dos nervos cranianos são comuns na prática clínica. Após trauma orbitário, paciente apresentam-se ambas as íris no mesmo plano horizontal, porém, com midríase à esquerda, ptose ipsilateral e estrabismo divergente.
Analise as assertivas a seguir.
I. Trata-se de lesão isolada da porção parassimpática e motora do nervo oculomotor à esquerda.
PORQUE
II. Em uma lesão do nervo oculomotor unilateral exclusiva ocorre exotropia, predomínio simpático, denervação do músculo elevador da pálpebra superior e olhos no mesmo plano horizontal.
Assinale a alternativa que apresenta a assertiva CORRETA.
Provas
Um paciente masculino, 59 anos, chega ao pronto-socorro relatando episódio de dor abdominal de início há 20 horas, associado à perda de força em membros inferiores. Relata, ainda, que a paraparesia teve início de forma rapidamente progressiva, mas intermitente, com 2 episódios distintos, ambos com recuperação completa. Porém, há 5 horas perdeu completamente a força e persiste o déficit até o momento.
Ao exame, nota-se paraplegia com bexigoma, arreflexia patelar e aquileu, anestesia dolorosa abaixo de T11 com preservação da palestesia e batiestesia. O paciente foi encaminhado para a ressonância magnética, a qual evidenciou alteração de sinal medular de T9 a T12. Notou-se, também, dissecção aórtica torácica nos segmentos médio, inferior e porção superior da aorta lombar. A causa provável da síndrome medular é
Provas
Sobre o parkinsonismo plus (SPP), assinale a alternativa CORRETA.
Provas
O transtorno de espectro autista tem sido cada vez mais estudado e motivo frequente de consulta em neurologia. Analise as assertivas a seguir sobre esse assunto:
I. Embora a melhoria geral nas habilidades linguísticas da infância à idade adulta (ou seja, recuperação) tenha sido consistentemente relatada no autismo em pesquisas, dificuldades persistentes de linguagem também foram observadas. As habilidades de linguagem de crianças autistas com QI < 70 se estabilizam após o período escolar, em contraste com o que foi relatado para crianças com maior funcionamento intelectual.
PORQUE
II. Há evidências de que o prejuízo da linguagem contribui para a redução do nível intelectual ao longo do tempo em alguns indivíduos autistas. Isso pode sugerir que no autismo ocorre um processo de alinhamento de habilidades ao longo da vida, resultando em perfis de adultos autistas menos heterogêneos do que as de crianças autistas.
Assinale a alternativa que apresenta a assertiva CORRETA.
Provas
Sobre a hidrocefalia de pressão normal, é CORRETO afirmar que apresenta, para seu diagnóstico,
Provas
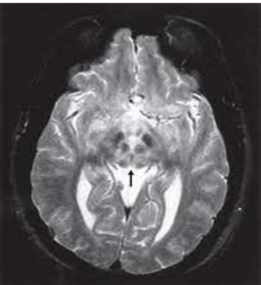
Considere a figura a seguir, que apresenta uma imagem de ressonância nuclear magnética (RNM) com alteração típica no encéfalo, para responder a esta questão.

SONAM, K.; BINDU, P.S.; GAYATHRI N. et al. The “double panda” sign in Leigh disease. Journal of Child Neurology. 2014, v. 29, n. 7, p. 980-982.
Analise as afirmativas sobre a RNM.
I. O diagnóstico da doença de Wilson não pode baseado apenas nesta imagem.
PORQUE
II. O sinal do panda gigante pode estar presente na sarcoidose e síndrome de Leight.
Assinale a alternativa CORRETA.
Provas
em relação à trigonocefalia, assinale a afirmativa CORRETA.
Provas
Em relação ao tratamento da síndrome de Dravet, encefalopatia epileptoide grave da infância, é medicação de primeira linha
Provas
Um paciente relata apresentar abalos clônicos em membros inferiores como se estivesse pedalando, com duração de cerca de 1 minuto, e depois perde a consciência. A acompanhante relata, após essa fase, iniciar movimentos tônico-clônicos generalizados e morder a língua. De acordo com a classificação atual das crises convulsivas, trata-se de
Provas
Caderno Container